Добавить в корзинуПозвонить
Найти в Дзене

Почему зубы чувствительные – и что с этим делать (без сложных терминов)

Глоток холодной воды – и зубы сводит. Яблоко откусить не можем. Чистить зубы больно. Знакомо? Чувствительность зубов – одна из самых частых жалоб на приёме у стоматолога. Но мало кто знает, что её часто провоцируем мы сами – слишком агрессивной чисткой, неправильной пастой или привычкой грызть лёд. Разбираемся, откуда берётся чувствительность и что реально помогает. Подробнее о клинике «Формула улыбки»:
ВКонтакте | Telegram
Сайт: stomformula.com Телефоны: +7 (4932) 90-38-00, +7 (4932) 90-22-11 Эмаль – самая твёрдая ткань в организме. Под ней – дентин, который пронизан тысячами микроканальцев. Внутри каждого канальца – нервное окончание. Когда эмаль истончается или десна опускается, дентин оголяется. Холодное, горячее, кислое, сладкое – всё это раздражает нервы напрямую. Боль резкая, короткая – как удар током. Проходит, как только убрали раздражитель. Но каждый раз неприятно. Хорошая новость: в большинстве случаев чувствительность можно снизить. Плохая – если не разобраться в причине, о
Оглавление

Глоток холодной воды – и зубы сводит. Яблоко откусить не можем. Чистить зубы больно. Знакомо? Чувствительность зубов – одна из самых частых жалоб на приёме у стоматолога. Но мало кто знает, что её часто провоцируем мы сами – слишком агрессивной чисткой, неправильной пастой или привычкой грызть лёд. Разбираемся, откуда берётся чувствительность и что реально помогает.

Подробнее о клинике «Формула улыбки»:
ВКонтакте | Telegram
Сайт:
stomformula.com Телефоны: +7 (4932) 90-38-00, +7 (4932) 90-22-11

Что такое чувствительность зубов

Эмаль – самая твёрдая ткань в организме. Под ней – дентин, который пронизан тысячами микроканальцев. Внутри каждого канальца – нервное окончание. Когда эмаль истончается или десна опускается, дентин оголяется. Холодное, горячее, кислое, сладкое – всё это раздражает нервы напрямую.

Боль резкая, короткая – как удар током. Проходит, как только убрали раздражитель. Но каждый раз неприятно.

Хорошая новость: в большинстве случаев чувствительность можно снизить. Плохая – если не разобраться в причине, она будет возвращаться.

Почему это происходит

Причин много. Часто несколько работают одновременно.

Стирание эмали от агрессивной чистки

Самая частая причина. Многие чистят зубы «как пол драят» – с силой, жёсткой щёткой, горизонтальными движениями. Эмаль постепенно стирается, особенно у шеек зубов. Дентин оголяется.

Инна Горозия, стоматолог-терапевт с 20-летним стажем из клиники «Формула улыбки» в Иваново, регулярно видит на приёме пациентов с V-образными дефектами у десны – это результат неправильной чистки. Причём сами пациенты гордятся: «Я тщательно чищу!» А на самом деле – разрушают зубы.

Примечание: Чистить нужно не сильно, а правильно. Круговыми движениями, мягкой или средней щёткой, без давления.

Опущение десны (рецессия)

Десна постепенно «сползает» вниз, обнажая шейку зуба и часть корня. Это участки без эмали – только дентин. Холодное, горячее, даже воздух – всё вызывает боль.

Причины рецессии: неправильная чистка, пародонтит, возраст, курение, травма (например, от зубной нити, если пользоваться неаккуратно).

Кислотная эрозия эмали

Частое употребление кислых продуктов (цитрусовые, соки, вино, газировка) растворяет эмаль. Она становится тоньше, под ней просвечивает жёлтый дентин. Зубы реагируют на всё.

Трещины эмали

Микротрещины не видны глазом, но через них раздражители проникают к дентину. Появляются от резких перепадов температуры (горячий кофе + мороженое), привычки грызть лёд, орехи, семечки зубами.

Отбеливание (если делали неправильно)

Профессиональное отбеливание в клинике безопасно. Но домашние эксперименты с содой, перекисью или агрессивными полосками могут истончить эмаль и вызвать чувствительность на недели.

Бруксизм (скрип зубами)

Постоянное трение стирает эмаль. Многие скрипят зубами ночью и не знают об этом.

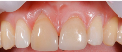
Рецессия десны, оголённые шейки зубов
Рецессия десны, оголённые шейки зубов

Что усугубляет проблему

Даже если чувствительность уже есть, некоторые привычки её усиливают.

Отбеливающие пасты

Содержат абразивные частицы, которые стирают эмаль. Если зубы уже чувствительные – отбеливающая паста только ухудшит ситуацию.

Жёсткая зубная щётка

Царапает эмаль и травмирует десну. Для людей с чувствительными зубами – табу.

Чистка сразу после кислого

После сока, фруктов, вина эмаль размягчается на 30-40 минут. Если почистить зубы сразу – сотрёте размягчённый слой. Это усиливает чувствительность.

Привычка грызть твёрдое

Лёд, карамель, семечки зубами – всё это создаёт микротрещины в эмали.

Курение

Провоцирует опущение десны. У курильщиков чувствительность зубов встречается чаще.

Примечание: Если отказались от отбеливающей пасты, а чувствительность осталась – проблема глубже. Нужен стоматолог.

Экстренная помощь при боли

Зуб ноет прямо сейчас – что делать до визита к врачу?

Что помогает:

– Прополоскать рот тёплой водой (не холодной, не горячей)

– Использовать пасту для чувствительных зубов – нанести на проблемный участок, оставить на 2-3 минуты

– Избегать раздражителей: холодного, горячего, кислого, сладкого

– Жевать на другой стороне

– При сильной боли – обезболивающее (ибупрофен, парацетамол)

Что не помогает (и может навредить):

– Полоскание содой – дополнительно раздражает

– Приложить лёд – усилит боль

– Пытаться «почистить больное место» – травмируете ещё сильнее

Это временные меры. Они снимают симптом, но не решают проблему.

Как снизить чувствительность надолго

Кратковременные меры работают на день-два. Чтобы избавиться от проблемы, нужен системный подход.

Сменить зубную щётку

Только мягкая щетина. Никакой «средней жёсткости» для чувствительных зубов. Чистить аккуратно, круговыми движениями, без давления.

Паста для чувствительных зубов – постоянно

Содержит компоненты (нитрат калия, хлорид стронция), которые блокируют дентинные канальцы. Эффект накопительный – паста работает через 1-2 недели регулярного использования.

Не чистить зубы сразу после еды

Особенно после кислого. Подождите 30-40 минут. Или прополощите рот водой и почистите позже.

Фторирование у стоматолога

Врач наносит на зубы фторсодержащий гель или лак. Он укрепляет эмаль и снижает чувствительность. Эффект держится несколько месяцев.

В клинике «Формула улыбки» фторирование часто делают после профессиональной чистки – это усиливает защиту зубов и снижает чувствительность.

Лечение рецессии десны

Если десна опустилась сильно – может потребоваться хирургическое восстановление. Врач «подтягивает» десну обратно, закрывая оголённую шейку зуба.

Капа при бруксизме

Если скрипите зубами ночью – нужна защитная капа. Она предотвращает стирание эмали.

Примечание: Паста для чувствительных зубов не лечит причину. Но пока вы разбираетесь с причиной, она снимает симптомы.

Когда нужно к врачу

Чувствительность не всегда безобидна. Иногда за ней скрывается серьёзная проблема.

Обязательно к стоматологу, если:

– Боль не проходит после снятия раздражителя (ноет дальше)

– Чувствительность появилась резко и сильная

– Болит один конкретный зуб (может быть кариес или трещина)

– Десна опустилась заметно

– Зубы изменили цвет (потемнели, пожелтели)

– Паста для чувствительных зубов не помогает 2-3 недели

Инна Горозия рекомендует не откладывать визит. Чувствительность – сигнал, что с зубами что-то не так. Чем раньше найдёте причину, тем проще её устранить.

Стандартная рекомендация: профилактический осмотр у стоматолога раз в полгода, даже если ничего не беспокоит. На раннем этапе проблемы решаются быстро.

★★★

Чувствительность зубов – не приговор. В большинстве случаев её можно снизить или убрать совсем. Главное – понять причину и действовать системно: правильная щётка, паста для чувствительных зубов, бережная чистка, визит к стоматологу.

Не терпите боль. Не ждите, что «само пройдёт». Чувствительность – это сигнал: эмаль истончается, десна опускается, что-то идёт не так. Раз в полгода к стоматологу – и большинство проблем можно поймать на ранней стадии.

Подробнее о клинике «Формула улыбки»:
ВКонтакте | Telegram
Сайт:
stomformula.com Телефоны: +7 (4932) 90-38-00, +7 (4932) 90-22-11

#чувствительностьзубов #больнозубы #ФормулаУлыбки #стоматологияИваново #чувствительнаяэмаль #здоровьезубов #рецессиядесны #пастадлязубов #стоматология #профилактика