☝ Рак не болит: 7 ранних симптомов онкозаболеваний. Рак не болит. Hadassah Medical Moscow. 18+
Маленький пост об очень большой опухоли
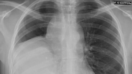
Мы привыкли, что любое упоминание о злокачественном процессе в грудной клетке ассоциируется у нас исключительно с раком - опухоли из эпителия бронхов/бронхиол. Редко, но бывают исключения. Как например, у этого молодого человека 36 лет - более чем за полгода до госпитализации по поводу ОРВИ была выполнена ФЛГ - в правом лёгочном поле найдено обширное затемнение (образование? гидроторакс?). До момента проведения ФЛГ пациента ничего особенно не беспокоило - периодический сухой кашель и неприятные ощущения в грудной клетке...
Ведёт к раку, не лечится, передается через полотенца. Что нужно знать про вирус папилломы человека?
Если вы — взрослый человек и ведёте половую жизнь, у вас с большой долей вероятности есть ВПЧ: по статистике, им заражены, по разным оценкам, от 70 до 90% взрослого населения страны. Пугаться, как и не придавать значения этому факту, не стоит. А вот знать важные факты про ВПЧ очень важно. Формулируем максимально коротко и понятно. ВПЧ — это не один вирус, а группа родственных вирусов, всего их известно более шестисот. Большинство из них вызывает появление на коже бородавок и папиллом, чаще всего — на лице, шее, на груди и под грудью, на боках в зоне бюстгальтера, на руках...