Флюс на десне лечение в домашних условиях
Флюс у ребенка. Что делать?
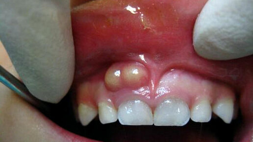
🟩Что представляет собой флюс Флюс — это несколько устаревшее название, которое распространено только в бытовом общении. В современной стоматологии такая патология имеет название периостит, которое и отражает всю суть заболевания. Периостит — гнойное воспаление надкостницы, которая покрывает кость верхней или нижней челюсти. По мере развития патологического процесса, поражение перестает носить локальный характер и распространяется на другие ткани — на поверхности десны появляется гнойник. 🟩Причины...
Флюс у ребёнка - что делать?
Повышение температуры тела, болевые ощущения в ротовой полости и распухание десны – типичные признаки флюса у детей. В нашей статье мы рассмотрим, насколько опасна эта проблема, можно ли с ней справиться самостоятельно и какую помощь надо предоставить ребёнку в подобных ситуациях...