05:51
1,0×
00:00/05:51
37,6 тыс смотрели · 4 года назад
4 года назад
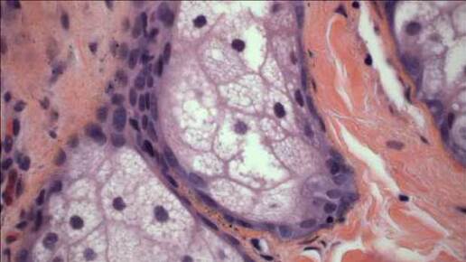
Что такое аргироз?
Аргироз-воспалительное заболевание кожи,связанное с воздействием или проглатыванием коллоидного раствора серебра,накапливающегося в организме, в частности, в эпидермисе и прилегающих тканях. Кожи под микроскопом при отравлении серебром...
120 читали · 2 дня назад
Если бы мы знали, что это такое, но мы не знаем, что это такое
Друзья, сегодня, как всегда, должна была выйти моя новая статья, но это оказалось невозможным. Со вчерашнего дня у нас в Сочи не работает интернет. Вообще. Такого никогда раньше не было. Не открываются никакие сайты, ни приложения, ни Телеграм. Новости увидеть не можем, никто ничего не объясняет. Интернет, как говорят, выключен у всех операторов...