Добавить в корзинуПозвонить
Найти в Дзене

7 вещей, которые советские люди делали тайно — и это было нормой

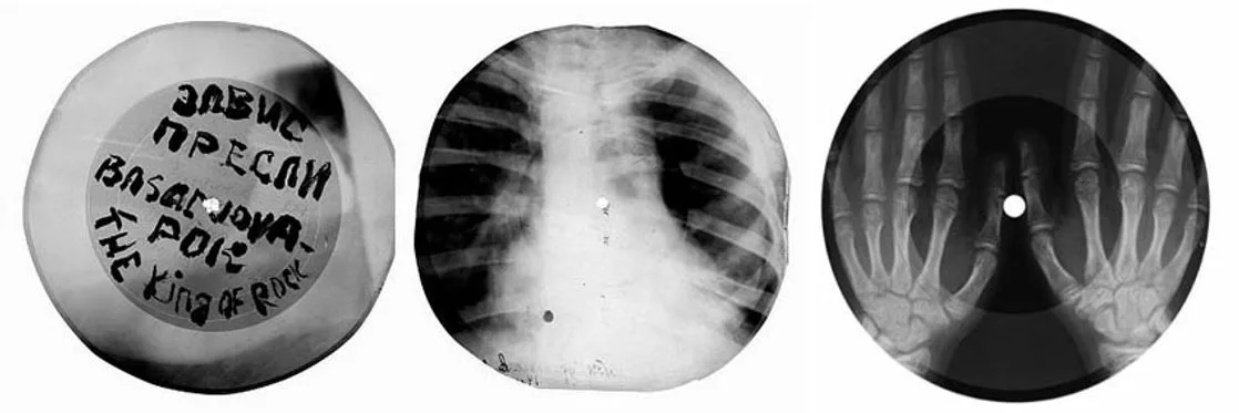
Советский человек жил двойной жизнью. Не потому что был лицемером. Просто иначе не получалось. На работе — один. Дома — другой. На партсобрании говорил одно, за кухонным столом — совсем другое. И все вокруг делали то же самое. Это не считалось ложью. Это называлось здравым смыслом. Вот семь вещей, которые советские люди делали тайно — и которые были настолько распространены, что превратились в негласную норму жизни. В 1950-е годы джаз, рок-н-ролл и западная эстрада были под запретом или жёстко ограничены. Виниловых пластинок с Элвисом или Биллом Хейли в СССР не существовало легально. Тогда появились «записи на костях» — или «рёбра». Умельцы брали использованные рентгеновские снимки — их можно было достать в больницах, они шли в утиль — и на специально переделанных станках нарезали на них звуковые дорожки. Снимок чужого лёгкого или чьей-то сломанной руки превращался в носитель с Чаком Берри или Дюком Эллингтоном. Качество было ужасным. Пластинка хватала на 10–15 прослушиваний, потом раз
Оглавление

Советский человек жил двойной жизнью. Не потому что был лицемером. Просто иначе не получалось.

На работе — один. Дома — другой. На партсобрании говорил одно, за кухонным столом — совсем другое. И все вокруг делали то же самое. Это не считалось ложью. Это называлось здравым смыслом.

Вот семь вещей, которые советские люди делали тайно — и которые были настолько распространены, что превратились в негласную норму жизни.

1. Слушали западную музыку на самодельных пластинках из рентгеновских снимков

В 1950-е годы джаз, рок-н-ролл и западная эстрада были под запретом или жёстко ограничены. Виниловых пластинок с Элвисом или Биллом Хейли в СССР не существовало легально.

Тогда появились «записи на костях» — или «рёбра». Умельцы брали использованные рентгеновские снимки — их можно было достать в больницах, они шли в утиль — и на специально переделанных станках нарезали на них звуковые дорожки. Снимок чужого лёгкого или чьей-то сломанной руки превращался в носитель с Чаком Берри или Дюком Эллингтоном.

Качество было ужасным. Пластинка хватала на 10–15 прослушиваний, потом разрушалась. Но она стоила рубль-полтора — и расходилась по всей стране.

КГБ знал об этом. Периодически устраивал облавы. Но полностью задавить не мог — слишком массово, слишком изобретательно.

«записи на костях»
«записи на костях»

Когда в 1960-е запреты немного ослабли, «рёбра» стали исчезать. Но поколение, выросшее на рентгеновском Элвисе, осталось.

2. Держали иконы за шкафом или в чулане

Официально религия в СССР была отделена от государства. Неофициально — партийный работник с иконой в красном углу рисковал карьерой. Крещение ребёнка могло стоить отцу места в парткоме. В 1930-е за это сажали.

Но иконы никуда не делись. Их прятали — за шкаф, в чулан, под матрас, в нижний ящик комода. Бабушки тайком крестили внуков — без ведома родителей, которые были в партии и рисковали.

Социолог Николай Митрохин, исследовавший религиозность в позднем СССР, описывал типичную картину: в городской квартире 1970-х икона стоит в самом незаметном углу комнаты. Хозяин — инженер, член КПСС. На прямой вопрос «вы верующий?» ответит «нет». Но икону не выбросит.

Это не было лицемерием в обычном смысле. Это была защита — себя, своей семьи, своей частной жизни от государства, которое считало эту жизнь своей территорией.

3. Читали самиздат — и делали вид, что не читали

Самиздат — это машинописные копии текстов, которые нельзя было напечатать официально. Солженицын, Пастернак, Булгаков до его реабилитации, политические трактаты, зарубежная проза в переводе, просто стихи, которые не прошли цензуру.

Схема была такая: человек получал папку с машинописью — прочитать за ночь и передать дальше. Держать дольше опасно. Обсуждать вслух — только с теми, кому доверяешь.

Масштаб этого явления сложно переоценить. По оценкам исследователей, к 1970-м годам через самиздат прошли миллионы копий текстов. «Архипелаг ГУЛАГ» — роман, за хранение которого давали реальные сроки, — читали по всей стране.

Но — и это важная деталь — большинство читателей самиздата не были диссидентами. Они просто хотели читать интересное. Это разные вещи. Диссидент открыто выступал против системы. Читатель самиздата — просто жил рядом с системой, стараясь не попасться.

Самиздат в СССР
Самиздат в СССР

О том, как советская система формировала информационную среду и что из этого получалось — мы разбирали в статье про советскую пропаганду и соцсети.

4. Торговали валютой и джинсами — при полном понимании окружающих

Статья 88 Уголовного кодекса СССР — «нарушение правил о валютных операциях» — предусматривала до 15 лет лагерей. В особых случаях — расстрел. Это не метафора: в 1961 году по делу валютчиков Рокотова и Файбишенко был вынесен расстрельный приговор, хотя на момент их ареста такого наказания за это преступление ещё не существовало. Хрущёв лично настоял на ужесточении закона задним числом.

И при всём этом — валютный чёрный рынок работал в каждом крупном городе. У гостиниц для иностранцев дежурили фарцовщики — люди, перепродававшие западные товары: джинсы, пластинки, жвачку, духи. Джинсы Levi's стоили 150–200 рублей при средней зарплате 120.

Соседи знали. Участковый иногда знал. Все делали вид, что не знают — пока кто-то не доносил или пока не нужно было кого-то убрать.

Фарцовщики
Фарцовщики

Фарцовщик в советском дворе был фигурой почти легендарной — его боялись, им восхищались и к нему шли за товаром одни и те же люди.

5. Писали доносы — и получали доносы на себя

Это самая неудобная вещь в этом списке.

Донос в советской системе был не исключением и не признаком особой подлости. Это был инструмент — которым пользовались миллионы людей по самым разным причинам.

Сосед донёс на соседа — из-за квартирного вопроса. Коллега — из-за должности. Жена — из страха, что донесут на неё саму. Иногда — из искренней идеологической убеждённости. Иногда — потому что вызвали и потребовали.

Историк Роберт Тёрстон в исследовании советского террора 1930-х годов показал: большинство доносов писали не профессиональные осведомители, а обычные люди в обычных обстоятельствах. Система создавала условия, при которых донос становился рационально объяснимым поведением.

Это не оправдание. Это объяснение. И это — одна из причин, почему советское общество несёт в себе травму, которая не зажила до сих пор: невозможно было точно знать, кто из близких написал.

6. Делали вид, что работают

«Они делают вид, что платят нам, мы делаем вид, что работаем» — эта фраза ходила по всему позднему СССР как горькая шутка. Но за шуткой стояла реальная экономическая практика.

Советское предприятие не могло уволить работника просто так — это было почти невозможно юридически. Работник не мог уйти на другое место без разрешения — и это тоже было непросто. Система держала обе стороны.

В результате сложился специфический советский способ существования на работе: человек числился, приходил, отмечался — и занимался своими делами. Читал книгу, ремонтировал на заводском станке что-то своё, договаривался о халтуре. Начальник знал. Закрывал глаза — потому что план так или иначе нужно было выполнять коллективно, и отношения важнее формальных требований.

Это называлось «несуны» — когда тащили с завода материалы. И «левак» — когда работали на себя в рабочее время. Масштаб был таков, что советские экономисты включали это в неформальные расчёты реального производства.

7. Хранили деньги в трёхлитровых банках — и не доверяли государственным сберкассам

Формально советские граждане держали сбережения в Сберкассе. Реально — значительная часть денег лежала дома: в банках с крупами, под матрасом, в книгах, зашитая в одежду.

Этому было историческое объяснение, которое старшее поколение помнило физически: денежные реформы 1947 и 1961 годов, когда наличные обменивались по невыгодному курсу и сбережения частично сгорали. После 1961 года недоверие к государственным финансовым институтам стало генетическим.

Бабушка, прятавшая деньги в банке из-под огурцов, не была параноиком. Она помнила, как государство уже однажды забрало то, что лежало в официальном месте.

Сберегательная книжка СССР
Сберегательная книжка СССР

Это недоверие — не советское изобретение и не советское наследие. Это рациональная реакция на конкретный исторический опыт. И оно, к слову, никуда не делось: по данным Банка России, россияне до сих пор хранят значительную часть наличных вне банковской системы.

Что это всё значит

Двойная жизнь советского человека — не патология и не национальная черта. Это адаптация.

Когда система требует одного, а жизнь — другого, люди находят способы жить так, чтобы выжить. Часть этих способов была безобидной — спрятанная икона, самиздат, рентгеновский Элвис. Часть — разрушительной: донос на соседа, ложь на собрании, моральное расщепление, которое передавалось детям.

Советский человек не был ни героем, ни жертвой, ни конформистом. Он был человеком — в очень специфических обстоятельствах. Как и мы все — в своих.

О том, что из этой двойной жизни советские люди помнят с теплом, а что — с ужасом, и почему оба чувства правдивы одновременно — читайте в нашей первой статье про счастье советского человека. О том, как система делала из письма инструмент одновременно спасения и доноса — в статье про письма Сталину.

Источники

  • Митрохин Н. «Русская православная церковь: современное состояние и актуальные проблемы», 2004 — исследование религиозности в советский и постсоветский период
  • Thurston R. W. «Life and Terror in Stalin's Russia, 1934–1941», 1996 — исследование природы доносительства и социальной динамики террора
  • Козлов В. А. «Массовые беспорядки в СССР при Хрущёве и Брежневе», 2010 — о неформальных практиках советской повседневности
  • РГАСПИ — материалы по делам о валютных операциях и фарцовке, фонды КГБ СССР
  • Юрчак А. «Это было навсегда, пока не кончилось. Последнее советское поколение», русское издание 2014 — антропологическое исследование советской двойной жизни, один из ключевых текстов по теме