Добавить в корзинуПозвонить
Найти в Дзене

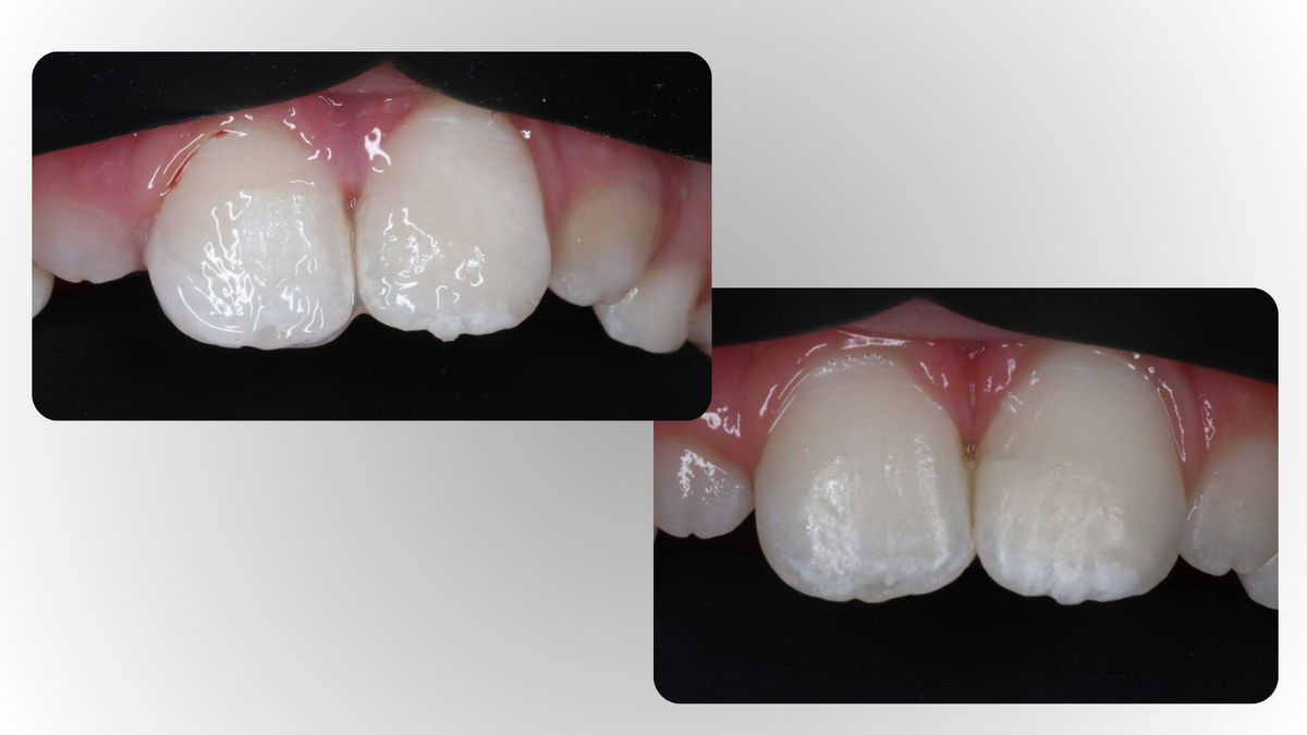
Травма зуба у ребёнка: осложнённый перелом 21 зуба

Коллеги, прежде чем перейдем к сегодняшнему кейсу, хочу сказать спасибо вам ❤️ За участие в голосовании про формат клуба детских стоматологов, мне очень ценно видеть такой отклик. И спасибо всем, кто заполнил анкету по темам для контента — это помогает делать этот канал действительно полезным для вас 🙌 Пациент — мальчик, получил травму после занятия по тхэквондо, играли с другими мальчиками, и в процессе произошёл скол зуба. Родители среагировали очень верно, в тот же вечер они вернулись на место и нашли фрагмент зуба. Администратор рассказала, что если есть фрагмент — его обязательно нужно найти и сохранить. Лучше всего положить в физраствор или хотя бы в воду и как можно быстрее приехать в клинику.
Родители сделали фото и отправили нам. Мы увидели «красную точку» — это значит, что пульпа открыта и помощь необходимо оказать в этот же день. Они приехали к нам в клинику, мы провели диагностику, рентген обследование – КЛКТ, сделали холодовую пробу, оценку подвижности.
Диагнозы:
• осл
Коллеги, прежде чем перейдем к сегодняшнему кейсу, хочу сказать спасибо вам ❤️
За участие в голосовании про формат клуба детских стоматологов, мне очень ценно видеть такой отклик. И спасибо всем, кто заполнил анкету по темам для контента — это помогает делать этот канал действительно полезным для вас 🙌

Пациент — мальчик, получил травму после занятия по тхэквондо, играли с другими мальчиками, и в процессе произошёл скол зуба. Родители среагировали очень верно, в тот же вечер они вернулись на место и нашли фрагмент зуба.

Администратор рассказала, что если есть фрагмент — его обязательно нужно найти и сохранить. Лучше всего положить в физраствор или хотя бы в воду и как можно быстрее приехать в клинику.


Родители сделали фото и отправили нам. Мы увидели «
красную точку» — это значит, что пульпа открыта и помощь необходимо оказать в этот же день. Они приехали к нам в клинику, мы провели диагностику, рентген обследование – КЛКТ, сделали холодовую пробу, оценку подвижности.

Диагнозы:
осложнённый перелом 21 зуба,
подвывих 11 зуба (подвижность I степени, не нуждается в шинировании).

👉 Лечение в это же посещение. Провели: местную анестезию, закись азота-кислородную седацию и перекрыли Биодентином точку вскрытия пульпы. После этого, зафиксировали собственный фрагмент зуба, там, где не хватило осколка — восстановили композитом.

Рекомендую пациентам всегда в случае подвывиха:
• щадящую диету на 2 недели,
• тщательну домашнюю гигиену,
• аппликации на десну с помощью Rapid-30.


Контроль через 2 недели показал:
• десна восстановилась,
• подвижность физиологическая,,
• холодовая проба положительная.

👀 И дальше мы говорим родителям: «наблюдаем». После травмы зуб может «повести себя» по-разному и наша задача не упустить этот момент. Поэтому мы всегда планируем осмотр и наблюдение в динамике через 1, 3 и 6 месяцев.

И если вы помните, у нас уже был похожий кейс с травмой, но с другим диагнозом (латеральный вывих, почитать кейс здесь).

👉 Ключевое здесь — понимание, почему мы выбираем именно эту стратегию и какие риски за этим стоят. Травма — это всегда история про качественную диагностику и клиническое мышление врача, а также про диалог с родителями, чтобы они понимали, что происходит с зубом на каждом этапе.

#кейсы_гузун