Добавить в корзинуПозвонить
Найти в Дзене

Клиновидный дефект и рецессия десны. Что у вас на самом деле? Часть 1.

Вы смотрите на зубы и замечаете изменения, которые сложно игнорировать: появилась чувствительность, у десны - небольшое углубление, а иногда кажется, что сам зуб стал длиннее. В такие моменты почти всегда возникает один и тот же вопрос: «Что это - проблема с зубом или с десной?» На практике в этой зоне чаще всего встречаются два состояния - рецессия десны и клиновидный дефект. Они выглядят похоже, ощущаются похоже, но, по сути, это совершенно разные процессы.
И именно из-за этого их часто путают.
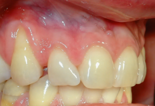
Рецессия десны - когда уходит защита
Рецессия - это состояние, при котором десна постепенно смещается, открывая корень зуба. Сам зуб при этом может оставаться абсолютно целым, но меняется его внешний вид: он становится визуально длиннее, а зона у десны - более чувствительной. Важно понимать, что десна - это не просто «контур», который формирует улыбку. Это защитный барьер. Она закрывает корень зуба, который по своей структуре намного уязвимее эмали. Когда десна уходит, эта защита теряется и


Вы смотрите на зубы и замечаете изменения, которые сложно игнорировать: появилась чувствительность, у десны - небольшое углубление, а иногда кажется, что сам зуб стал длиннее.

В такие моменты почти всегда возникает один и тот же вопрос: «Что это - проблема с зубом или с десной?»

На практике в этой зоне чаще всего встречаются два состояния - рецессия десны и клиновидный дефект. Они выглядят похоже, ощущаются похоже, но, по сути, это совершенно разные процессы.
И именно из-за этого их часто путают.

 Рецессия десны
Рецессия десны

Рецессия десны - когда уходит защита
Рецессия - это состояние, при котором десна постепенно смещается, открывая корень зуба. Сам зуб при этом может оставаться абсолютно целым, но меняется его внешний вид: он становится визуально длиннее, а зона у десны - более чувствительной.

Важно понимать, что десна - это не просто «контур», который формирует улыбку. Это защитный барьер. Она закрывает корень зуба, который по своей структуре намного уязвимее эмали. Когда десна уходит, эта защита теряется и именно тогда появляются реакции на холодное, кислое или даже на обычную чистку зубов.

Причины рецессии могут быть разными: от особенностей тканей и анатомии до нагрузки, травмы или воспаления. Но суть остаётся одной - это процесс, связанный с мягкими тканями.

Канал в ТГ: Доктор Панкрашова
Канал в Мах: Доктор Панкрашова
Запись на прием по номеру или мессенджеру: 8 982 915 4097

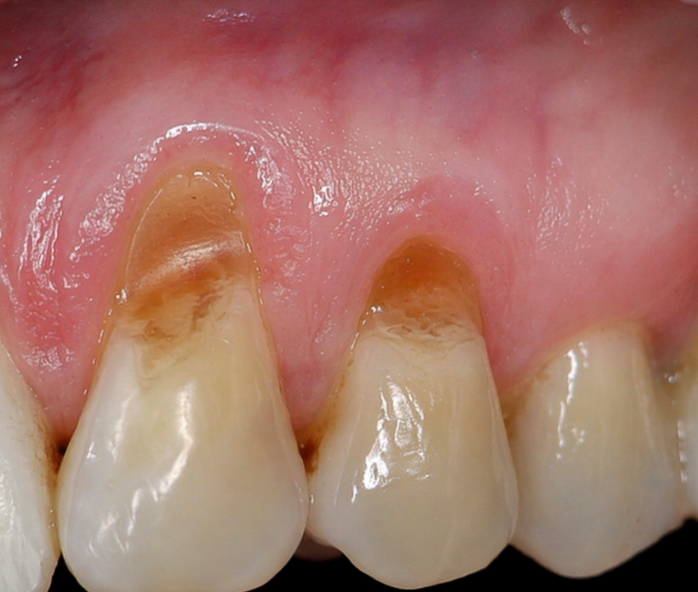
Клиновидный дефект
Клиновидный дефект

Клиновидный дефект - когда разрушается сам зуб
Клиновидный дефект - это уже не про десну, а про сам зуб.
В области шейки, ближе к десне, появляется характерное углубление - «ямка» с плотными, чёткими краями. Это не кариес и не инфекция. Зуб в этом месте не разрушается бактериями - он постепенно теряет ткань под действием внешних факторов.

Чаще всего это сочетание нескольких причин: механическое воздействие, химическая среда и нагрузка.

Почему их так легко перепутать
На первый взгляд разница кажется очевидной, но когда человек видит это в зеркале, всё выглядит иначе.
И там, и там:

  • зона у десны
  • дискомфорт
  • чувствительность

Визуально это может восприниматься как одно и то же, но в одном случае проблема в десне, а в другом - в зубе.

Когда это не два диагноза, а один процесс
Самое важное, что стоит понимать: в реальной клинической практике эти состояния очень часто существуют вместе.

Сначала может появиться клиновидный дефект. Зуб в области шейки теряет свою форму, и десна начинает терять опору - постепенно смещается вниз.
Или наоборот: сначала уходит десна, оголяя уязвимую часть зуба, и именно в этой зоне со временем формируется дефект.
Так возникает так называемый комбинированный случай, где невозможно рассматривать только зуб или только десну отдельно.

Что важно заметить вовремя
Есть несколько признаков, на которые стоит обратить внимание:

  • если зуб стал визуально длиннее - это чаще рецессия
  • если вы видите углубление у десны - это признак дефекта
  • если есть и то, и другое - скорее всего, процесс уже комбинированный
    Но важно понимать, что точный ответ всегда даёт только клиническая диагностика, а не визуальная оценка «на глаз».

Рецессия десны и клиновидный дефект - это не одно и то же.
В первом случае речь идёт о мягких тканях и их положении. Во втором - о разрушении твёрдых тканей зуба. Но в большинстве ситуаций они связаны между собой и развиваются как единый процесс.

Канал в ТГ: Доктор Панкрашова
Канал в Мах: Доктор Панкрашова
Запись на прием по номеру или мессенджеру: 8 982 915 4097