1116 читали · 2 месяца назад
Бруксизм: что это такое и как с ним справиться
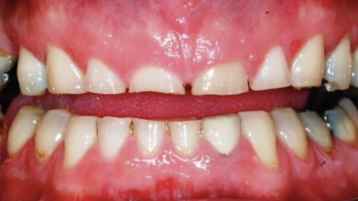
Очень часто в последнее время приходят пациенты и жалуются на бруксизм. Их направляют другие врачи к стоматологам-ортодонтам с надеждой избавиться от этой проблемы. Давайте разберёмся подробнее: что это за состояние, какие виды бывают и можно ли его лечить. Бруксизм — это непроизвольное сжатие зубов. Выделяют несколько его видов: Его не так просто обнаружить. Чаще всего близкие замечают скрип зубов во сне. Особенно часто это встречается у детей — и у них такое состояние считается скорее вариантом нормы, чем патологией...
10,8 тыс читали · 2 года назад
Скрежет зубами — это бруксизм. Почему он возникает и как его лечить? Отвечают врачи
Бруксизм — это скрежетание зубами, которое часто появляется ночью. Оно не только доставляет неудобства спящему рядом партнеру, но и вызывает боли и портит зубы. О причинах заболевания, методах профилактики и лечения Sleep Club рассказали Анна Горбунова, стоматолог Первого клинического медицинского центра, и невролог Ольга Лисенкова. Что такое бруксизм Бруксизм — это скрежет зубами, который возникает из-за непроизвольного сокращения жевательных мышц. Чаще всего приступ происходит во сне, но бывает и днем...
Как избавиться от бруксизма в домашних условиях
Бруксизм — это непроизвольное скрежетание зубами, которое чаще всего происходит во время сна. Это состояние может привести к повреждению зубов, болям в челюсти и головным болям. Хотя профессиональная медицинская помощь может быть необходима, существуют методы, которые могут помочь справиться с бруксизмом в домашних условиях. Стресс является одной из основных причин бруксизма. Практики релаксации, такие как медитация, йога или глубокое дыхание, могут помочь снизить уровень стресса и уменьшить скрежетание зубами...