Белые пятна на зубах — признак беды? Срочно нужно проверить это...
Кариес, флюороз или гипоплазия: почему появляются белые пятна на зубах и как их лечить
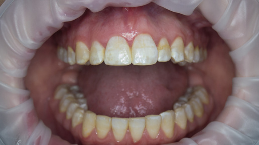
Белые пятна на зубах — частая причина беспокойства пациентов. Они могут возникать по разным причинам: от начального кариеса до флюороза и гипоплазии эмали. В статье «Белого Кита» разбираемся, чем они отличаются и когда стоит насторожиться. Часто белые пятна — это начальный этап кариеса. Обычно они появляются в любом возрасте на одном-двух зубах у края десны или между зубами. Поверхность эмали шероховатая. Причины — недостаточная гигиена или вымывание минералов. Еще дефекты на зубах могут появиться при таких заболеваниях: Флюороз — это белые, желтые или коричневые пятна...
Белые пятна на зубах
Белые пятна на зубах — явление, с которым сталкиваются как взрослые, так и дети. В стоматологии это состояние часто связано с нарушением структуры эмали, которое может формироваться в период жизни при дефиците витаминов или из-за неправильного положения прикуса. Важно вовремя распознать и решить эту ситуацию, чтобы сохранить здоровую и красивую улыбку. Белые пятна на передних или жевательных зубах часто воспринимаются как эстетический недостаток и даже не берутся во внимание. Они могут возникнуть...