Добавить в корзинуПозвонить
Найти в Дзене
Минобрнауки России

Ученые описали бактерию, «застывшую» во времени

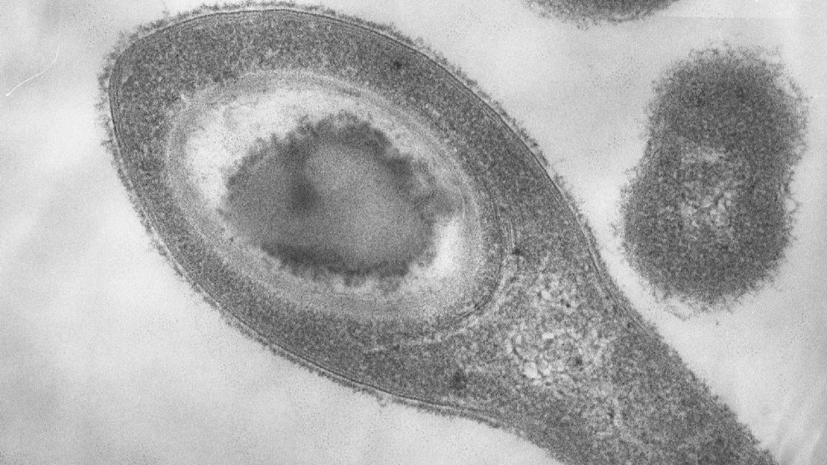
Микробиологи Томского государственного университета (ТГУ) совместно с коллегами из ФИЦ «Биотехнологии» РАН детально изучили бактерию Desulforudis audaxviator и обнаружили в подземных водах Западной Сибири ее «родственника». Название Desulforudis audaxviator (видовая часть переводится с латыни как «смелый путешественник») предложили американские ученые, которые выявили ДНК этого микроорганизма на большой глубине в шахтных водах золоторудного месторождения в Южной Африке. Бактерия способна жить и получать энергию без света и кислорода — за счет радиоактивного распада в недрах Земли.  «В микробиологии объект, который обнаружен, но не прошел полную стадию культивирования (воспроизведения) в лаборатории и детально не описан, имеет статус Candidatus, кандидата, — поясняет один из авторов статьи, заведующая кафедрой физиологии растений, биотехнологий и биоинформатики Биологического института ТГУ Ольга Карначук. — Теперь «смелый путешественник» легализован: ему официально присвоено имя Desul

Микробиологи Томского государственного университета (ТГУ) совместно с коллегами из ФИЦ «Биотехнологии» РАН детально изучили бактерию Desulforudis audaxviator и обнаружили в подземных водах Западной Сибири ее «родственника».

Название Desulforudis audaxviator (видовая часть переводится с латыни как «смелый путешественник») предложили американские ученые, которые выявили ДНК этого микроорганизма на большой глубине в шахтных водах золоторудного месторождения в Южной Африке. Бактерия способна жить и получать энергию без света и кислорода — за счет радиоактивного распада в недрах Земли. 

«В микробиологии объект, который обнаружен, но не прошел полную стадию культивирования (воспроизведения) в лаборатории и детально не описан, имеет статус Candidatus, кандидата, — поясняет один из авторов статьи, заведующая кафедрой физиологии растений, биотехнологий и биоинформатики Биологического института ТГУ Ольга Карначук. — Теперь «смелый путешественник» легализован: ему официально присвоено имя Desulforudis audaxviator».

Ученые ТГУ выделили микроорганизм из подземных вод термального источника Верхнекетского района Томской области. После полного секвенирования генома (определения точной последовательности нуклеотидов — «букв» генетического кода в ДНК бактерии) и его сравнения с образцом из Южной Африки исследователи выяснили, что последовательности абсолютно идентичны. 

-2

«Это говорит о том, что Desulforudis audaxviator в прямом смысле слова «застыл» во времени. Геном «смелого путешественника» не менялся со времен Пангеи — суперконтинента, существовавшего около 335–175 миллионов лет назад. Это противоречит нашим представлениям о дарвиновской эволюции, предполагающей, что в организмах накапливаются изменения, которые позволяют им лучше приспособиться к условиям окружающей среды», — отмечает Ольга Карначук.

Еще одним открытием ученых стал новый род и семейство бактерий — «родственников» Desulforudis audaxviator. Их обнаружили в подземных скважинах Западной Сибири: в артезианской воде в Белом Яре (Томская область), возле Новокузнецка в угольных пластах в зоне добычи метана (Кемеровская область) и в глубинных водах в Тюменской области. 

Новый род получил название Desulfosceptrum tomskiensis, а семейство — Desulfosceptrumaceae. Первая часть названия отсылает к форме клеток, образующих споры: они напоминают скипетр (лат. sceptrum). Вторая часть (tomskiensis) указывает на Томскую область — регион, где был обнаружен новый род. 

«Наши коллеги из ФИЦ Биотехнологии РАН секвенировали геномы бактерий, найденных нами в подземных скважинах, и обнаружили, что Desulfosceptrum tomskiensis тоже довольно постоянен, но не настолько, как знаменитый «путешественник». Пусть малые, но изменения в его ДНК все же есть. Коллеги выдвинули гипотезу, что причина может заключаться в следующем: в отличие от Desulforudis audaxviator, находящегося очень глубоко под землей, его сибирские «родственники» живут на меньшей глубине — там, куда проникает ионизирующее излучение, которое вызывает мутации», — объясняет ученый.

По словам авторов, есть основания предполагать, что до перехода в подземную среду «смелый путешественник» жил на поверхности Земли. Об этом свидетельствуют газовые вакуоли — воздушные пузырьки, позволяющие плавать на поверхности воды (как у цианобактерий). Вероятно, Desulforudis audaxviator попал под землю с дождевой водой, а глубинные условия оказались для него более благоприятными. Возможно, когда‑то он распространялся по планете по воздуху — благодаря тем же вакуолям.

-3

Авторы подчеркивают необходимость дальнейшего изучения Desulforudis. Это важно не только для фундаментальной науки и понимания эволюции живых организмов, но и с практической точки зрения: бактерии могут найти промышленное применение. Кроме того, исследование таких микроорганизмов дает новые сведения о потенциальных формах жизни в космосе — если на других планетах есть биота, ее принципы организации могут быть схожи с особенностями этих бактерий. 

В исследовании также участвовали ученые из ФИЦ «Биотехнологии» РАН, РГУ нефти и газа им. И.М. Губкина и ФИЦ «Пущинский научный центр биологических исследований» РАН.

Работа проведена при поддержке Российского научного фонда.