Белые пятна на зубах - что делать
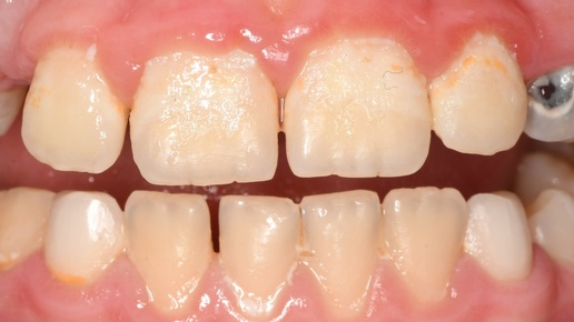
Кейс про белые пятна на зубах В анкетах по темам для контента, который я публиковала ранее, был вопрос от коллег про судьбу белых пятен. Как раз есть кейс на эту тему - хочу с вами поделиться. К посту прикрепила серию снимков Первая фотография — на первичном приёме, вторая — перед профессиональной гигиеной. Что мы видим? Последствия налёта. А за ним — глобальные проблемы с гигиеной, с домашним уходом. То есть её просто нет. Под этой плёнкой, которая находится на зубах давно, страдают и десна, и эмаль...
Кариес vs. Флюороз: Враг или Союзник? Разбираемся в Пятнах на Зубах!
Белоснежная улыбка – мечта многих. Но что делать, если на зубах появились белые или темные пятна? Сразу паниковать и бежать к стоматологу? Не спешите! Важно разобраться, что это – кариес или флюороз. Ведь, несмотря на внешнее сходство, это совершенно разные заболевания, требующие разного подхода к лечению. Давайте развеем мифы и узнаем, как отличить одного "пятнистого врага" от другого! Кариес: Дыра в Защите, Проторенная Бактериями. Кариес – это, пожалуй, самое распространенное заболевание зубов в мире...