Добавить в корзинуПозвонить
Найти в Дзене
D2D Expert

Внутричерепная гипотензия. Взгляд врача МРТ на примере диагностического случая

Подгорная Полина Александровна – врач-рентгенолог, старший преподаватель кафедры лучевой диагностики и онкологии АНО ДПО "ИПКМК", член Саморегулируемой ассоциации врачей МРТ- и КТ-диагностики Внутричерепная гипотензия – это патологическое состояние, характеризующееся снижением давления спинномозговой жидкости. Основной причиной внутричерепной гипотензии является ликворея, т. е. патологическое истечение ликвора. Внутричерепную гипотензию можно условно разделить на следующие категории: Наиболее частым и стойким клиническим симптомом при внутричерепной гипотензии выступают так называемые постуральные (ортостатические) головные боли: возникающие при вертикальном положении и исчезающие или значительно ослабевающие в положении лежа. В некоторых случаях головные боли развиваются постепенно в течение дня - «головные боли второй половины дня». Другие симптомы включают тошноту, рвоту, боль в шее, нарушения зрения и слуха, включая шум в ушах, и головокружение. Визуализационные методы исследовани

Подгорная Полина Александровна – врач-рентгенолог, старший преподаватель кафедры лучевой диагностики и онкологии АНО ДПО "ИПКМК", член Саморегулируемой ассоциации врачей МРТ- и КТ-диагностики

Внутричерепная гипотензия – это патологическое состояние, характеризующееся снижением давления спинномозговой жидкости.

Основной причиной внутричерепной гипотензии является ликворея, т. е. патологическое истечение ликвора.

Внутричерепную гипотензию можно условно разделить на следующие категории:

  • Вторичная – развивается как следствие ятрогенных факторов (люмбальная пункция, хирургическое вмешательство на головном или спинном мозге, чрезмерное шунтирование при ВПШ) или при травматическом повреждении.
  • Первичная – носит название спонтанной внутричерепной гипотензией (СВГ) [1, 2].

Наиболее частым и стойким клиническим симптомом при внутричерепной гипотензии выступают так называемые постуральные (ортостатические) головные боли: возникающие при вертикальном положении и исчезающие или значительно ослабевающие в положении лежа. В некоторых случаях головные боли развиваются постепенно в течение дня - «головные боли второй половины дня». Другие симптомы включают тошноту, рвоту, боль в шее, нарушения зрения и слуха, включая шум в ушах, и головокружение.

Визуализационные методы исследования имеют важное значение для подтверждения диагноза внутричерепной гипотензии. Одним из методов для выявления данной патологии является магнитно-резонансная томография [1, 2].

Признаки внутричерепной гипотензии на МРТ разделяют на качественные и количественные.

Качественные признаки внутричерепной гипотензии:

  • Реакция твердой мозговой оболочки - утолщение ТМО, гиперинтенсивный сигнал от оболочки в режиме Flair, накопление контрастного вещества утолщенными оболочками при в/в контрастировании.
  • Знак венозного растяжения: округление поперечного сечения венозных синусов (уменьшение объема спинномозговой жидкости приводит к компенсаторному расширению сосудистых пространств, в основном венозной стороны, из-за ее большей податливости).
  • Увеличение вертикального размера гипофиза.
  • Пролабирование миндалин мозжечка ниже уровня большого затылочного отверстия.
  • Возможно визуальное уменьшение объема цереброспинальной жидкости (сужение цистернальных ликворных пространств).
  • Субдуральные выпоты и возможные субдуральные гематомы [2].

Количественные признаки внутричерепной гипотензии:

  • Уменьшение мамилло-понтинного расстояния (менее 5.5 мм).
  • Уменьшение понто-мезэнцефального угла (менее 50˚).
  • Уменьшение каллозального угла, также известного как угол бокового желудочка (менее 90˚) [2].

Диагностический случай:

Пациентка Н., 14 лет. Жалобы на головные боли ортостатического характера (усиливаются в вертикальном положении, ослабевают в положении лежа). Травм, операций не было. Инфекционные заболевания отрицает. Температура в норме.

При проведении МР-исследования головного мозга с контрастным усилением выявлено:

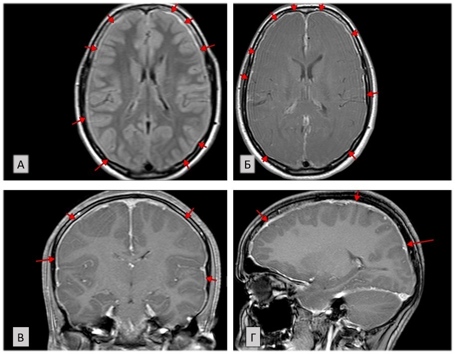
1. Твердая мозговая оболочка диффузно утолщена, повышенного сигнала в режиме Flair, интенсивно накапливает контраст (рис.1).

-2

Рис. 1. Утолщение ТМО и повышение МР-сигнала в режиме Flair (А), диффузное усиление утолщенной ТМО при в/в контрастировании (Б-Г), (авторское изображение).

Подобные изменения ТМО на МР-изображениях могут быть проявлением изменений воспалительного характера (пахименингита), однако в анамнезе данных за инфекционный процесс нет, и при дальнейшей оценке МР-изображений выявлены другие признаки, относящиеся к критериям внутричерепной гипотензии.

-3

2. Расширение венозных сосудистых пространств (венозных синусов) как знак венозного растяжения (рис. 2).

Рис. 2. Расширение прямого синуса (А), расширение и округление поперечного сечения верхнего сагиттального и поперечных синусов (Б, В) (авторское изображение).

-4

3. Увеличение вертикального размера гипофиза, пролабирование миндалин мозжечка ниже уровня большого затылочного отверстия, уменьшение объема цереброспинальной жидкости (сужение цистернальных ликворных пространств) (рис. 3).

Рис. 3. Вертикальный размер гипофиза увеличен до 8,5 мм, миндалины мозжечка опущены ниже БЗО, цистернальные пространства слабо наполнены (синие стрелки) (авторское изображение).

-5

4. Уменьшение мамилло-понтинного расстояния и понто-мезэнцефального угла (рис. 4).

Рис. 4. Мамилло-понтинное расстояние уменьшено до 4.2 мм, понто-мезэнцефальный угол до 42˚ (авторское изображение).

ЗАКЛЮЧЕНИЕ: МР-признаки более соответствуют проявлениям спонтанной внутричерепной гипотензии.

Используемые источники:

1. Christoforidis G. A., Mehta B. A., Landi J. L. et al. Spontaneous intracranial hypotension report of four cases and review of the literature // Neuroradiol. 1998. V. 40. P. 636–643.

2. Гайяр Ф., Денг Ф., Шарма Р. и др. Спонтанная внутричерепная гипотензия. Справочная статья, Radiopaedia.org (дата обращения: 24 марта 2026 г.) https://doi.org/10.53347/rID-1519

Больше полезного и интересного на наших площадках:

🔄 Telegram D2D Неврология Expert

🔄 MAX D2D Expert