Найти в Дзене

В каких случаях молочный зуб нельзя трогать: ортодонт о главной ошибке родителей

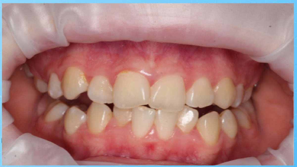
Каждый раз, когда я вижу ретинированный зуб у подростка, история почти всегда оказывается одинаковой: раннее удаление, пустое место и годы без контроля. Клинический случай.
На прием приходит подросток, у которого зубы растут вторым рядом или остаются застрявшими в десне. Родители искренне не понимают, в какой момент ситуация вышла из-под контроля. Мы начинаем разбирать анамнез, выполняем диагностические снимки - и находим причину, уходящую корнями в детский возраст. Пять лет назад ребенку удалили молочный зуб, после чего про пустую лунку просто забыли. Бытует мнение, что молочные зубы - временные жители, которые не заслуживают серьезного внимания. "Зачем мучить ребенка лечением, если они все равно выпадут?" -подобная логика кажется родителям спасительной. На деле природа наделила каждую единицу в ряду важнейшей миссией. Молочный зуб работает живым сейфом, удерживая пространство для будущего постоянного зуба. Представьте плотный ряд людей в очереди. Стоит одному человеку выйти, как ост
Оглавление

Каждый раз, когда я вижу ретинированный зуб у подростка, история почти всегда оказывается одинаковой: раннее удаление, пустое место и годы без контроля.

Клинический случай.
На прием приходит подросток, у которого зубы растут вторым рядом или остаются застрявшими в десне. Родители искренне не понимают, в какой момент ситуация вышла из-под контроля.

Мы начинаем разбирать анамнез, выполняем диагностические снимки - и находим причину, уходящую корнями в детский возраст.

Пять лет назад ребенку удалили молочный зуб, после чего про пустую лунку просто забыли.

Бытует мнение, что молочные зубы - временные жители, которые не заслуживают серьезного внимания. "Зачем мучить ребенка лечением, если они все равно выпадут?" -подобная логика кажется родителям спасительной.

На деле природа наделила каждую единицу в ряду важнейшей миссией. Молочный зуб работает живым сейфом, удерживая пространство для будущего постоянного зуба.

Природа ненавидит пустоту: как запускается деформация

Представьте плотный ряд людей в очереди. Стоит одному человеку выйти, как остальные тут же делают шаг, чтобы сократить дистанцию. Челюсть ребенка устроена точно так же. Зубы обладают природным свойством сдвигаться в сторону свободного места.

Удаление молочного зуба за год или два до естественной смены заставляет соседние жильцы медленно наклоняться и сползать в пустую зону. Лунка затягивается, челюсть перестает правильно расти, а кость сужается.

Когда приходит время прорезываться настоящему, коренному зубу, он обнаруживает, что законное место занято. Формируются серьезные патологии:

  • Скученность. Зубам тесно, они разворачиваются боком или лезут друг на друга.
-2
  • Ретинированные зубы. Постоянный зуб остается глубоко внутри, так как проход для него заблокирован.
  • Кривая улыбка. Весь зубной ряд смещается от центра, нарушая эстетику лица.
  • Проблемы с речью. Отсутствие даже одной единицы в период активного роста мешает ребенку правильно ставить язык и четко произносить звуки.

Почему тактика «вырвали и забыли» обходится слишком дорого

Само удаление часто бывает вынужденным. Кариес, травма или воспаление иногда не оставляют выбора. Ошибка кроется не в самих щипцах хирурга, а в отсутствии дальнейшего контроля. Оставить пустую дырку во рту - обречь ребенка на долгое и дорогостоящее исправление прикуса в будущем.

Любая преждевременная потеря требует немедленного осмотра ортодонта. Требуется зафиксировать границы, чтобы соседние зубы не «украли» свободное пространство.

3 способа сохранить идеальную улыбку без лишних затрат

Современная медицина позволяет решить проблему элегантно и без боли. Важно вовремя поставить «преграду» для смещения.

Точная диагностика. С помощью снимка ОПТГ становится понятно, как глубоко сидит зачаток нового зуба. Если до его появления больше полугода, нужно действовать.

Удерживатели места. Специальные ортодонтические кольца с распоркой аккуратно фиксируются на соседнем зубе. Подобная конструкция незаметна, не мешает есть или говорить, но надежно блокирует любое движение соседей. Врач подбирает аппарат индивидуально под размер челюсти, чтобы десна оставалась здоровой, а гигиена - простой. Часто такое приспособление называют детским протезом, хотя оно гораздо компактнее и удобнее любых взрослых систем.

-3

Заместительные пластинки. При потере сразу нескольких зубов изготавливается съемный аппарат. Он позволяет ребенку нормально жевать и гарантирует, что челюсть будет развиваться правильно.

-4

Маленькая инвестиция против больших проблем

Исправление запущенной скученности у подростка требует ношения брекетов в течение двух лет и серьезных финансовых вложений. Маленькое кольцо-хранитель, установленное вовремя, решает ту же задачу за несколько месяцев и в десятки раз дешевле.

Берегите молочные зубы своих детей. Помните: красивая и уверенная улыбка взрослого начинается с того, насколько внимательно мы отнеслись к первому визиту в стоматологию.

Сталкивались ли вы с ситуацией, когда раннее удаление привело к кривизне зубов? Пишите в комментариях, обсудим ваш случай!

Внимание! Материал носит информационный характер. Постановка диагноза и выбор тактики лечения возможны только на очной консультации врача.

Ваш врач-ортодонт Сергей Суджаев.
Ваш врач-ортодонт Сергей Суджаев.

Не рискуйте будущей улыбкой ребенка. Лучше проверить сейчас, чем исправлять годами.

Запись по телефону: +7 (985) 786-02-94. Сайт: https://studia-ulybki.ru/