Это реально? Схема спасения человека при фиброзе легкого
Что такое очаги в лёгком и в чем их опасность
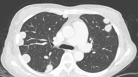
Обнаружение очагов в лёгких при прохождении КТ ОГК – тревожный диагноз, который вызывает много вопросов и беспокойства. Такие образования могут появляться по разным причинам: от безобидных последствий перенесенных инфекций до серьёзных заболеваний. Важно понимать, что наличие очагов не всегда означает «онкологию», но в любом случае требует внимательного обследования и консультации со специалистом. В этой статье мы разберем возможные причины таких изменений, методы диагностики и дальнейшие шаги, если у вас обнаружены очаговые изменения в лёгких...
Что такое фиброз легких: причины, симптомы и лечение
Согласно исследованиям регистра пациентов с идиопатическим легочным фиброзом (ИЛФ), в России фиброз легких встречается у 4–7 человек из 100 000. В статье рассказываем о видах, причинах возникновения и симптомах фиброза легких, а также о методах диагностики и лечения этого заболевания. Фиброз легких — это необратимый процесс замещения здоровой ткани легких рубцовой, в результате чего снижается эластичность легких. Так, альвеолы (легочные пузырьки, в которых происходит газообмен) теряют способность нормально расширяться и сокращаться...