1 неделю назад
Ноотропы — это умное улучшение или опасная химия?
Помните то чувство, когда после месяца приёма ноотропов вы стали только тревожнее и рассеяннее? Это не «вам не подошло» — это ваш мозг кричит об опасности. Расскажу, какие три сигнала нельзя игнорировать — и почему индустрия «умных таблеток» зарабатывает на вашем желании думать быстрее. Слово «ноотроп» придумал румынский психофармаколог Корнелиу Джурджа в 1972 году. Он синтезировал пирацетам — вещество, которое, по его наблюдениям, улучшало память у людей с когнитивными нарушениями — и предложил для таких веществ отдельный термин...
2 года назад
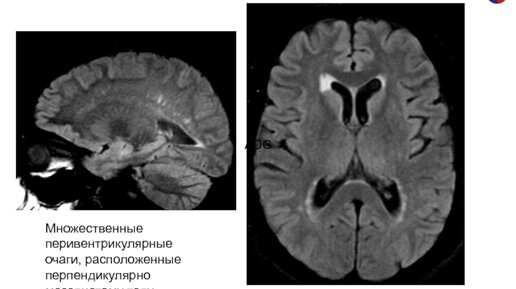
Дисциркуляторная энцефалопатия или ДЭ
Дисциркуляторная энцефалопатия: что это такое и как ее предотвратить? Дисциркуляторная энцефалопатия (ДЭ) - это заболевание, которое связано с нарушением кровоснабжения мозга и может привести к различным неврологическим и психическим расстройствам. Она часто возникает у пожилых людей, но может проявляться и у молодых людей. При ДЭ мозг не получает достаточно кислорода и питательных веществ, что приводит к постепенному ухудшению его функций. Симптомы ДЭ могут быть различными и включают в себя головокружение,...
1 неделю назад
Архетип Деметры: почему «отдающая» женщина однажды просыпается пустой?
Она — фундамент, на котором держится всё. В её руках расцветают безнадежные проекты, её дом — тихая гавань, а её забота способна исцелять. В психологии этот тип личности называют Деметрой. Это женщина-ресурс, женщина-кормилица, чья миссия — давать жизнь и оберегать её...
2 года назад
Что такое дипфейк и почему это нужно знать?
Дипфейк относительно новая технология. Она представляет собой метод создания поддельного цифрового медиаконтента (видео, изображение или аудио) с помощью нейронных сетей и алгоритмов глубокого обучения. Нейронная сеть - это математическая модель, построенная по принципам живого нейрона. Для создания дипфейка используются методы генеративно-состязательной сети (сокращенно GAN) - состоит из двух частей - генератора и дискриминатора. Обе из них представляют собой отдельные глубокие нейронные сети, конкурирующие друг с другом (отсюда состязательная в GAN)...