Добавить в корзинуПозвонить
Найти в Дзене

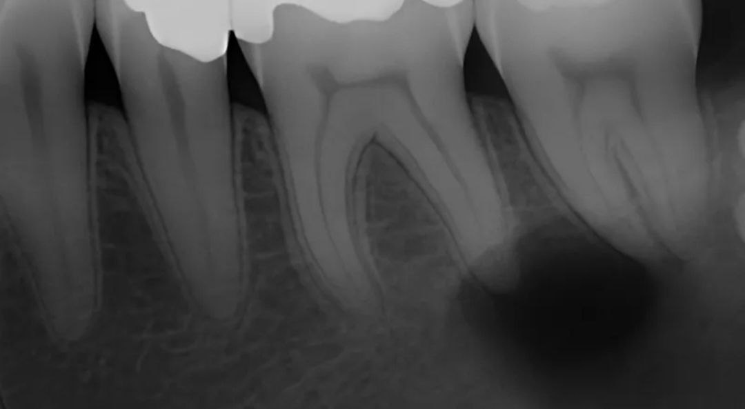
Киста

Киста под зубом — это доброкачественное образование в костной ткани челюсти, заполненное жидкостью. Она образуется у верхушки корня зуба как защитная реакция организма на инфекцию. Основная причина: инфекция попадает в корневые каналы (через невылеченный кариес, пульпит, травму) и организм отделяет очаг воспаления плотной капсулой. Долгое время киста развивается бессимптомно В период обострения проявляется следующими симптомами: -боль при надкусывании - покраснение и припухлость десны, - увеличение высоты зуба - возможно повышение температуры. Киста постепенно разрушает кость, может привести потере зуба или распространению инфекции в другие органы и ткани. Как правило кисту лечат аще хирургически - удаление вместе с верхушкой корня или резекция корня. Если же зуб сильно разрушен, показано удаление зуба с очищением полости. Если Вы заметили шишку на десне или боль при нажатии на зуб, необходимо немедленно записаться к специалисту. А чтобы предотвратить развитие различных заболева

Киста

Киста под зубом — это доброкачественное образование в костной ткани челюсти, заполненное жидкостью. Она образуется у верхушки корня зуба как защитная реакция организма на инфекцию.

Основная причина: инфекция попадает в корневые каналы (через невылеченный кариес, пульпит, травму) и организм отделяет очаг воспаления плотной капсулой.

Долгое время киста развивается бессимптомно

В период обострения проявляется следующими симптомами:

-боль при надкусывании

- покраснение и припухлость десны,

- увеличение высоты зуба

- возможно повышение температуры.

Киста постепенно разрушает кость, может привести потере зуба или распространению инфекции в другие органы и ткани.

Как правило кисту лечат аще хирургически - удаление вместе с верхушкой корня или резекция корня.

Если же зуб сильно разрушен, показано удаление зуба с очищением полости.

Если Вы заметили шишку на десне или боль при нажатии на зуб, необходимо немедленно записаться к специалисту.

А чтобы предотвратить развитие различных заболеваний полости рта, планово посещайте контрольные осмотры.

Для записи на консультацию звоните по тел.:

+7-911-92-77-585

Также напоминаем, что у нас есть группы в ВК https://vk.ru/wwstom

и инстаграм https://www.instagram.com/white_wave_stomatology?igsh=cWlqOXJjeWd0bXNm&utm_source=qr