Добавить в корзинуПозвонить
Найти в Дзене

Переписка с пациентом о боли в тазобедренном суставе и разной степени артроза в описании рентгенограммы и магнитного томографа

Пациент:
- Доктор, у меня боли тазобедренный сустав. На рентгене у меня 1-2 степень, а на МРТ 3 степень артроза. Разве такое возможно!
Посмотрите снимки пожалуйста. И подскажите надо ли принимать НПВП и гормоны для уменьшения боли?
Доктор:
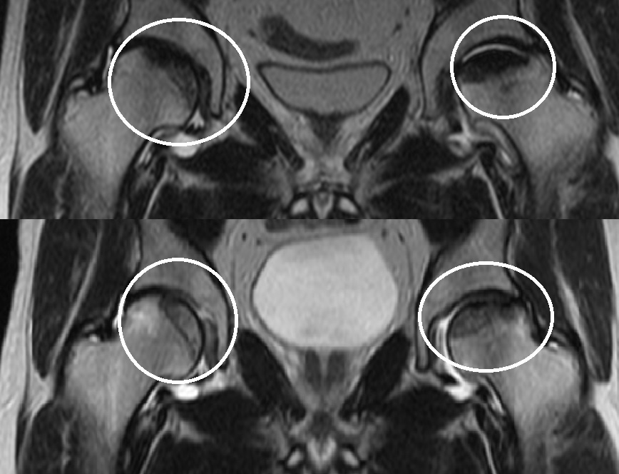
- Посмотрел. Все просто! У Вас асептическое воспаление в суставе - инфаркт кости.
На рентгене сморят форму кости и пока изменений формы нет, поскольку сустав еще не разрушен и там все по возрасту 1-2 степень.
На МРТ видно не только форму кости, но и то, что происходит внутри кости, а там произошел инфаркт кости, тот есть сосуд отвечающий за этот участок кости затромбирован и в кости без кровоснабжения развивается асептический невроз то есть кость растворяется и может разрушиться в этом в месте - месте асептического некроза (инфаркта кости).
В месте инфаркта кости — кость разрушится если ее нагружать, поэтому уменьшение нагрузки на кость главное, тогда в этом месте сформируется шрам — фиброз, склероз.
Поэтому главное - разгрузить эту кость.
Разгрузка

Пациент:
- Доктор, у меня боли - тазобедренный сустав. На рентгене у меня 1-2 степень, а на МРТ 3 степень артроза. Разве такое возможно!
Посмотрите снимки пожалуйста. И подскажите надо ли принимать НПВП и гормоны для уменьшения боли?
Доктор:
- Посмотрел. Все просто! У Вас асептическое воспаление в суставе - инфаркт кости.
На рентгене сморят форму кости и пока изменений формы нет, поскольку сустав еще не разрушен и там все по возрасту 1-2 степень.
На МРТ видно не только форму кости, но и то, что происходит внутри кости, а там произошел инфаркт кости, тот есть сосуд отвечающий за этот участок кости затромбирован и в кости без кровоснабжения развивается асептический невроз то есть кость растворяется и может разрушиться в этом в месте - месте асептического некроза (инфаркта кости).
В месте инфаркта кости — кость разрушится если ее нагружать, поэтому уменьшение нагрузки на кость главное, тогда в этом месте сформируется шрам — фиброз, склероз.
Поэтому главное - разгрузить эту кость.
Разгрузка — лежать 3 месяца или ходить на костылях.
И конечно "кормить" место инфаркта кости, чтобы фиброз и склероз шли быстрее.
"Кормить" — это:
- сосудорасширяющие препараты:
- препараты для улучшения трофики в суставе, лучше внутрисуставным введением.
- ЛФК (велотренажер без нагрузки и никаких приседаний!)
- физиотерапия глубокая для улучшения кровоснабжения (высокоинтенсивный лазер, магнит, УВТ)
Это есть боль в покое, т о можно и уменьшить воспаление и боль НПВП и гормонами, но если боль только при нагрузке — то лекарства от боли не нужны! Нужно не создавать боль - постельный режим или костыли.

Асептический некроз тазобедренного сустава с разрушением участка кости в течении года при несоблюдении охранительного режима - постельный режим или использование костылей
Асептический некроз тазобедренного сустава с разрушением участка кости в течении года при несоблюдении охранительного режима - постельный режим или использование костылей