Как ИЗБАВИТЬСЯ от СКОЛИОЗА в домашних условиях? / Полный комплекс от сколиоза любой степени.
Лечение сколиоза II степени
Лечение сколиоза II степени
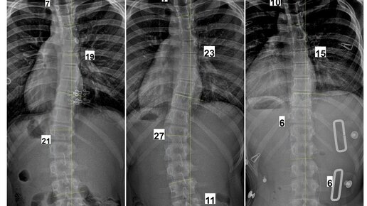
II степень по Чаклину – 11-30 градусов. Это пограничная стадия, когда решается, требуется корсет для лечения сколиоза или нет.
Врачи Сколиолоджик.ру не рекомендуют корсет до 20 градусов. При этом все равно надо смотреть на тест Риссера: если Риссер больше 4, то и 20-30 градусов не требуют лечения корсетом, в большинстве случаев пациенты приходят за косметическим эффектом.
И даже если Риссер 0, врач должен убедиться, что сколиоз прогрессирующий, чтобы не надевать корсет на ребенка, которому это не требуется...
Как избавиться от сколиоза путь к здоровой спине
Сколиоз – это не просто косметический дефект, а серьезное заболевание, характеризующееся боковым искривлением позвоночника. Оно может проявляться в разном возрасте, но чаще всего диагностируется в подростковом периоде. Сколиоз может вызывать боли, ограничивать подвижность и приводить к более серьезным проблемам со здоровьем в будущем. Хорошая новость в том, что при своевременном и комплексном подходе от сколиоза можно не только замедлить его прогрессирование, но и значительно улучшить состояние позвоночника...