Добавить в корзинуПозвонить
Найти в Дзене
Parodoctor

Под старой металлокерамикой нас ожидал "пенёк" и периодонтит. Раньше такое не лечили

"А коронки-то - опасны! Зуб гниёт под ними и не уследишь никак" - это не я сказала. Но в этом изречении своя суть имеется. Не на пустом месте подобное взросло. Но сколько ортопедов - столько и коронок. Все врачи разные и качество выдают разное. Во времена разные устанавливают и возможности у всех разные. Про лаборатории вообще молчу, а то всю статью придётся только им посвятить. Вот и слава у "назубных колпачков" сомнительная среди народонаселения имеется. Просто у них ортопеда нормального не было (с). Между коронкой и тем, что осталось от зуба (нечто серое бросается нам в глаза на фото), имеется дефект: Почему вообще коронка такая странная, недоделанная, будто? Моё мнение - коронка нормальная и ничего серого из-под десны не показывалось тогда, когда конструкцию устанавливали. Просто со временем произошло выдвижение зуба в сторону антагониста на нижней челюсти (да, зуб там есть). Значит, смыкание было неполноценным изначально. Если бы верхний зуб смыкался с нижным адекватно, ничего
Оглавление

"А коронки-то - опасны! Зуб гниёт под ними и не уследишь никак" - это не я сказала. Но в этом изречении своя суть имеется. Не на пустом месте подобное взросло.

Но сколько ортопедов - столько и коронок. Все врачи разные и качество выдают разное. Во времена разные устанавливают и возможности у всех разные. Про лаборатории вообще молчу, а то всю статью придётся только им посвятить.

Вот и слава у "назубных колпачков" сомнительная среди народонаселения имеется.

Просто у них ортопеда нормального не было (с).

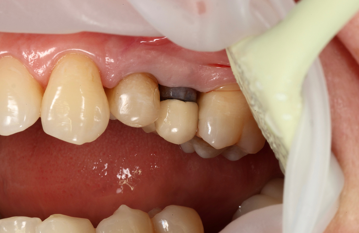
Старая металлокерамическая коронка - стоит, но зубу плохо

Между коронкой и тем, что осталось от зуба (нечто серое бросается нам в глаза на фото), имеется дефект:

-2

Почему вообще коронка такая странная, недоделанная, будто? Моё мнение - коронка нормальная и ничего серого из-под десны не показывалось тогда, когда конструкцию устанавливали. Просто со временем произошло выдвижение зуба в сторону антагониста на нижней челюсти (да, зуб там есть). Значит, смыкание было неполноценным изначально. Если бы верхний зуб смыкался с нижным адекватно, ничего бы не выдвинулось и корень вряд ли бы так оголился интересно. Ещё предположение - коронку сделали мелкой специально, вывели из прикуса намеренно (не могу знать, зачем). Но зуб - это не часть железной болванки в бетоне. Вот живая материя и "вытолкнула" корень навстречу объятиям соседа с другого "этажа".

Дефект между коронкой и зубом, в любом случае - это зацепка для микробов, слюны, пищи. Это медленное, незаметное разрушение того, что было скрыто под тканями десны долгие годы.

Сделали КТ:

Периодонтит на зубе с МК коронкой
Периодонтит на зубе с МК коронкой

Периодонтит - воспаление на верхушке корня. Оставлять такое не рекомендую. Пути у зуба два - удаление или лечение. Вот что-то подсказывает мне чутьё, что на 90% приговор зубу вынесен был бы один. Удаление.

Но мои врачи меня снова удивили.

Под старой коронкой не осталось стенок зуба

Ортопед Нохаев Мингиян Юрьевич снял старую коронку:

Под старой коронкой зуб сгнил
Под старой коронкой зуб сгнил

От зуба ничего не осталось, буквально. Стенок нет. Пенёк - и тот в плачевном состоянии. Такой зуб мноие удалят без долгих раздумий - потому что работать с ним сложно, долго и непредсказуемо.

Но Мингиян Юрьевич посмотрел и сказал, что коронку установить сможет. Культя позволяет. А, раз ортопед сказал "смогу", то и терапевт сможет.

За этим "смогу" - опыт, насмотренность и понимание того, где проходит граница между "сложно" и "невозможно".

Дальше с этим зубом направлем к терапевту.

Перелечивание канала зуба без стенок

Обмайкин Роман Юрьевич взялся за канал, работает он с микроскопом.

Задача непростая. Ведь зуб без стенок, а это означает отсутствие адекватной опоры для коффердама, матриц, любой изоляции. Но не всё тут так плохо и "уцепиться" специалист смог за ткани. Прежде чем лечить каналы, нужно создать то, чего нет - восстановить периметр зуба, дать инструментам точку опоры:

Матрица для восстановления стенок зуба
Матрица для восстановления стенок зуба

Поставили матрицу, восстановили стенки композитным материалом - создали искусственную культю, вот так уже можно работать в канале нормально:

Вошли в канал
Вошли в канал

Грязновато там:

-7

Углубляемся, стружка грязная:

-8

Шипит и пенится от органики (которой в канале быть не должно) гипохлорит:

-9

Долго ли, коротко - всё прошли и всё отмыли, нф фото в микроскоп видим самое дно канала:

-10

Периодонтит является следствием инфекции внутри канала, источник устранён. Пломбировка канала:

-11

И подготовка его к установке стекловолоконного штифта Макролок:

-12

Билдап со стекловолоконным штифтом Макролок:

Билдап с СВШ
Билдап с СВШ

Получилась армирующая конструкция внутри зуба, которая даёт ему жёсткость и позволяет установить и эксплуатировать коронку без риска перелома.

Зуб, от которого не осталось стенок, получил новую архитектуру, укреплённую изнутри.

Контрольный снимок:

Прицельный рентген
Прицельный рентген

Всё в порядке.

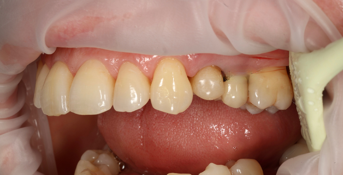
Теперь пациентка вернётся к ортопеду за коронкой.

О границе между сложным и безнадёжным

Этот случай - хорошая иллюстрация того, о чём я говорю постоянно.

Зуб без стенок, с периодонтитом, под старой несостоятельной коронкой - иногда это приговор. Работать с такими зубами, в любом случае, умеют немногие и браться за него - значит, брать на себя ответственность. Важно пациента не обмануть и сразу честно рассказать о перспективах выживания.

Здесь снова сработала связка специалистов - ортопед оценил возможность восстановления до того, как терапевт начал лечить каналы. Терапевт сначала создал условия для работы (восстановил стенки) и только потом прошёл каналы. Никто не делал свою работу в отрыве от общей картины.

Именно так это и должно функционировать. Не "сначала каналы лечим, а там посмотрим". Сначала план и только потом грамотная его реализация.

Вывод

Плохие новости. Под старой не самой качественной коронкой может скрываться что угодно - кариес, разрушение культи, периодонтит, несостоятельная пломбировка каналов. Сделать снимок КТ и явиться на очный смотр - способ увидеть то, что происходит за металлом и керамикой.

Этой пациентке повезло, она обратилась до того, как стало безнадёжно. И обратилась к тем, кто всегда горой за спасение родного.

Если у вас есть старые металлические (да и не только) коронки, установленные десять и более лет назад - стоит их проверить. И не на глаз, а с контролем и по КТ. Что там внутри - иногда, большой сюрприз. Но надо быть готовыми к тому, что всё может быть плохо. И дорого. Или и то, и другое. Но может быть и хорошо, не будем нагнетать панические настроения.

Удачи вам.

Больше терапевтических статей в подборке:

Наша терапия | Parodoctor | Дзен

Если вам интересны подобные клинические истории - подписывайтесь на канал Parodoctor в Telegram и в MAX, возможность писать комментарии открыта на всех площадках. Там я рассказываю о стоматологии без прикрас: сложные случаи, нестандартные решения и то, что остаётся за кадром обычного приёма. Именно там я отвечаю на вопросы подписчиков, привлекая к ответам врачей команды, если это требуется.

Телеграмм:

Parodoctor

МАХ:

Parodoctor

С уважением, Лежачёва Наталия Александровна, хирург-пародонтолог и главный врач стоматологии Parodent, СПб.