Первые признаки туберкулеза легких у взрослых и детей. Симптомы туберкулеза на ранних стадиях
Туберкулёз легких
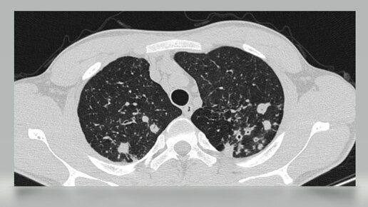
С пациентом, у которого на рентгенограмме органов грудной клетки обнаружены изменения в легких, может столкнуться врач любой специальности. В данной статье хотелось бы рассказать какие клинические формы туберкулеза легких встречаются в практике фтизиатра, на что необходимо обращать внимание, чтобы не пропустить пациента с туберкулезом легких. Классификация туберкулёза Итак, по клинической классификации, принятой в Российской Федерации, туберкулез можно разделить на две большие группы: первичный и вторичный туберкулез...
Расшифровка общего анализа крови при туберкулезе у взрослых и детей
Заражение туберкулезной палочкой теперь не приговор для человека. Современная медицина использует эффективные инструменты для борьбы с этим заболеванием, если оно выявлено на ранней стадии. Вовремя обнаружить патологию помогают регулярные профилактические осмотры и анализы, в том числе и общий анализ крови при туберкулезе. Изменение клинической картины Отклонение эритроцитов от нормы При вялотекущей форме или локализованном очаге поражения количество эритроцитов в крови не изменяется, но меняется их окраска...