Добавить в корзинуПозвонить
Найти в Дзене
ДОЛГОЛЕТИЕ : CODE X

Эликсир долголетия, о котором многие не знают

Эрготионеин (EGT) - это мощная природная аминокислота, действующая как уникальный антиоксидант и "витамин долголетия", защищающий клетки от окислительного стресса и воспаления. Синтезируется грибами и бактериями, накапливаясь в организме человека через пищу. Помогает бороться со старением, улучшает работу мозга, сердца и состояние кожи.
Эрготионеин сейчас находится в центре внимания биохакеров и

Клетка отправила информационную везикулу - крошечный пузырёк с молекулярным сообщением для соседних клеток. Компьютерное моделирование автора
Клетка отправила информационную везикулу - крошечный пузырёк с молекулярным сообщением для соседних клеток. Компьютерное моделирование автора

Эрготионеин (EGT) - это мощная природная аминокислота, действующая как уникальный антиоксидант и "витамин долголетия", защищающий клетки от окислительного стресса и воспаления. Синтезируется грибами и бактериями, накапливаясь в организме человека через пищу. Помогает бороться со старением, улучшает работу мозга, сердца и состояние кожи.

Эрготионеин сейчас находится в центре внимания биохакеров и ученых благодаря своей особой биологической роли. Его считают "супергероем" среди антиоксидантов из-за уникального механизма действия.

В отличие от большинства других антиоксидантов, которые организм усваивает пассивно, для эрготионеина у человека есть специальный генетически закодированный белок-транспортер ETT. Это означает, что для него существует "отдельная дверь" в клетки. Организм активно захватывает эрготионеин из пищи и направляет в самые уязвимые места: мозг, глаза и печень.

EGT - один из немногих антиоксидантов, способных проникать непосредственно внутрь митохондрий. Именно там образуется больше всего свободных радикалов. Защищая митохондрии от повреждений, он помогает сохранять высокий уровень энергии и замедляет клеточное старение.

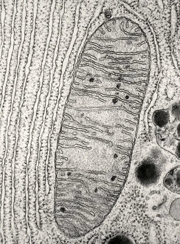
Документальное фото митохондрии, сделанное с использованием электронного микроскопа
Документальное фото митохондрии, сделанное с использованием электронного микроскопа
Митохондрии - "энергетические станции" клеток: они вырабатывают АТФ (источник энергии) путём окисления органических соединений. Это двумембранные органеллы диаметром около 1 мкм, встречающиеся в клетках большинства организмов с ядерными клетками (человека, животных, растений, грибов).
У митохондрий две мембраны: внешняя - гладкая, и внутренняя - со складками (кристами). Складки увеличивают площадь поверхности, чтобы разместить больше белковых комплексов для производства энергии. Внутри митохондрии (в матриксе) находятся ферменты для окисления веществ, а также собственная кольцевая ДНК и рибосомы.
Количество митохондрий зависит от энергетических потребностей клетки. Их особенно много в тканях с высоким энергопотреблением - например, в сердечной мышце (миокарде) и скелетных мышцах. Митохондрии могут перемещаться внутри клетки, направляясь в зоны, где в данный момент требуется больше энергии.

Также исследования показывают прямую связь между уровнем эрготионеина в крови и здоровьем мозга: улюдей с умеренными когнитивными нарушениями уровень EGT обычно значительно ниже нормы. Он обладает нейропротекторным действием, помогая предотвратить гибель нейронов при дегенеративных процессах.

Информационно-молекулярный обмен между клетками - симфония жизни. Иллюстрация автора
Информационно-молекулярный обмен между клетками - симфония жизни. Иллюстрация автора

Многие антиоксиданты, например, витамин С или глутатион, быстро разрушаются или окисляются сами. Эрготионеин невероятно стабилен: он не разрушается при термической обработке грибов и сохраняется в организме неделями, а не часами.

В составе кремов и сывороток он:

  • защищает кожу от фотостарения (УФ-излучения)

  • предотвращает разрушение коллагена

  • осветляет тон кожи, подавляя избыточную выработку меланина

Вот примерное содержание эрготионеина в продуктах (на 100 г сухого или свежего веса). Цифры могут варьироваться в зависимости от условий выращивания, но иерархия сохраняется:

1. Грибы (мг на 1 кг сухого веса - здесь концентрация самая высокая):

  • Белый гриб: 150 - 7270 мг (абсолютный чемпион)

  • Вешенка: около 220 - 3940 мг

  • Шиитаке: около 1200 - 2800 мг (при стандартных условиях выращивания)

  • Шампиньон: около 32 - 150 мг

2. В расчете на порцию свежих продуктов (мг на 100 г, для грибов - 90℅ влаги), если говорить о привычных порциях "из магазина", цифры выглядят так:

  • Вешенки: ~ 2,2- 40 мг

  • Шиитаке: ~ 12 - 28 мг

  • Королевская вешенка (Еринги): ~ 1 - 2 мг

  •  Шампиньоны: ~ 0,32- 3 мг

  •  Куриная/говяжья печень: ~1 - 3 мг

  •  Черная фасоль: ~ 0,5 - 1,1 мг

  •  Овсяные отруби: ~ 0.3 - 0.8 мг

Для сравнения: в большинстве овощей

⚠️ Для сравнения: в большинстве овощей (морковь, картофель) и фруктов содержание эрготионеина практически равно нулю или составляет менее 0, 05 мг.

⚠️ Существенный аспект:

Современное сельское хозяйство (использование плугов и удобрений) разрушает мицелий в почве, из-за чего в овощах и злаках эрготионеина становится всё меньше. Поэтому грибы остаются его незаменимым источником

⚠️ Важно: Ученые считают, что для "ощутимого эффекта долголетия" человеку нужно получать около 3 - 5 мг эрготионеина в день. Как видите, всего 100 г обычных шампиньонов или небольшая порция вешенок полностью закрывают эту потребность. Кроме того, EGT стали продавать в форме биодобавок.

N. B. Содержание эрготионеина приведено с опорой на следующие исследования:

Kalaras et al., 2017 (белый гриб)

DOI:10.1016/j.foodchem.2017.04.109

Dubost et al., 2007 (вешенка)

DOI:10.1080/15216540701473246

Jang et al., 2021 (шиитаке)

DOI:10.1016/j.foodchem.2021.127477

Calvo et al., 2016 (шампиньоны)

DOI:10.1016/j.foodchem.2016.03.067

Друзья, как видите, EGT является вполне эффективным средством поддержания здоровья митохондрий и клеточных структур в целом. На мой взгляд, эрготионеин - достойный экземпляр в нашей коллекции средств естественного восстановления и оздоровления.

Всем желаю крепкого сибирского здоровья! ☀ 🍄‍🟫