Добавить в корзинуПозвонить
Найти в Дзене
Роды в Москве

Московские врачи спасли младенца с редкой патологией дыхания.

Московские врачи спасли младенца с редкой патологией дыхания.
В детский стационар ММКЦ «Коммунарка» поступил 7-месячный ребенок с кашлем и шумным дыханием, которое было слышно даже на расстоянии. Проведенное ранее лечение не дало длительного улучшения состояния — симптомы возвращались.
На приеме малышу измерили сатурацию, при норме 98-99 % показатель у пациента оказался 88 %, что при отсутствии прочих симптомов являлось тревожным знаком. Проведенное дообследование не показало наличие у ребенка воспалительного процесса, на рентгене также не выявили отклонения.
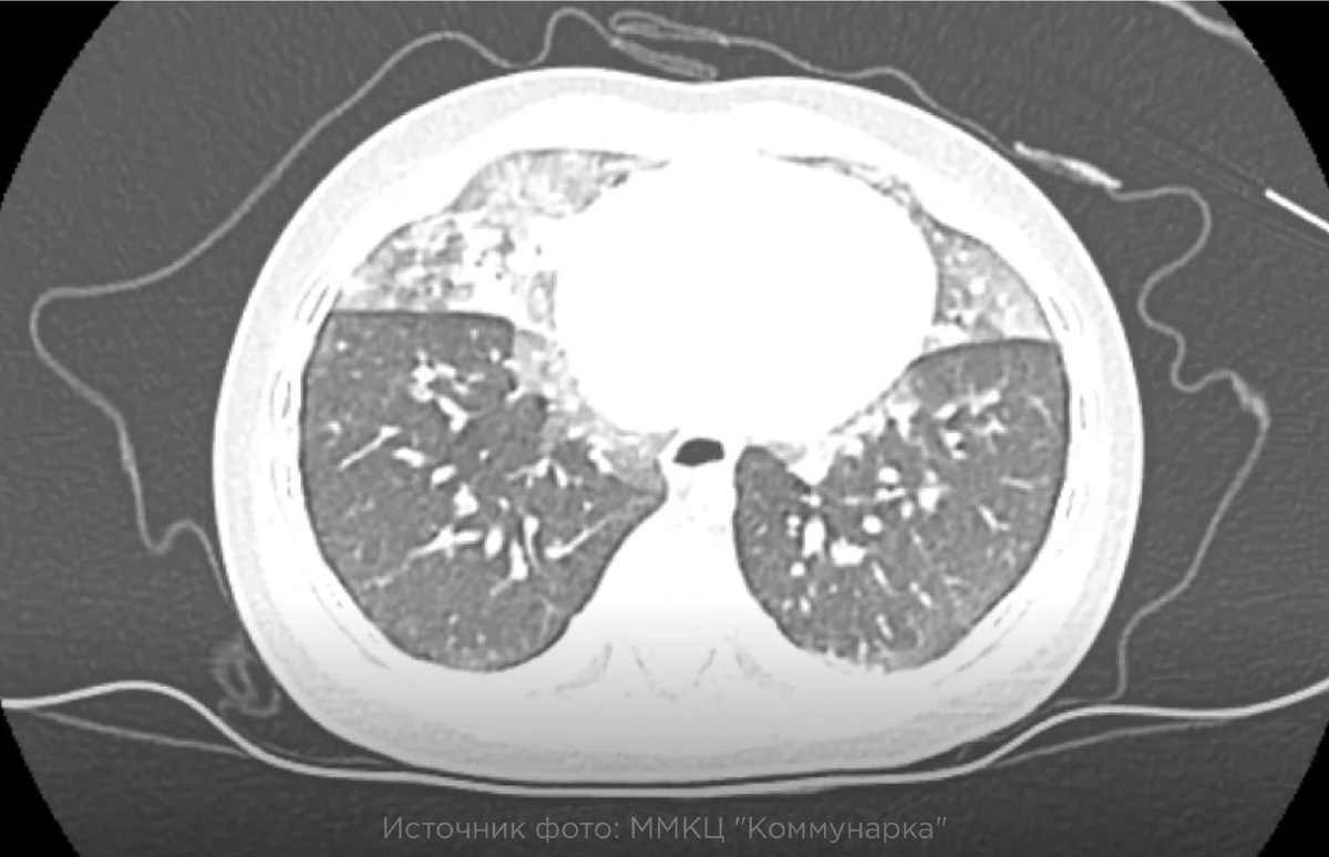
Только на КТ врачи смогли обнаружить участки «матового стекла» — специфический симптом, типичный для нейроэндокринной гиперплазии.
В педиатрической практике встречаются состояния, которые успешно маскируются под другие заболевания: бронхиолит, пневмонию или обструктивный синдром. Одно из таких — нейроэндокринная клеточная гиперплазия младенцев.
Выяснилось, что у ребенка сочетались острый бронхиолит и фоновое состояние — ней

Московские врачи спасли младенца с редкой патологией дыхания.

В детский стационар ММКЦ «Коммунарка» поступил 7-месячный ребенок с кашлем и шумным дыханием, которое было слышно даже на расстоянии. Проведенное ранее лечение не дало длительного улучшения состояния — симптомы возвращались.

На приеме малышу измерили сатурацию, при норме 98-99 % показатель у пациента оказался 88 %, что при отсутствии прочих симптомов являлось тревожным знаком. Проведенное дообследование не показало наличие у ребенка воспалительного процесса, на рентгене также не выявили отклонения.

Только на КТ врачи смогли обнаружить участки «матового стекла» — специфический симптом, типичный для нейроэндокринной гиперплазии.
В педиатрической практике встречаются состояния, которые успешно маскируются под другие заболевания: бронхиолит, пневмонию или обструктивный синдром. Одно из таких — нейроэндокринная клеточная гиперплазия младенцев.

Выяснилось, что у ребенка сочетались острый бронхиолит и фоновое состояние — нейроэндокринная гиперплазия. Врачи в стационаре назначили лечение и стабилизировали показатели дыхания. Малыш выписан под амбулаторное наблюдение педиатра и пульмонолога с рекомендациями по контролю сатурации и своевременной кислородной поддержке.

Родить малыша в московском роддоме могут будущие мамы из любого региона России бесплатно по полису ОМС. Узнать подробнее вы можете заполнив форму на сайте проекта «Роды в Москве» на любом сроке беременности.

Материал носит информационный характер.
Имеются противопоказания, необходима консультация специалиста.

Источник: Детский центр ММКЦ «Коммунарка»