Жировое тело Гоффа: что делать с коленом, если упражнения не помогают? Как в 49 лет избавиться от опущения органов? Вопросы Бубновскому
Болезнь Гоффа (липоартрит)
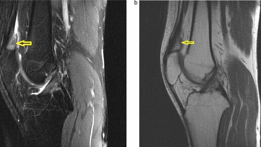
Коленный сустав – одно из наиболее крупных и анатомически сложных сочленений в человеческом теле. Он соединяет надколенник (коленную чашечку), бедренную и берцовую кости и работает наподобие шарнира. Сустав дополнительно стабилизирован внутренними и наружными связками, менисками, сухожилиями и мышцами. Одним из элементов структуры коленного сустава являются особые жировые тела (тела Гоффа), похожие на небольшие подушечки. Они расположены в области крыловидных складок (проходящих в полость сустава...
Уколы, блокады, откачивания жидкостей - лишат вас сустава после 60. Как дома спасти колени без физических вмешательств
Одной из причин боли в колене принято считать болезнь Гоффа, или липоартрит (воспаление жирового тела). Я часто вижу больных после всевозможных внутрикапсульных резекций и могу сказать — каждое проникновение иглы в сустав нарушает его герметичность, сустав высыхает. Это как вместо того, чтобы накачать шину на колесе, вы вставили туда гвоздь. Жировое тело Гоффа — это помощь в амортизации коленного сустава, его передней верхней и нижней части колена. Поэтому удаление ухудшает состояние колена и ведет к артрозу, затем к замене сустава...