Межполушарная асимметрия мозга - Советы Психолога
Мозолистое тело связали с межполушарной асимметрией языка
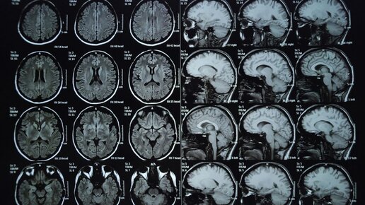
Ученые Центра языка и мозга НИУ ВШЭ подтвердили участие мозолистого тела в распределении языковой обработки между полушариями мозга. Для этого они разработали уникальное речевое задание и применили современные методы нейровизуализации. Статья опубликована в Plos One. Работа выполнена при поддержке мегагранта правительства России в рамках нацпроекта «Наука и университеты». Функциональная асимметрия высших когнитивных функций — уникальное свойство человеческого мозга. Примером асимметрии является язык человека, обработка которого у большинства людей происходит в левом полушарии...
АСИММЕТРИЯ ЛИЦА. ПРИЧИНЫ, ПОСЛЕДСТВИЯ, СПОСОБЫ ЛЕЧЕНИЯ
Асимметрия лица — не только косметический дефект. Этот признак в большинстве случаев говорит о наличии серьезной патологии, требующей лечения.
Аномалия бывает как врожденной, так и приобретенной. Незначительная асимметрия есть у большинства людей. Разница между правой и левой половинами лица в пределах 2-3 мм считается физиологической нормой. Но, если разница хорошо заметна невооруженным глазом, нужно без промедлений искать причину. Рассмотрим, чем могут быть обусловлены изменения
каковы критерии для определения асимметрии
какие методы диагностики и лечения используются для решения проблемы. Причины...