Когда не хватает кости для имплантации: что нужно знать о синус-лифтинге
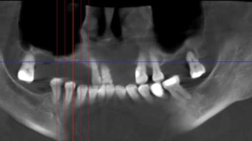
Очень часто пациенты приходят с вопросом: почему после удаления зубов им отказывают в установке имплантов? Основная причина — значительный недостаток костной ткани в верхней челюсти, который развивается со временем или связан с индивидуальными особенностями. Многие клиники просто не берутся за такие сложные случаи из-за высокого риска. Однако существует эффективное решение — процедура синус-лифтинга, о ней я расскажу подробнее далее. Синус-лифтинг — это хирургическая операция по наращиванию костной ткани в зоне гайморовой пазухи...
3 дня назад
Новостным источникам требуется научный редактор! Хватит публиковать глупости
Ну вот вам, пожалуйста! Пишут следующее: ЦИТАТА "Соединение сочетает в себе электропроводность и полярность — качества, которые обычно несовместимы. Благодаря этому редкому сочетанию инновационный материал проявляет оптический эффект удвоения частоты света, что характерно для неметаллов". КОНЕЦ ЦИТАТЫ Пора бы уже понять! Если какое-то вещество "проявляет себя как" что-то конкретное, это вовсе не означает, что это вещество этим самым и является. Иными словами, если какое-то ХИМИЧЕСКОЕ СОЕДИНЕНИЕ...