Добавить в корзинуПозвонить
Найти в Дзене

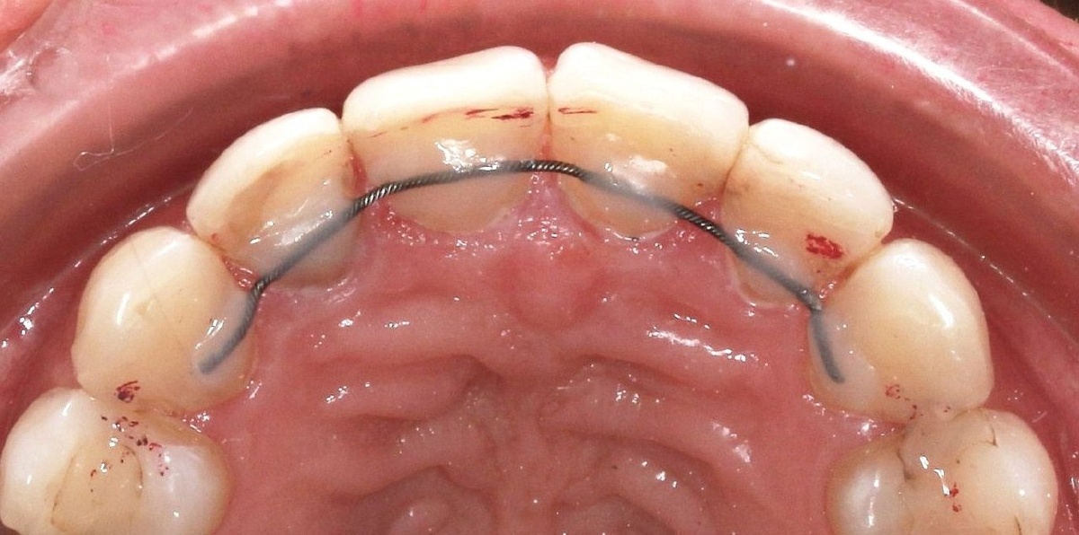
Отклеился ретейнер

Почему необходимо сразу обратиться к ортодонту? Как мы ранее писали, ретенционный период важен ничуть не меньше процесса исправления прикуса. Важно не выровнять положение зубов, но ещё и удержать результат. На протяжении достаточно длительного периода зубы склонны вернуться на прежнее место. В отличие от коррекции, это происходит довольно быстро. Что же делать, если отклеился ретейнер? Нужно обратиться к ортодонту в тот же день. Промедление может привести к серьёзным последствиям. Рассмотрим, что может случиться: ⭕️ самое неприятное и трудно устраняемое - может произойти смещение зубов. Ретейнер фиксирует зубы в новом положении после лечения. Если он отклеился, зубы могут начать смещаться под действием жевательных сил и давления мягких тканей. Достаточно нескольких дней. В отдельных случаях при несвоевременном устранении проблемы может потребоваться повторное ортодонтическое лечение. ⭕️ менее сложное в устранении последствий, но более ощущаемое физически- травма слизистой. Свобод

Отклеился ретейнер

Почему необходимо сразу обратиться к ортодонту?

Как мы ранее писали, ретенционный период важен ничуть не меньше процесса исправления прикуса. Важно не выровнять положение зубов, но ещё и удержать результат. На протяжении достаточно длительного периода зубы склонны вернуться на прежнее место. В отличие от коррекции, это происходит довольно быстро.

Что же делать, если отклеился ретейнер?

Нужно обратиться к ортодонту в тот же день.

Промедление может привести к серьёзным последствиям.

Рассмотрим, что может случиться:

⭕️ самое неприятное и трудно устраняемое - может произойти смещение зубов. Ретейнер фиксирует зубы в новом положении после лечения. Если он отклеился, зубы могут начать смещаться под действием жевательных сил и давления мягких тканей. Достаточно нескольких дней.

В отдельных случаях при несвоевременном устранении проблемы может потребоваться повторное ортодонтическое лечение.

⭕️ менее сложное в устранении последствий, но более ощущаемое физически- травма слизистой. Свободный (не зафиксированный) конец ретейнера может поцарапать язык, внутреннюю сторону щёк или дёсен.

⭕️ нарушение гигиены. Если контакт ретейнера с эмалью нарушен, в слабо прилегающих местах могут скапливаться налёт и бактерии, что увеличивает риск развития кариеса.

Поэтому если у Вас отклеился ретейнер, частично или полностью не пытайтесь его самостоятельно снять или  чем-то зафикстровать.

В ближайшее время запишитесь к ортодонту для фиксации. До момента посещения врача можно воспользоваться ортодонтическим воском с острой стороны конструкции.

Чтобы улыбка Вас радовала, соблюдайте рекомендации доктора.

Для записи на консультацию или манипуляции звоните по тел.: +7-911-92-77-585

Также напоминаем, что у нас есть группы в ВК https://vk.ru/wwstom

и инстаграм https://www.instagram.com/white_wave_stomatology?igsh=cWlqOXJjeWd0bXNm&utm_source=qr