Добавить в корзинуПозвонить
Найти в Дзене
Эстетика Дентал

Снятие зубного камня: разбираемся портит ли процедура эмаль и насколько это болезненно?

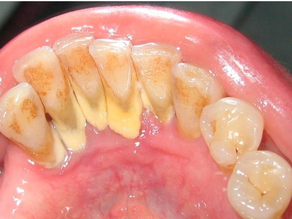
Вопрос о профессиональной чистке зубов почти всегда сопровождается сомнениями. Пациенты нередко спрашивают, стирается ли эмаль во время процедуры, почему после неё зубы иногда становятся чувствительными и правда ли, что снятие камня — болезненный процесс. Эти опасения понятны: речь идёт о вмешательстве в ткани, которые кажутся хрупкими и незаменимыми. Разобраться помогает понимание физиологии. Когда человек понимает, что именно происходит с зубами до, во время и после процедуры, многие страхи становятся логически объяснимыми и перестают восприниматься как угроза. Любая история зубного камня начинается с мягкого зубного налёта. После еды на поверхности зубов формируется тонкая биоплёнка — смесь бактерий, остатков пищи и белков слюны. Это естественный процесс, который происходит у каждого человека ежедневно. Если налёт регулярно удаляется щёткой и нитью, он не успевает измениться. Но когда участки очищаются недостаточно тщательно — чаще всего возле десны или между зубами — налёт остаётся
Оглавление

Вопрос о профессиональной чистке зубов почти всегда сопровождается сомнениями. Пациенты нередко спрашивают, стирается ли эмаль во время процедуры, почему после неё зубы иногда становятся чувствительными и правда ли, что снятие камня — болезненный процесс. Эти опасения понятны: речь идёт о вмешательстве в ткани, которые кажутся хрупкими и незаменимыми.

Разобраться помогает понимание физиологии. Когда человек понимает, что именно происходит с зубами до, во время и после процедуры, многие страхи становятся логически объяснимыми и перестают восприниматься как угроза.

-2

Как образуется зубной камень и почему щётка уже не помогает

Любая история зубного камня начинается с мягкого зубного налёта. После еды на поверхности зубов формируется тонкая биоплёнка — смесь бактерий, остатков пищи и белков слюны. Это естественный процесс, который происходит у каждого человека ежедневно.

Если налёт регулярно удаляется щёткой и нитью, он не успевает измениться. Но когда участки очищаются недостаточно тщательно — чаще всего возле десны или между зубами — налёт остаётся на месте. Слюна содержит минералы, прежде всего кальций и фосфаты. Постепенно они пропитывают мягкий налёт, и он начинает уплотняться.

Через несколько дней структура становится плотной, а спустя недели формируется зубной камень — твёрдое минеральное образование, прочно прикреплённое к поверхности зуба. На этом этапе механическая чистка дома уже не работает, потому что щетина зубной щётки физически не способна разрушить минерализованную структуру.

Камень чаще всего образуется в зоне шейки зуба и под десной. Его поверхность шероховатая, поэтому на неё легко оседает новый налёт, ускоряя процесс роста.

-3

Как зубной камень влияет на десну и вызывает кровоточивость

Зубной камень — это не просто плотный налёт. Он становится постоянным механическим раздражителем для мягких тканей.

Край камня давит на десну и нарушает её естественное прилегание к зубу. Между зубом и десной образуется пространство, где активно размножаются бактерии. Иммунная система реагирует на это воспалением: десна краснеет, становится рыхлой и начинает кровоточить во время чистки.

Кровоточивость часто воспринимается как признак слишком интенсивной гигиены, поэтому человек начинает чистить зубы осторожнее. В результате налёт накапливается быстрее, камень увеличивается, а воспаление поддерживается постоянно. Формируется замкнутый круг хронического раздражения тканей.

-4

Почему ультразвуковая чистка не повреждает эмаль

Один из самых устойчивых мифов связан с тем, что ультразвук якобы «сбивает» эмаль. Чтобы понять, почему этого не происходит, важно представить физику процесса.

Эмаль — самая твёрдая ткань человеческого организма. По прочности она значительно превосходит зубной камень. Во время процедуры используется ультразвуковой наконечник, который создаёт высокочастотные микровибрации. Эти колебания передаются через воду и воздействуют прежде всего на границу между зубом и камнем.

Минерализованный камень имеет другую плотность и структуру, чем эмаль, поэтому вибрация разрушает именно его связь с поверхностью зуба. Камень отслаивается слоями, тогда как эмаль остаётся неподвижной и не разрушается.

Дополнительную роль играет поток воды. Он охлаждает ткани и создаёт эффект кавитации — образования микропузырьков, которые помогают отделять отложения даже в труднодоступных местах. Воздействие направлено на твёрдые отложения, а не на ткань зуба.

Если представить аналогию, процесс напоминает удаление накипи с металлической поверхности: удаляется то, что прикрепилось сверху, а основа остаётся неизменной.

-5

Как работает AirFlow и почему он не «стачивает» зубы

После снятия крупных отложений часто применяется система AirFlow. Она подаёт смесь воды, воздуха и мелкодисперсного порошка.

Частицы порошка имеют округлую форму и очень малый размер. Они мягко удаляют пигментированный налёт — следы кофе, чая или табака — которые удерживаются на поверхности зуба. Воздействие происходит поверхностно и не связано с механическим стачиванием тканей.

AirFlow полирует зуб, а не шлифует его. После процедуры поверхность становится более гладкой, и налёту сложнее закрепляться вновь. Это влияет не только на внешний вид зубов, но и на скорость повторного образования отложений.

Насколько болезненна процедура на самом деле

Ощущения во время снятия зубного камня сильно зависят от состояния полости рта на момент процедуры. Здесь важно понимать, какие именно ткани реагируют.

Эмаль не содержит нервных окончаний, поэтому сама по себе она не может болеть. Чувствительность возникает в области шейки зуба, где слой эмали тоньше или где частично открыт дентин.

Если десна воспалена и отёчна, любое прикосновение воспринимается ярче. Ультразвук удаляет камень, который долго находился под десной, и ткани реагируют на контакт, поскольку в них уже присутствует воспалительный процесс.

Чем больше камня и чем дольше сохранялось воспаление, тем заметнее ощущения во время процедуры.Пациенты чаще описывают их как чувствительность или кратковременный дискомфорт, а не как боль в привычном понимании.

Когда зубы регулярно проходят профессиональную гигиену, процедура обычно переносится спокойно и занимает меньше времени. При необходимости врач может использовать местную анестезию — особенно если отложения глубокие или чувствительность выражена.

Почему после чистки иногда повышается чувствительность

После удаления камня пациенты иногда замечают реакцию на холодное или кислое. Это связано с изменением условий вокруг зуба.

До процедуры участки корня могли быть закрыты плотными отложениями. Камень выполнял роль своеобразного барьера, хотя и поддерживал воспаление. После его удаления поверхность зуба оказывается открытой для температурных раздражителей.

Одновременно десна начинает восстанавливаться и постепенно уменьшается в объёме, возвращаясь к здоровому состоянию. Этот процесс занимает несколько дней или недель. Повышенная чувствительность в этот период — временное явление, связанное с адаптацией тканей.

Что происходит с тканями после профессиональной чистки

Удаление камня запускает восстановительные процессы. Снижается бактериальная нагрузка, десна начинает плотнее прилегать к зубу, уменьшается кровоточивость.

Организм постепенно восстанавливает естественный баланс микрофлоры. Поверхность зуба после полировки становится менее шероховатой, поэтому новый налёт образуется медленнее.

Важно понимать, что процедура не ослабляет зубы. Напротив, она убирает фактор хронического воспаления, который со временем может приводить к подвижности зубов и заболеваниям пародонта.

-6

Как ухаживать за зубами в первые дни после процедуры

Период после чистки обычно проходит спокойно, однако ткани нуждаются в мягкой адаптации.

  • Использование щётки с мягкой щетиной помогает снизить механическую нагрузку, пока десна восстанавливает плотность. Чистка остаётся обязательной, поскольку отсутствие гигиены замедляет заживление.
  • Пасты для чувствительных зубов уменьшают реакцию нервных окончаний, постепенно закрывая дентинные канальцы. Их действие накопительное, поэтому эффект усиливается через несколько дней.
  • Стоит временно уменьшить количество очень кислой и экстремально горячей или холодной пищи, чтобы не провоцировать излишнюю реакцию зубов в период адаптации.

Через несколько дней большинство пациентов отмечает, что десны становятся спокойнее, а ощущение чистоты сохраняется дольше, чем после обычной домашней гигиены.

Что важно запомнить

Страх перед снятием зубного камня чаще всего связан с недостатком информации о том, как работает процедура. Когда рассматривать процесс с точки зрения физиологии, становится понятно: ультразвук удаляет отложения, не затрагивая эмаль, а возникающие ощущения связаны главным образом с состоянием десны и уровнем воспаления.

Профессиональная гигиена возвращает тканям условия, при которых они могут функционировать без постоянного раздражения.

С заботой о вашей улыбке, клиника «Эстетика Дентал»

Доступна возможность онлайн записи
https://booking.medflex.ru/?source=3&user=601b117d874c07a2ce06f68a6458f3af&filial=22687&type=doctors

г. Голицыно, ул. Советская 59

Наш сайт https://esteticadental.ru

Наши контакты:

📞 +74959462046

📞 +79169467305