Рубрика: медицинские термины – простыми словами. Что такое плеврит, какой орган страдает и почему
Плевриты являются особой патологией, осложняющей течение пульмонологических патологий, и важно точно знать, что это за патология. Плевриты в структуре пульмонологической патологии занимают особое место. Они зачастую осложняют течение пневмонии, могут формироваться в результате ревматических заболеваний и онкологических новообразований, проблем с сердцем и сосудами. Но что такое плеврит точно знают не все пациенты, столкнувшиеся с данным диагнозом, из-за чего относятся к подобному осложнению не серьезно, пока не станет совсем плохо и не нарушится дыхание...
06:44
1,0×
00:00/06:44
684,9 тыс смотрели · 4 года назад
Плеврит
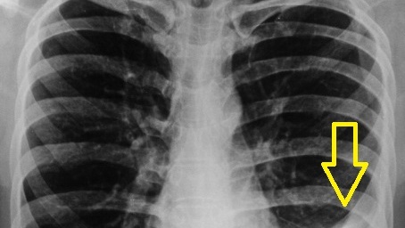
Плеврит – это воспаление плевры (серозной оболочки, покрывающей легкие и выстилающей грудную полость), которое может сопровождаться накоплением жидкости (экссудативный плеврит) или протекать без выпота (сухой плеврит).  - Острая боль в боку, усиливающаяся при дыхании и кашле. - Сухой кашель. - Шум трения плевры при аускультации. - Тупые боли, чувство тяжести в груди. - Одышка (из-за сдавления легкого жидкостью). - Притупление перкуторного звука, ослабление дыхания на пораженной стороне.  - Рентген/КТ грудной клетки — выявление уровня жидкости...