Аделия Петросян: Реакция Этери Тутберидзе на НОВУЮ произвольную, Контрольные Прокаты 2022
Синдром Рихтера: симптомы и лечение
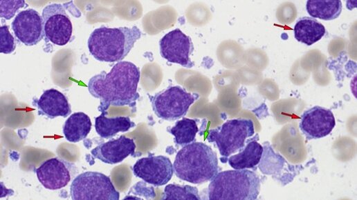
Синдром Рихтера проявляется быстрым прогрессированием хронического лимфоцитарного лейкоза в более агрессивную форму лимфомы. Синдром Рихтера обычно связан с плохими показателями выживаемости, однако лечение может помочь человеку достичь кратковременной ремиссии. Что такое синдром Рихтера? Хронический лимфоцитарный лейкоз (ХЛЛ) — это тип рака, который поражает белые кровяные тельца (лейкоциты). Синдром Рихтера возникает, когда ХЛЛ быстро трансформируется в агрессивную форму лимфомы (разновидность рака лимфатической системы)...
Шкала Рихтера
26 апреля 1900 года родился Чарльз Фрэнсис Рихтер (в Гамильтоне, штат Огайо), американский физик и сейсмолог, разработавший в 1935 году шкалу для оценки силы землетрясений в его очаге. Свою шкалу («шкала Рихтера») он теоретически обосновал совместно с американским сейсмологом Бено Гутенбергом, после чего шкала получила признание во всем мире. Его родители-фермеры в 1909 году перебрались из штата Огайо в более благополучные края – в Калифорнию. В школе у юного Чарльза проявилась склонность к физике,...