1173 читали · 6 лет назад
Флюорография: для чего назначают флюшку?
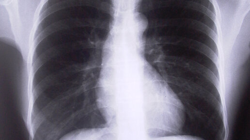
Флюорография органов грудной полости - рентгеновский метод диагностики заболеваний легких и органов грудной клетки, при котором изображение объекта переносится с флюоресцирующего экрана на фотопленку небольших размеров. Выделяют мелкокадровую (например, 24×24 мм или 35×35 мм) и крупнокадровую (в частности, 70×70 мм или 100×100 мм) методики. Последняя по диагностическим возможностям приближается к рентгенографии, но очень далека от нее. В лечебных учреждениях у ряда пациентов с заболеваниями органов дыхания флюорография может заменять рентгенографию, особенно при повторных исследованиях...
06:44
1,0×
00:00/06:44
683,7 тыс смотрели · 4 года назад
Флюорография: зачем она нужна и что позволяет выявить
Флюорография входит в список исследований, которые нужно обязательно проходить ежегодно. Узнаем, почему есть такая необходимость и не вредно ли это. Флюорография представляет собой современное исследование органов грудной клетки с применением рентгеновских лучей. Методика позволяет быстро и достоверно определить наличие заболеваний легких, в частности, пневмонии и туберкулеза. Зачем нужна флюорография Ежегодно проходить флюорографию должен каждый, если для этого нет противопоказаний. Не проводят...