Как УМЕНЬШИТЬ УЗЛЫ щитовидной железы ЕСТЕСТВЕННЫМ ПУТЕМ? Лечение щитовидной железы
Как сохранить Щитовидную железу, или 4 вида доброкачественных узлов (биопсия не нужна!)
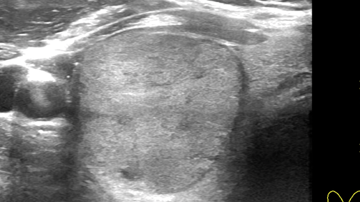
Бывает так, что при УЗИ щитовидной железы обнаруживают один или несколько узлов. Если размер превышает 10 мм и при этом есть подозрительные признаки при УЗИ, то могут назначить пункционную биопсию. Но есть 4 вида узлов щитовидной железы, которые являются абсолютно доброкачественными. При таких узлах, независимо от их величины, пункция не показана. Не все врачи знакомы с признаками таких доброкачественных узлов. К сожалению, часть врачей или не знает о них, или невнимательна к ультразвуковым признакам...
Терапия узлов щитовидной железы. Когда показана операция?
Почти у каждого гражданина нашей страны есть узелки щитовидной железы и часто о них ничего не известно. Когда лечить и какие методы лечения использовать?
Узлы щитовидной железы
Частой причиной узелков щитовидной железы является хронический дефицит йода у населения...