У нас сегодня БОЛЬШАЯ ПРОВЕРКА всех служб и чем отличаются восприятие нормальных люди от ЧОКНУТЫХ?!
Перелом! Первая помощь.
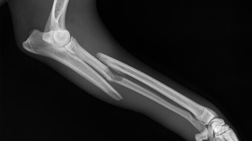
Основные виды переломов Вид перелома зависит от характера травмы, направление вектора силы действующей на скелет пострадавшего, и его положение в момент травмы закономерно указывает на характер перелома. Так при падении на вытянутую руку происходит перелом лучевой кости в типичном месте, при ударе бампером легковой машины, развивается характерный "бамперный перелом" и т.п. ПЕРЕЛОМЫ ЧЕЛЮСТИ Если пострадавший в сознании, посадить, наклонить немного вперед, приложить подушечку или сложенную в несколько слоев ткань, чтобы прижать челюсть (лучше, если это сделает сам пострадавший)...
У него там не ЗАКРЫТЫЙ, а ОТКРЫТЫЙ перелом.
- В чём разница между ЗАКРЫТЫМИ и ОТКРЫТЫМИ системами? - У тупорылых эйнштейнианцев всё всегда ВШИРЬ, т.е., тупо и примитивно. Типа, закрыл баночку крышкой, система стала закрытой. Крышечку снял - открытой. Для подтверждения своих слов, приведу эйнштейнианскую цитату. =Реальные системы [имеются ввиду - открытые] именно такие, так как наш мир бескрайний [эта самая "бескрайность", как раз и доказывает заточенность их мышления на ВШИРЬ], а значит замкнутая система — это всегда лишь некоторое приближение в любом масштабе...