Добавить в корзинуПозвонить
Найти в Дзене
Parodoctor

Три года в брекетах вместо положенных полутора - расплата за особое видение эстетики со стороны пациентов

Сложно поверить в то, что некоторые пациенты не сильно желают расставаться с брекет-системой через полтора года и коррекция затягивается существенно. Раза в два - ага, невероятно. Есть лечение, которое заканчивается тогда, когда заканчивается - и причина не в том, что что-то пошло не так с зубами, суставами, костями. Всё хорошо и всё физиологичо. Но. Есть нюансы другого рода. Этот случай - про нюансы. Про то, что в стоматологии существует объективная реальность и существует субъективное восприятие. И вот это самое субъективное может тянуть за собой серьёзные временные дополнения - лишних полтора года ношения брекет-системы, как вариант. Можно и больше. Но точно не нужно. Клинический случай ведёт Снитковая Ксения Владимировна, ортодонт стоматологии Parodent. Прежде чем перейти непосредственно к клиническому случаю, напишу несколько слов о том, как вообще формируются сроки ортодонтического лечения. Срок ортодонтического лечения - это не произвольная цифра, которую врач берёт из воздух
Оглавление

Сложно поверить в то, что некоторые пациенты не сильно желают расставаться с брекет-системой через полтора года и коррекция затягивается существенно. Раза в два - ага, невероятно.

Есть лечение, которое заканчивается тогда, когда заканчивается - и причина не в том, что что-то пошло не так с зубами, суставами, костями. Всё хорошо и всё физиологичо. Но. Есть нюансы другого рода.

Этот случай - про нюансы. Про то, что в стоматологии существует объективная реальность и существует субъективное восприятие. И вот это самое субъективное может тянуть за собой серьёзные временные дополнения - лишних полтора года ношения брекет-системы, как вариант. Можно и больше. Но точно не нужно.

Клинический случай ведёт Снитковая Ксения Владимировна, ортодонт стоматологии Parodent.

Исправление прикуса на брекет-системе - сколько модет занимать реальное лечение

Прежде чем перейти непосредственно к клиническому случаю, напишу несколько слов о том, как вообще формируются сроки ортодонтического лечения.

Срок ортодонтического лечения - это не произвольная цифра, которую врач берёт из воздуха. Это расчёт - насколько нужно переместить зубы, насколько сложен прикус, есть ли скелетный компонент, требуется ли допаппаратура, нужна ли хирургия. Для большинства случаев это полтора-два года. Когда прикус исправлен, смыкание физиологичное, зубы находятся там, где должны - коррекция окончена. Дальше аппаратура снимается, наступает этап ретенции.

Но, иногда, между "физиологически и клинически правильно" и "устраивает пациента" пропасть.

Субъективное восприятие, оно такое. И именно коррекция на брекет-системе более подвержена попаданию в подобную петлю - нет орто-чека, пациент до лечения не видит предполагемый результат, как происходит при планировании коррекции на элайнерах ("мультик" на обсуждении элайнеров очень показателен и на этом этапе пациент может просить врача внести визуальные коррективы на свой вкус - если это, конечно же, не противоречет физиологии).

Клинический случай - сужение челюстей, глубокое перекрытие и особенности эмали

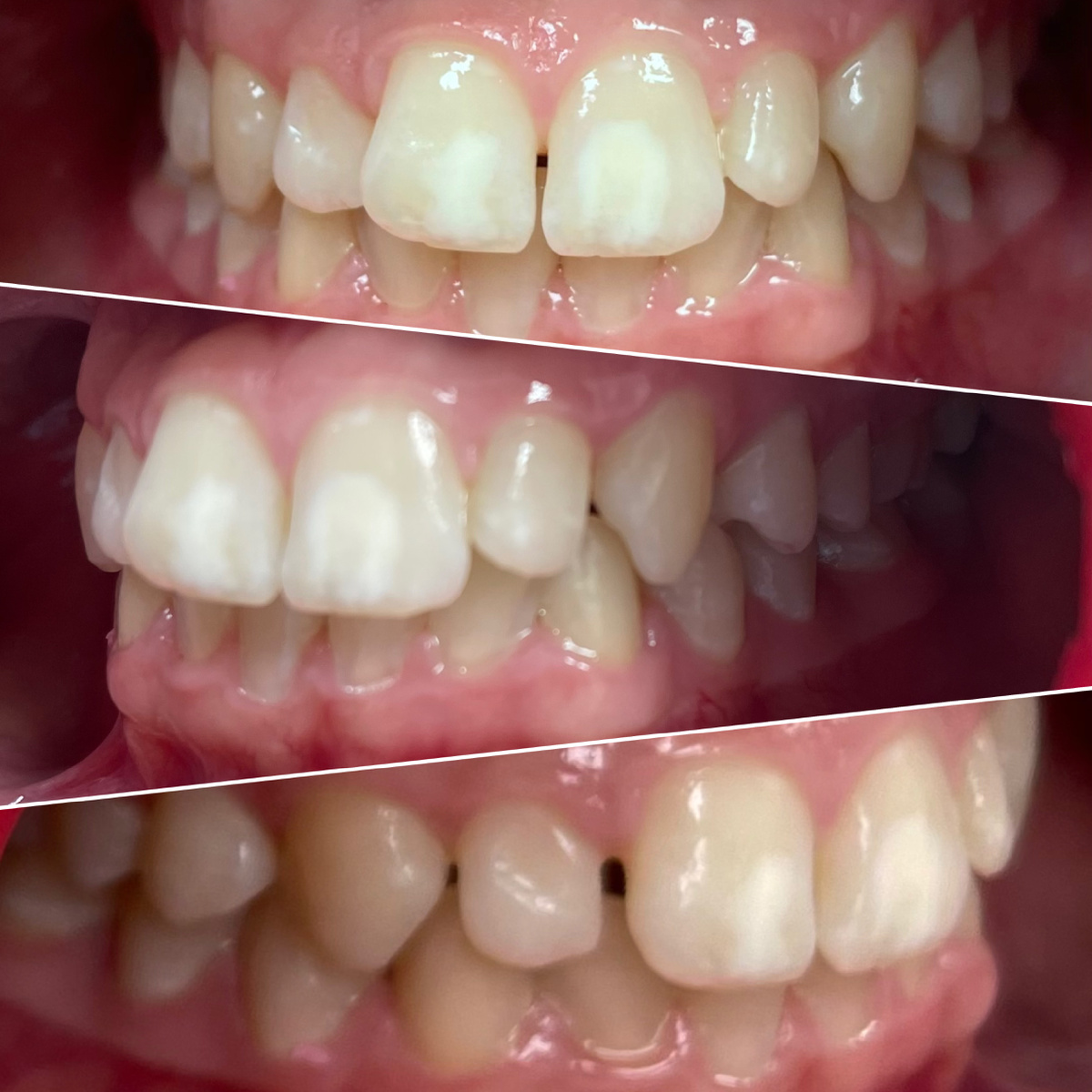
Пациентка - молодая девочка.

Пациентка до коррекции прикуса на брекет-системе
Пациентка до коррекции прикуса на брекет-системе

Начинала лечение в другой клинике с Ксенией Владимировной, в Parodent перешла за своим лечащим врачом. Дальше передаю слово Ксении Владимировне:

"Изначалально наблюдалось сужение верхней и нижней челюсти, глубокое резцовое перекрытие. Зубы, грубо говоря, торчали вперёд. Плюс - большие меловидные пятна на эмали, гипоплазия.

-2

Верх/низ:

-3

С пятнами всегда вопрос возникает у пациентов - что с ними будет под брекетами спустя время? Если зубы хорошо почистить перед установкой и хорошо чистить во время ношения - пятна не усугубляются, кариес не появляется, проблем нет. Так и вышло в данном случае - они остались такими же, какими были до коррекции. Гигиена - вот залог успеха. Брекеты зубы не портят, сами по себе. Точно так же, как и любая другая современная ортодонтическая аппаратура.

Справа смыкание было более-менее. Слева - клык попадал на клык, бугорковое соотношение.

-4

Это неправильно, левая сторона истиралась бы быстрее правой, возник бы перекос прикуса.

Чо сделали? Расширили обе дуги, верхняя челюсть до и после:

-5

Нижняя челюсть до и после:

-6

Развернули все зубы правильным образом, добились физиологичного смыкания:

Правая сторона
Правая сторона
Левая сторона
Левая сторона

Результат - широкая дуга улыбки, нет чёрных коридоров, красивый торк зубов:

-9

Всё лечение надо было проводить полтора года, прикус не сложный. Полтора - не больше».

Но, как вы понимаете, вышло далеко не полтора.

Три года в брекетах вместо полутора лет - почему так получилось

Через полтора года прикус был физиологически исправлен, функция восстановлена. Оставались детали эстетики - то, что можно назвать "вкусовщиной". Не хуже и не лучше - просто чуть иначе, чем виделось маме пациентки.

Она имела своё понимание прекрасного. Чёткое, подробное и не всегда совпадающее с предыдущим. Пациентка, молодая девушка, маме особо не сопротивлялась. Ксения Владимировна исполняла все пожелания - те, которые не влияли на функцию. А влияющих после первых 1.5 лет уже и не оставалось.

Сделает так, как просили - в следующий раз хочется по-другому. Переделает - нуууу, надо бы ещё чуть подправить. И так - много раз, на протяжении долгого времени. Туда-сюда, так и эдак.

Казалось врачу, что финиша не будет никогда.

Я не буду никого осуждать. Желание матери видеть идеальную улыбку у дочери - понятное человеческое желание. Но есть нюанс.

Объективность и субъективное восприятие в ортодонтии - тонкая граница

В ортодонтии, как и в ортопедии, существует любопытный феномен.

Пациент говорит, что наклон одного зуба - чуть-чуть не такой. Чууууть-чуть. Врач смотрит объективно: допустим, в данном конкретном случае всё в норме, отклонений нет. Но принимает правила игры и переставляет дугу - на точно такую же меняет. По факту, ничего не меняется. Но пациент смотрит на себя в зеркало и говорит, что теперь-то всё хорошо и всё так, как ему надо.

В ортопедии то же самое. Пациент недоволен тем, как преломляется свет на временной коронке. Врач снимает коронки, даёт человеку перевести дух, что-то там "дорабатывает". Пауза, потом снова примерка. Пациент смотрит в зеркало, крутит головой, присматривается. И опять такая же история - либо он забывает, какой зуб был "не таким", либо теперь всё хорошо и свет преломляется так, как требуется.

Это не обман и не манипуляция. Это особенность восприятия. Глаз устаёт, фиксируется на детали, начинает видеть проблему там, где её нет. Пауза - и восприятие сбрасывается. Если, конечно, дефект в реальности отсутствует. Убеждать пациента, что всё так, когда на самом деле не так - неправильно. Так делать не стоит.

Рботать с особенностями психики можно, стоматологи умеют подстраиваться под безобидные нюансы и не должны идти на поводу в более серьёзных моментах, которые могут повлиять на здоровье пациента.

Но лучше уметь распознавать подобное "с порога" и, буду предельно откровенна" - не брать в работу.

Что важно обсудить до начала ортодонтического лечения

Именно поэтому сегодня мы очень критично относимся к входящему потоку пациентов. Не потому что не хотим работать, а потому что хотим работать хорошо и завершать лечение тогда, когда оно клинически завершено, а не тогда, когда иссякнет фантазия относительно деталей.

И у всего есть мера ведь. Ксения Владимировна точно относится мною к разряду перфекционистов, она сама предложит исправить недочёт коррекции, если он остаётся - проверено. Абы как - не наша история. Но вот иногда "перфекционизм" пациентов чрезмерен. Важно остаться друзьями, считаю. Никакого противоборства - если нужно, всё исправим и поправим. Куда деваться с подводной лодки.

Если пациент (или его родители) имеют специфические эстетические ожидания - это нужно постараться проговорить сразу, до начала установки аппаратуры. Показать на примерах, объяснить границы возможного, зафиксировать понимание. Отказать пациентам на середине лечения нельзя, это адекватная позиция клиники и врача. Остаётся только надеяться на понимание и делать то, что не переходит за грани разумного (физиологичного).

В этом же случае всё было честно. Ксения Владимировна выполняла каждую просьбу, которая не шла во вред. Никто не был обижен, никто не остался неуслышанным. Просто лечение, которое должно было занять полтора года, растянулось почти на три.

Хорошая новость - зубы выдержали и урона не случилось!

Всё это время зубы вели себя достойно.

Эмаль с гипоплазией - состояние не усугубилась. Дёсны и костная ткань остались в первозданном виде. Корни не резорбировались.

ОПТГ из КТ перед снятием брекет-системы
ОПТГ из КТ перед снятием брекет-системы

Суставы не пострадали. Прикус исправлен хорошо, получилась широкая дуга улыбки, правильный торк, нет чёрных коридоров, смыкание симметричное.

Результат пациентку и её маму устроил. К ортодонту претензий не осталось. Все были услышаны в полной мере и многократно.

Это, пожалуй, и есть профессионализм - сохранять спокойствие, продолжать работать качественно и не "отфутболивать" пациентов, которых уже взял в работу и пообещал довести до качественного результата.

Вывод

Ортодонтическое лечение - это полноценное партнёрство. Врач делает свою часть работы - проводит расчёты и составляет грамотный план лечения, двигает зубы, контролирует результат. Пациент делает свою - носит аппаратуру, соблюдает гигиену, приходит на приёмы и, что очень и очень важно, доверяет врачу.

Когда прикус исправлен клинически, когда функция восстановлена и зубы стоят правильно - это финиш физиологической части. Дальнейшие поправки "под вкус пациента" - это уже эстетика.

С элайнерами проще - орто-чек ("мультик") разбирается с пациентом перед запуском печати кап и есть вариант обсудить все детали эстетики заранее.

Этот случай закончился хорошо. Зубы целы, прикус правильный, улыбка красивая, пациентка счастивая.

-11

Просто путь к этому был длиннее, чем мог бы быть. Но, если пациентку это устраивало, считаю, что проблем нет.

Больше ортодонтических материалов в подборке:

Ортодонтические варианты | Parodoctor | Дзен

Если вам интересны подобные клинические истории - подписывайтесь на канал Parodoctor в Telegram и в MAX, возможность писать комментарии открыта на всех площадках. Там я рассказываю о стоматологии без прикрас: сложные случаи, нестандартные решения и то, что остаётся за кадром обычного приёма. Именно там я отвечаю на вопросы подписчиков, привлекая к ответам врачей команды, если это требуется.

Телеграмм:

Parodoctor

МАХ:

Parodoctor

С уважением, Лежачёва Наталия Александровна, хирург-пародонтолог и главный врач стоматологии Parodent, СПб.