Найти в Дзене
Иннова Клиник

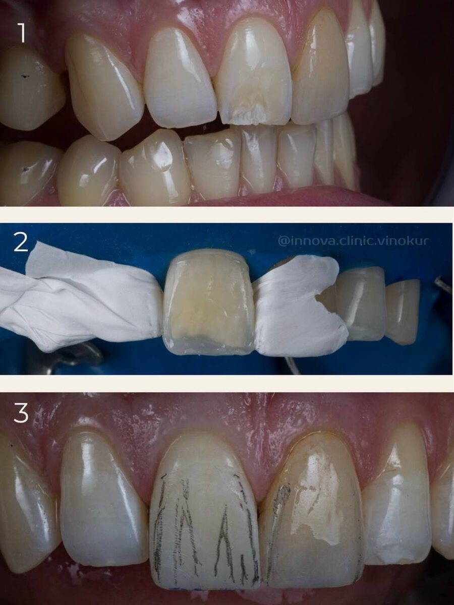
Скол переднего зуба: восстановили форму и эстетику

🦷 Пациент пришёл с жалобой на скол центрального зуба и повышенную чувствительность. Повреждение произошло во время приёма пищи. Так как пациент был приезжий и не было возможности предварительно смоделировать зуб в лаборатории, было принято решение выполнить прямую реставрацию. Сначала в полости рта был создан пробный макет будущего зуба из временного композита. Это позволило точно определить форму и внешний вид реставрации. 🖇️ На основе макета была снята форма, с её помощью восстановили зуб после подготовки. Реставрация проводилась послойно с использованием многофункционального композитного материала: ✔️ Дентинные оттенки для создания естественной основы ✔️ Эмалевые оттенки для натуральной прозрачности В результате удалось полностью восстановить форму зуба, устранить чувствительность — зуб выглядит естественно и не отличается от своих ✨

Скол переднего зуба: восстановили форму и эстетику 🦷

Пациент пришёл с жалобой на скол центрального зуба и повышенную чувствительность.

Повреждение произошло во время приёма пищи.

Так как пациент был приезжий и не было возможности предварительно смоделировать зуб в лаборатории, было принято решение выполнить прямую реставрацию.

Сначала в полости рта был создан пробный макет будущего зуба из временного композита.

Это позволило точно определить форму и внешний вид реставрации.

🖇️ На основе макета была снята форма, с её помощью восстановили зуб после подготовки.

Реставрация проводилась послойно с использованием многофункционального композитного материала:

✔️ Дентинные оттенки для создания естественной основы

✔️ Эмалевые оттенки для натуральной прозрачности

В результате удалось полностью восстановить форму зуба, устранить чувствительность — зуб выглядит естественно и не отличается от своих ✨

-2