Ботаника (биология-5): ткани растений
Ученые создали виртуальную модель эпителиальной ткани, способную прогнозировать развитие серьезных медицинских патологий
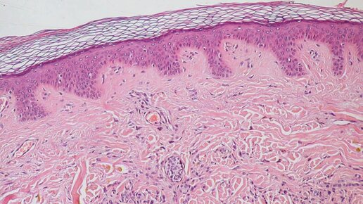
Способность организма к регенерации — сложный биологический процесс, при котором клетки координировано восстанавливают поврежденные ткани. Однако при различных патологиях эта система нарушается. У пациентов с диабетом возникают незаживающие язвы, после ожогов образуются рубцы, а при онкологии естественные механизмы клеточного деления и миграции приводят к метастазированию. Принципиально важно, что и нормальное заживление, и патологический рост опухоли управляются единым механизмом — движением эпителиальных клеток...