Добавить в корзинуПозвонить
Найти в Дзене
Parodoctor

Зуб сгнил под старой коронкой и остался лишь "пенёк" - диагностическое вскрытие, обломок инструмента в канале, периодонтит. Лечение

А надо ли вообще публиковать такой материал? Долго думали все причастные, боялись последствий. Не потому что лечение неудачное, вовсе нет. Просто всё тут на грани фола. А статьи, как нам уже известно, притягивают похожие случаи и летят со всех краёв в Parodent письма от страждущих. Нужен ли нам поток пациентов с такими зубами? Если честно - не очень. Когда полно зубов сложных, но определённо перспективных, зачем нам связываться с зубами смутными, максимально трудоёмкими, переживательными и заставляющими попотеть в течение долгого времени команду врачей? Но будь что будет - решила я. Всё это тоже для чего-то нужно. По сути, такие случаи показывают, что мы не лыком шиты, что компетенция имеется уровня высокого. Вдумчиво, с уважением к каждому зубу, который ещё можно попытаться сохранить - вот как мы работаем. Клинический случай Обмайкина Романа Юрьевича, терапевта стоматологической клиники Parodent, мастера по сложному перелечиванию зубов Когда пациентка пришла на первичную консультац
Оглавление

А надо ли вообще публиковать такой материал? Долго думали все причастные, боялись последствий.

Не потому что лечение неудачное, вовсе нет. Просто всё тут на грани фола. А статьи, как нам уже известно, притягивают похожие случаи и летят со всех краёв в Parodent письма от страждущих. Нужен ли нам поток пациентов с такими зубами? Если честно - не очень.

Когда полно зубов сложных, но определённо перспективных, зачем нам связываться с зубами смутными, максимально трудоёмкими, переживательными и заставляющими попотеть в течение долгого времени команду врачей?

Но будь что будет - решила я. Всё это тоже для чего-то нужно. По сути, такие случаи показывают, что мы не лыком шиты, что компетенция имеется уровня высокого. Вдумчиво, с уважением к каждому зубу, который ещё можно попытаться сохранить - вот как мы работаем.

Клинический случай Обмайкина Романа Юрьевича, терапевта стоматологической клиники Parodent, мастера по сложному перелечиванию зубов

Комплексная реабилитация зубов - когда сохранить родное сложнее, чем удалить и поставить импланты

Когда пациентка пришла на первичную консультацию, то картина была такой, что один из вариантов лечения звучал как "хирургическо-ортопедический тотал" - удалить всё и начать с нуля на имплантатах.

Состояние до лечения
Состояние до лечения

Но пациентке ещё нет и 50 лет. Зубов, которые можно сохранить, заморочившись с каналами, восстановлением и коронками - достаточно много. Да, это сложно, долго и дорого. Но путь был выбран именно этот - спасаем родное.

Я всегда говорю и буду говорить - родной зуб, который можно качественно вылечить и который можно во рту "применить" адекватно, не помешав комплексной реабилитации, всегда ценнее любого имплантата. И даже спорить со мной бесполезно.

Уже больше года идёт планомерная работа - терапевтическая подготовка, хирургия, ортопедия, имплантация. Третий сегмент (нижняя челюсть, левая сторона) восстановлен, там уже стоят коронки на имплантах.

Имплантаты и коронки на них в 3 сегменте
Имплантаты и коронки на них в 3 сегменте

Сейчас работаем во втором сегменте - верхняя челюсть слева.

И вот здесь вашему вниманию предстаёт он - тот самый зуб 2.7:

2.7 и 2.6 до
2.7 и 2.6 до

Кариес под коронкой зуба - старые металлические "мосты" разрушают зубы изнутри

Во рту у пациентки находится много старых мостовидных протезов. Металлические штампованные коронки, несостоятельное краевое прилегание, зазоры между коронкой и зубом, в которые годами проникали микробы и слюна. Под каждой такой коронкой - своя жизнь кипит и своя история разрушения ей присуща.

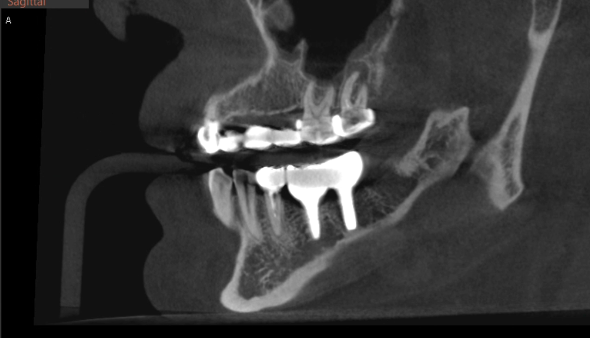
Сняли старую металлическую коронку с зуба 2.7, с верхней семёрки. То, что открылось, было предсказуемо плохим (на фото выше можно наблюдать) - зуб очень сильно разрушен, стенок практически нет, корень поражён кариесом, фуркация (место в кости, где корни расходятся) тоже пострадала:

КТ 2.7 зуба до лечения
КТ 2.7 зуба до лечения

Печально, что тканей осталось мало.

Фуркация - особая зона. Когда она вовлечена в патологический процесс, прогноз зуба резко ухудшается. В домашних условиях фуркационную зону, практически, не очистить качественно. Это означает риски для кости, связанные с микробной биоплёнкой.

Ортопедический прогноз у зуба откровенно сомнительный. Долго Роман Юрьевич консультировался с ортопедом клиники Мингияном Юрьевичем, крепко думали врачи - оставлять или удалять? Решили не торопиться - сделать диагностическое препарирование и посмотреть, что там на самом деле с зубом происходит. Иногда реальность оказывается чуть лучше и перспективнее, чем показывает снимок рентгенологический.

Удалять или сохранять зуб - диагностическое препарирование даёт ответ

Убрали кариес:

Убрали кариес
Убрали кариес

Роман Юрьевич постоянно звал Мингияна Юрьевича (благо, есть у них дни совпадения смен) - решение принималось совместно, в режиме реального времени, глядя на то, какая картина открывается при препарировании.

В реальности всё оказалось немного лучше, чем выглядело на КТ. Не прям хорошо - но лучше, чем могло бы быть.

Это важный нюанс - рентген не всегда передаёт реальный объём сохранившихся тканей. Иногда в плюс, иногда в минус. Здесь - в плюс.

И вот здесь хочу углубиться в один очень важный момент.

Обмайкин (терапевт) постоянно звал Нохаева (ортопед). Потому что решение по сохранению зуба принималось совместно - даже если терапевт отдельно скажет, что зуб вылечить он может, то без ортопеда вся эта работа пойдёт коту под хвост. Для таких случаев нужна КОМАНДА очень опытных, талантливых, "зубоспасительных" специалистов, которые друг с другом уже сработались и которые ГОТОВЫ спасать "неспасуемое" совместными усилиями.

Считаю, что связка Обмайкин + Нохаев - уникальна. Они были сведены в стенах одной клиники счастливым провидением , чтобы спасать тысячи зубов пациентов так, как это мало кто бы решился сделать. Вот уж где реально работает фраза "проще удалить".

Между тем, для зуба наметились два сценария:

  1. Восстанавливаем зуб, лечим каналы, ставим одиночную коронку, наблюдаем. Если зуб держится — он служит. Если фуркация со временем себя проявит — переходим к радикальным мерам.
  2. Даже если зуб в итоге не сохранится, проведённое лечение не будет напрасным. Периодонтит уйдёт, кость восстановится и тогда можно будет пойти по пути одномоментной имплантации в уже здоровой кости.

Оба варианта рабочие. Пошли по первому, но с готовностью в любой момент переключиться на второй.

Перелечивание каналов зуба с микроскопом - рыхлая пломбировка, периодонтит и сломанный инструмент внутри

Зуб ранее был эндодонтически пролечен. Каналы запломбированы, но рыхло, нет должной плотности. Исключением был нёбный канал - он запломбирован более-менее прилично и именно на нём не было периапикальных изменений.

Остальные каналы - совсем другая история. Годы подтекания ротовой жидкости под коронку, проникновение микробов, большое количество органики внутри.

Для начала Роман Юрьевич восстановил стенки зуба, получилось это сделать, качественно изолировав зуб от полости рта (слюны и крови):

Восстановлены стенки зуба
Восстановлены стенки зуба

Далее началась распломбировка каналов (фото с микроскопа):

Начало распломбировки каналов
Начало распломбировки каналов

Органика, грязь:

Органика в канале (быть её там не должно)
Органика в канале (быть её там не должно)

Гипохлорит при введении его в каналы реагировал бурно и активно что, как ни парадоксально, хороший знак. Чем ярче реакция, тем больше "гадости" в канале. Значит, причину периодонтита убрать несложно - органика есть, гипохлорит работает.

Добились прозрачности гипохлорита:

Гипохлорит прозрачен, органика устранена
Гипохлорит прозрачен, органика устранена

Снимок с инструментами в канале:

Фрагмент сломанного инструмента в нёбном корне
Фрагмент сломанного инструмента в нёбном корне

Можно заметить фрагмент файла, оставшийся после прошлого лечения. Доставать его Роман Юрьевич не стал, так как нет периодонтита на нёбном корне, корни и каналы очень короткие и широкие, при попытках добыть сломанный фрагмент можно очень легко и просто разворошить верхушку корня - а, так как у зуба и так тканей родных осталось с воробьиный клюв, то лучше этого не делать. Это важно.

Сухие каналы:

Каласепт:

-12

Временная пломба:

Временная пломба
Временная пломба

Старый мост ортопед Нохаев зафиксировал обратно до лечения 1.6 и 1.2 зубов.

Первое посещение закончено.

На втором посещении проведено повторное промывание и пломбировка каналов гуттаперчей, на дно истончённой фуркации перекрыли СИЦ (стеклоиономерным цементом):

Каналы запломбированы гуттаперчей, в зоне трифуркации СИЦ
Каналы запломбированы гуттаперчей, в зоне трифуркации СИЦ

Почему не композит? У стеклоиономера другие свойства - он химически связывается с тканями зуба, выделяет фтор, лучше переносит влажную среду. В зоне, где прогноз и без того сомнительный, это максимум из доступных инструментов для улучшения ситуации.

Не гарантия успеха. Но всё, что можно было сделать в данной ситуации - сделали.

Итог двух визитов - каналы запломбированы, стенки восстановлены, сделан билдап со стекловолоконным штифтом:

-15

И контрольный снимок с пломбировкой каналов (и СВШ):

Итоговая пломбировка, СВШ в канале
Итоговая пломбировка, СВШ в канале

Зуб уйдёт под временную коронку длительного ношения - чтобы было смыкание с уже запротезированным третьим сегментом.

Временная коронка на зуб после лечения каналов - зачем требуется наблюдение и как долго оно длится

Дальнейший путь на ближайшую перспективу - наблюдение. Через год станет ясно, по какому сценарию идёт история этого зуба.

Если зуб продержится без негативных последствий, зона фуркации не усугубит своё состояние, периодонтит заживёт - будет постоянная коронка и жизнь продолжаится дальше с родным зубом. Если фуркация даст о себе знать - тогда, как минимум, кость восстановится и можно будет работать с имплантацией в полноценных тканях.

Прогноз, конечно, несколько сомнительный, но не безнадёжный. Именно поэтому такой план и имеет смысл - мы не делаем вид, что всё будет хорошо. Мы делаем всё возможное и честно ведём наблюдаем. Наше лечение, в любом случае, улучшает ситуацию с зубом и костью.

Вывод

Этот случай является хорошей иллюстрацией того, как на самом деле выглядит серьёзное комплексное лечение, пусть и на примере одного зуба.

Здесь не было единого решения, принятого на первом осмотре. Было привлечено несколько врачей, проведено несколько консилиумов, выполнено диагностическое препарирование вместо категорического приговора зубу. Было принято рациональное решение не трогать фрагмент чужого сломанного в канале инструмента - потому что это принесло бы больше вреда, чем пользы. Был стеклоиономер в слабом месте. Прежде, чем решать окончательную судьбу зуба, должен пройти год наблюдений.

Именно так и работает вдумчивая стоматология. Не быстро, не эффектно, но с пониманием того, что происходит и зачем вообще всё это надо.

Мы не знаем ещё, чем закончится эта история и я пишу об этом честно. Но мы знаем, что сделали для этого зуба всё, что было возможно. Остальное - время покажет.

А как же поток пациентов с такими зубами? Что ж. Будь что будет.

Больше наших терапевтических материалов:

Наша терапия | Parodoctor | Дзен

Если вам интересны подобные клинические истории - подписывайтесь на канал Parodoctor в Telegram и в MAX, возможность писать комментарии открыта на всех площадках. Там я рассказываю о стоматологии без прикрас: сложные случаи, нестандартные решения и то, что остаётся за кадром обычного приёма. Именно там я отвечаю на вопросы подписчиков, привлекая к ответам врачей команды, если это требуется.

Телеграмм:

Parodoctor

МАХ:

Parodoctor

С уважением, Лежачёва Наталия Александровна, хирург-пародонтолог и главный врач стоматологии Parodent, СПб.