2 месяца назад
Основы микробиологии и иммунологии (1 курс медицинского колледжа) / Конспект лекции 3. Антибиотикорезистентность, Туберкулез, вирусы, герпес
В лекцию вошло то, что посчитал необходимым записать слушатель (студент), также к лекциям предоставлялись слайды, которые не показываются из-за авторского права лектора. Кое-какие моменты (уточнения) добавляются самим слушателем на основании общедоступных источников ВНИМАНИЕ - УПОМИНАЕМЫЕ В МАТЕРИАЛЕ ПРЕПАРАТЫ ПРИВЕДЕНЫ В ОБУЧАЮЩИХ ЦЕЛЯХ В КАЧЕСТВЕ ПРИМЕРА И БЕЗ НАЗНАЧЕНИЯ ЛЕЧАЩЕГО ВРАЧА ПРИНИМАТЬСЯ НЕ ДОЛЖНЫ · естественные – отсутствие мишеней для антибиотиков (например, отсутствие клеточной стенки...
3 недели назад
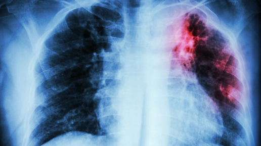
🎁 Гайд "Лабораторная диагностика туберкулеза" из нашего нового курса по микробиологии
🎁 Гайд "Лабораторная диагностика туберкулеза" из нашего нового курса по микробиологии. Приготовили вам такой вот подарочек в честь запуска курса. Да, мы наконец-то его отсняли, успели к сентябрю, чтобы у вас все было...