Анатомо-топогр. принципы кровоснабжения и иннервации органов и тканей.
12. Препарат ТИМУС
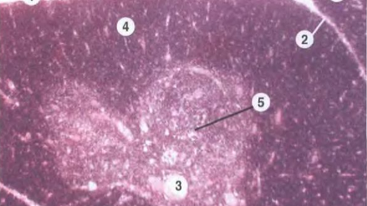
Тимус, как и красный костный мозг, относится к центральным органам кроветворения. В нём происходят заключительные стадии антигеннезависимого созревания Т-лимфоцитов. а) малое увеличение: 1. Капсула тимуса: образована плотной волокнистой соединительной тканью; 2. Отходящие от капсулы соединительнотканные перегородки; 3. Дольки тимуса (разделенные перегородками). В кажной дольке: 4. Корковое вещество лежит на периферии и является более темным (густо заселено лимфоцитами); 5. Мозговое вещество в центре дольки и более светлое...
ВОЗРАСТНАЯ ИНВОЛЮЦИЯ ВИЛОЧКОВОЙ ЖЕЛЕЗЫ (ТИМУСА) - ПЕРВАЯ ЛАСТОЧКА ИММУНОСТАРЕНИЯ Вилочковая железа находится над сердцем в верхнем отделе грудной клетки, по сути, тимус как бы охватывает трахею. Эта железа ответственна за синтез тимозина, тимопоэтина, стимулирующих выработку антител. Главное, что производит тимус - это Т-лимфоциты – белые клетки крови, уничтожающие любые аномальные клетки с чужеродными антигенами. С возрастом тимус теряет массу и функцию, с этим явлением частично связывают наблюдаемое у пожилых людей иммуностарение. На первом изображении - расположение вилочковой железы. На втором - молодой тимус (6), (8). Старый тимус (5). Вы можете видеть, что буквой F отмечены жировые клетки. Так с возрастом ткань тимуса замещается на жировую. На третьем изображении вновь старый тимус, на четвертом все типы клеток тимуса, раскрашенные различными способами. С инволюцией тимуса геронтологи научились бороться, но не на 100% успешно. www.ncbi.nlm.nih.gov/...968 Источники: www.frontiersin.org/...ull crev.info/...not www.frontiersin.org/...ull