НАРОДНЫЕ средства борьбы с зубным камнем / Простейший способ удаления зубного камня
5 способов как избавиться от зубного камня в домашних условиях
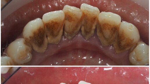
Всем привет! Мы продолжаем наш рассказ о борьбе с зубным камнем. В прошлой статье мы уже рассказали откуда он берётся и почему так важно вовремя его удалять. На этот раз Вашему вниманию представлено 5 способов как избавиться от зубного камня в домашних условиях. Домашние средства не должны использоваться в качестве замены правильному лечению зубов. Тем не менее, следующие методы могут оказаться эффективными при уходе за зубами. 1. Чистка зубов Это, конечно, не удивительно, но этот метод нельзя было упустить в первую очередь...
Как избавиться от зубного камня: домашние и профессиональные методы удаления
Зубной камень — это неприятное явление, которое может привести к ряду проблем со здоровьем полости рта. Он образуется из мягкого бактериального налета на зубах и может привести к повреждению эмали, заболеваниям десен и даже к серьезным проблемам со здоровьем в целом. Поэтому важно знать, как избавиться от зубного камня и предотвратить его образование. Удалить зубной камень можно как дома, так и при помощи профессиональных методов в стоматологической клинике. Домашние методы включают использование специальных средств для удаления зубного камня, таких как абразивные пасты и ультразвуковые щетки...