01. Введение в микробиологию и медицинскую микробиологию
Тормозя подвижность бактерий: новый подход к борьбе с заболеваниями
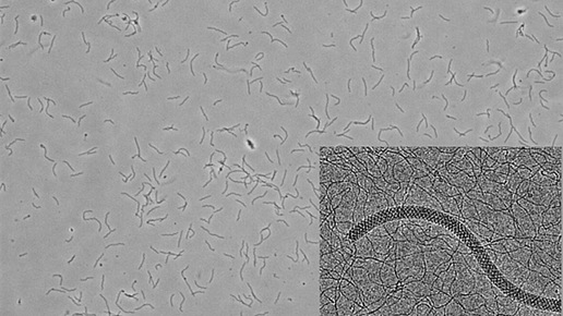
Полученные результаты могут оказать влияние на лечение инфекций в будущем, поскольку растет обеспокоенность по поводу возникновения антибиотикорезистентных штаммов. Исследование было опубликовано в журнале ACS Chemical Biology. «Многие виды бактерий должны иметь возможность двигаться, чтобы инфицировать организм хозяина», - говорит соавтор статьи Брайан Крейн. «Подвижность может быть важна для перемещения между хозяевами - например, от клещей к человеку, - а также для распространения внутри хозяина, колонизации наиболее благоприятных тканей и уклонения от иммунной системы»...
Научные организации РФ🇷🇺 для ЕГЭ по обществознанию с примерами для второй части
Научные организации РФ🇷🇺 для ЕГЭ по обществознанию с примерами для второй части👇 Часть 2 📌Национальный исследовательский центр эпидемиологии и микробиологии (НИЦЭМ) имени Н. Ф. Гамалеи Направление научно-технологического развития: Решение фундаментальных проблем в области эпидемиологии, медицинской и молекулярной микробиологии, инфекционной иммунологии. Пример для второй части: Российские учёные из Национального исследовательского центра эпидемиологии и микробиологии имени Н.Ф. Гамалеи первыми в мире создали и зарегистрировали вакцину («Спутник V») от COVID 19...