Добавить в корзинуПозвонить
Найти в Дзене
Parodoctor

Самый опасный канал в эндодонтии - MB2. Почему "пролеченный" ранее зуб начинает беспокоить - из 4 каналов нашли 2, микроскоп

Опять терапия, опять очень сложный зуб лечили. В последнее время именно терапия мелькает в материалах чаще других направлений. Материала интересного много, врачи охотно им делятся. Пишу, рассказываю, доношу до людей, что в Parodent врачи могут многое - мы не только мастера имплантации. С родными зубами людей работаем максимально качественно, уделяем этому направлению особое внимание. Но мы не обещаем спасти всё и всех, это был бы обман. Под прошлой статьёй кто-то написал, что мы отказали ему в лечении "такого же зуба". Если отказали - значит, зуб был не такой же. Значит, всё было понятно сразу и в лечении смысла не было. Пациент сам не может оценить, насколько разрушение фатально. Да и врач не всякий на это способен. Нужны опыт, насмотренность, годы отдалённых наблюдений - и ортопед в связке, который думает так же, как терапевт-спасатель. Только тогда "неспасаемое", иногда, превращается в "спасаемое". А ещё, будем честны, лечить такие зубы рискованно для клиники. Врач, который берётс
Оглавление

Опять терапия, опять очень сложный зуб лечили. В последнее время именно терапия мелькает в материалах чаще других направлений. Материала интересного много, врачи охотно им делятся.

Пишу, рассказываю, доношу до людей, что в Parodent врачи могут многое - мы не только мастера имплантации. С родными зубами людей работаем максимально качественно, уделяем этому направлению особое внимание.

Но мы не обещаем спасти всё и всех, это был бы обман. Под прошлой статьёй кто-то написал, что мы отказали ему в лечении "такого же зуба". Если отказали - значит, зуб был не такой же. Значит, всё было понятно сразу и в лечении смысла не было. Пациент сам не может оценить, насколько разрушение фатально. Да и врач не всякий на это способен. Нужны опыт, насмотренность, годы отдалённых наблюдений - и ортопед в связке, который думает так же, как терапевт-спасатель. Только тогда "неспасаемое", иногда, превращается в "спасаемое". А ещё, будем честны, лечить такие зубы рискованно для клиники. Врач, который берётся за подобное, должен видеть свои результаты, хотя бы, спустя три года. То есть, практиковать такой экстрим в течение долгого времени. Иначе это авантюра. И да, все такие специалисты на начальных этапах авантюристами являются. Кто-то остаётся и преуспевает, кто-то тонет в осложнениях и, надеюсь, бросает это геройство, переходя на что-то более предсказуемое.

Сегодня у меня для вас история детективная. Она про зуб с четырьмя каналами, из которых два никто не нашёл. И про один канал, на который ушёл почти час и куча испорченных инструментов. А автор работы Обмайкин Роман Юрьевич, который работает только в стоматологии Parodent и нигде более.

Пропущенный канал зуба - опасность, которую нельзя оставлять "в пациенте"

Пациентка проходит у нас лечение уже около полугода. Работа, в основном, лечебно-терапевтическя - несколько зубов уже перелечены успешно. Дошла очередь до зуба 2.7, верхней семёрки. Плановая ревизия, ничего этакого, вроде бы, нет.

Зуб до
Зуб до
Но будь всё так просто и скучно, не было бы этой статьи.

Зуб , на удивление, особо не беспокоил, периапикальных изменений, практически, нет.

Со слов пациентки, зуб лечился четыре-пять лет назад.

На первый взгляд - ничего особенного. Большая пломба, тонкие стенки, небольшой кариозный процесс под пломбой. Роман Юрьевич ещё на этапе осмотра держал в голове два сценария:

  1. Если четыре-пять лет назад просто меняли пломбу, но каналы не трогали. Тогда внутри будет нерентгеноконтрастный цемент и, если никаких запахов и тревожных признаков не будет, тогда убираем кариес, делаем билдап под коронку. На этом всё.
  2. Каналы всё-таки пытались лечить. Нашли не все, а те, что нашли - запломбировали. В тех, что не нашли и оставили - внутри инфекция, которая тихо делает своё пагубное дело. И вот в этом случае уже требуется полноценное перелечивание.

Чтобы понять, какой сценарий нас ожидает, нужно убрать пломбу, убрать кариес и открыть дно полости зуба.

Всё сделали. Стало ясно сразу, что тут победил второй сценарий.

Пропущенные каналы зуба

У этого зуба определяются четыре канала. Нёбный и первый медиально-щёчный - были ранее найдены и запломбированы. Два других - не найдены вовсе.

Но даже то, что было запломбировано, вызывало вопросы. Пломбировка мягкая, несостоятельная. И запах. Тот самый, который опытный эндодонтист чувствует сразу и который говорит чётко - органика внутри канала "гниёт", инфекция "размножается" усердно.

Сделали доступ к каналам:

Доступ к каналам
Доступ к каналам

Нёбный канал розоватый - это гуттаперча, ранее пройденый и запломбированный канал. Начало распломбировки:

Начало распломбировки каналов
Начало распломбировки каналов

Дистально-щёчный канал - белая стружка, никакой гуттаперчи в канале нет. Всё просто - это не найденный канал, не пройденный, не обработанный. Цвет стружки различается, как различается вмешательство в каналы. Продолжаем внедряться в каналы, "грязь":

Гнойное отделяемое
Гнойное отделяемое

Гипохлорит при введении его в каналы отреагировал бурно. Органики было много, очень много.

Три основных канала прошли относительно легко. А потом начался тот самый, ради которого и статья была написана - четвёртый.

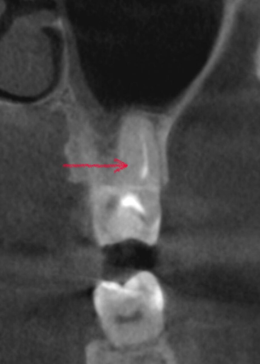
MB2 - канал, который есть, но которого как будто нет

Второй медиально-щёчный канал (MB2) - особая история в эндодонтии. Его ищут, пропускают, о нём спорят и кричат. И именно он чаще всего оказывается причиной того, почему "пролеченный" ранее зуб через несколько лет снова начинает беспокоить.

В этом случае MB2 имел самостоятельное начало и самостоятельный конец. Не сливался с первым щёчным, не сходился с ним - он шёл своим путём. Оставить его необработанным было нельзя. А оработать такое - квест.

Найти вход, знаете ли, это ещё полдела, даже 1/3 успеха. На фотографии под микроскопом вход виден - небольшое тёмное устье, отдельное от остальных:

Вход в MB2 канал
Вход в MB2 канал

Нашли.

Но только дальше начался настоящий детектив.

Час на распломбировку одного канала, куча испорченых инструментов и изгиб, который стал проблемой

MB2 - о, это не просто узкий мелкий канал. Это канал с изгибом! Почти всегда - резким, дерзким, в самом начале, там, где инструмент только начинает свой путь.

Именно этот изгиб делает MB2 одним из самых опасных каналов в эндодонтии.

Ручные инструменты не могут пройти сам изгиб - они слишком жёсткие, упираются в стенки. Машинные применять сразу опасно - одно неверное движение и инструмент сломается внутри канала, или уйдёт не туда, создавая ступеньку или перфорацию. А если машинный файл сломается в канале с таким изгибом - достать его будет крайне сложно или даже невозможно.

Виден изгиб, ведущий в МВ2:

Изгиб, ведущий в MB2 канал
Изгиб, ведущий в MB2 канал

Роман Юрьевич начал работу ручными инструментами. Снова и снова заходил в канал, меняя угол, нащупывая ход.

Изгиб канала в микроскоп
Изгиб канала в микроскоп

Инструменты деформировались и их выбрасывали сразу же при первых признаках изменения формы. Сломанный файл в канале - это отдельная история, которая никому не нужна. Поэтому не существует в этом деле экономии и риска, никаких "ещё разочек зайду и выброшу". Деформировался инструмент - сразу в мусор.

Деформированный ручной файл
Деформированный ручной файл

Прошло почти 40 минут, а канал окончательной пройдён не был. .

Машинными файлами можно работать только тогда, когда ручными уже обеспечена проходимость. Это правило, которое не обсуждается. Иначе обеспечены сюрпризы, которых никто не ждёт.

И вот, спустя почти час, после нескольких сломанных и выброшенных инструментов - канал пройден!

На финальных Rg снмках видно, что все четыре канала обработаны:

MB1 и MB2 идут отдельно, каждый своим ходом. На снимке видим длинные каналы, очень длинные корни. Семёрка стоит далеко, работа велась с коффердамом (обязательно) - выполнить прицельный рентгенологический снимок так, чтобы все верхушки были видны на одном кадре, весма непросто. Два снимка добавляю, на одном хорошо видны ходы MB1 и MB2, на другом - верхушки. Вместе они дают полную картину.

Восстановлены стенки зуба:

Восстановлены стенки
Восстановлены стенки

Каналы промыты, просушены:

Высушено всё
Высушено всё

Поставлен кальцийсодержащий препарат:

Кальцийсодержащий препарат
Кальцийсодержащий препарат

Дистальную стенку восстановим на втором приёме, сейчас времени уже не оставалось. Целых два с половиной часа работы.

Временная пломба
Временная пломба

Зуб 100% спасён.

Почему нельзя работать деформированным инструментом

Выше было фото файла после работы в канале. Видны следы деформации - раскручивание, скручивание металла. Инструмент, который выглядит таким образом - уже не инструмент, а опасность. Это потенциальный обломок внутри канала.

Именно поэтому в нашей работе действует жёсткое правило - при первых признаках деформации инструменты идут в мусор без сожалений. Стоимость файла несопоставима со стоимостью осложнения.

И именно поэтому машинные инструменты входят в канал только тогда, когда ручными уже обеспечена проходимость. Не раньше.

Этот случай Роман Юрьевич назвал одним из самых непростых MB2 за последнее время.

Вывод

Пациентка лечила этот зуб несколько лет назад. Ушла с двумя запломбированными каналами из четырёх, а два других не нашли. Возможно, не знали, что искать. Возможно, не было увеличения. Возможно, решили, что и так сойдёт. Неизвестно, что там было на самом деле.

Но зуб подобного не прощает. Вернее, не прощают бактерии, питающиеся разлагающейся органикой в канале.

Именно поэтому перелечивание каналов - это не "сделать то же самое заново". Это найти и пройти, отмыть то, что пропустили. Нужно убедиться, что внутри не осталось ни одного необработанного канала.

Для этого нужен микроскоп, опыт. Нужна готовность потратить час на один канал и, при этом при всём, не сдаться. Нужно не жалеть инструменты.

Второй приём уже назначен и зуб будет восстановлен полностью - с подключением ортопеда, конечно же.

Больше материалов по терапии:

Наша терапия | Parodoctor | Дзен

Если вам интересны подобные клинические истории - подписывайтесь на канал Parodoctor в Telegram и в MAX, возможность писать комментарии открыта на всех площадках. Там я рассказываю о стоматологии без прикрас: сложные случаи, нестандартные решения и то, что остаётся за кадром обычного приёма. Именно там я отвечаю на вопросы подписчиков, привлекая к ответам врачей команды, если это требуется.

Телеграмм:

Parodoctor

МАХ:

Parodoctor

С уважением, Лежачёва Наталия Александровна, хирург-пародонтолог и главный врач стоматологии Parodent, СПб.