Взрыв одной килотонны тротилового эквивалента выглядит примерно так. Тактические ядерные спецзаряды, это от 20 килотонн и выше. Представляете бабах?
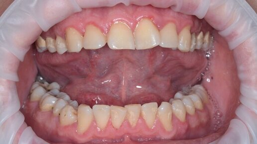
Лечим десны, профилактируем кариес, экономим килотонны деняк за стоматологах. ч2. Что покупаем, что делаем?
Для ленивых: покупаем Индикатор зубного налета (МАСТ ХЕВ! На нём все и базируется!!!), щетку средней жесткости (или мягкую, но это уже для умелых), ирригатор, флос (для не ленивых). Первое с чего начинаем (дабы не быть из любителей самолечения) придется потратиться - посещаем стоматолога, проводим профессиональную гигиену полости рта, получаем консультацию. По необходимости работаем с врачом пародонтологом (который будет уже заниматься лечением вашего пародонтита и может индивидуально скорректировать методы для домашней гигиены) Если явных проблем нет, то переходим к следующему шагу...
Таинственный болид над Москвой: что вспыхнуло зеленым светом и почему NASA скрыла данные?
Утро 27 октября 2025 года запомнилось москвичам яркой вспышкой в небе. Казалось, что на глазах тысяч очевидцев сгорает метеорит — но вскоре к истории добавилась новая интрига: данные о подозрительном астероиде внезапно исчезли из баз NASA и Европейского космического агентства. Что это было — естественное явление или нечто большее? Жители Москвы и Подмосковья утром 27 октября заметили в небе яркий зеленый болид. Огненное тело пронеслось над горизонтом, оставив за собой шлейф, который был виден несколько секунд...