Найти в Дзене
Parodoctor

Бессимптомный глубокий кариес у молодых - на каждом осмотре говорили, что всё хорошо. На деле - 3 большие полости

Очень серьёзные проблемы с зубами бывают не только у возрастных людей да у неблагополучного контенгента. Сегодня про юную деву расскажу, которая только перешагнула порог 18 лет, а уже познала всю печаль зубного бытия на грани фола. И ведь ничего не предвещало! Не болит, не ноет, не реагирует на холодное - ни-че-го. Внешне всё хорошо (до последних дней). Зато внутри...такое, что смотришь на снимок и думаешь - ну как вообще так вышло вообще? Этот случай - про молодость, которая не гарантирует отстутствия проблем с зубами. Он про кариес, который умеет прятаться. И он про везение - когда в начале жизненного пути (взрослого) удаётся попасть в руки грамотного врача. Клиническим случаем поделился Обмайкин Роман Юрьевич, эндодонтист клиники Parodent. Пациентка пришла на консультацию сама, без особых жалоб. Зубы никогда не лечила - не потому что не следили родители, а потому что на всех предыдущих осмотрах говорили, что всё в порядке и причин для беспокойства нет. "Всё хорошо" при визуальном
Оглавление

Очень серьёзные проблемы с зубами бывают не только у возрастных людей да у неблагополучного контенгента. Сегодня про юную деву расскажу, которая только перешагнула порог 18 лет, а уже познала всю печаль зубного бытия на грани фола.

И ведь ничего не предвещало! Не болит, не ноет, не реагирует на холодное - ни-че-го. Внешне всё хорошо (до последних дней). Зато внутри...такое, что смотришь на снимок и думаешь - ну как вообще так вышло вообще?

Этот случай - про молодость, которая не гарантирует отстутствия проблем с зубами. Он про кариес, который умеет прятаться. И он про везение - когда в начале жизненного пути (взрослого) удаётся попасть в руки грамотного врача.

Клиническим случаем поделился Обмайкин Роман Юрьевич, эндодонтист клиники Parodent.

Кариес у молодых - почему иногда "всё хорошо" на деле оказывается "всё плохо"

Пациентка пришла на консультацию сама, без особых жалоб. Зубы никогда не лечила - не потому что не следили родители, а потому что на всех предыдущих осмотрах говорили, что всё в порядке и причин для беспокойства нет.

"Всё хорошо" при визуальном осмотре без снимка Rg - это не диагноз. Это наблюдение невооружённым глазом. А кариес умеет расти там, до куда глаз не достаёт при всём опыте и желании.

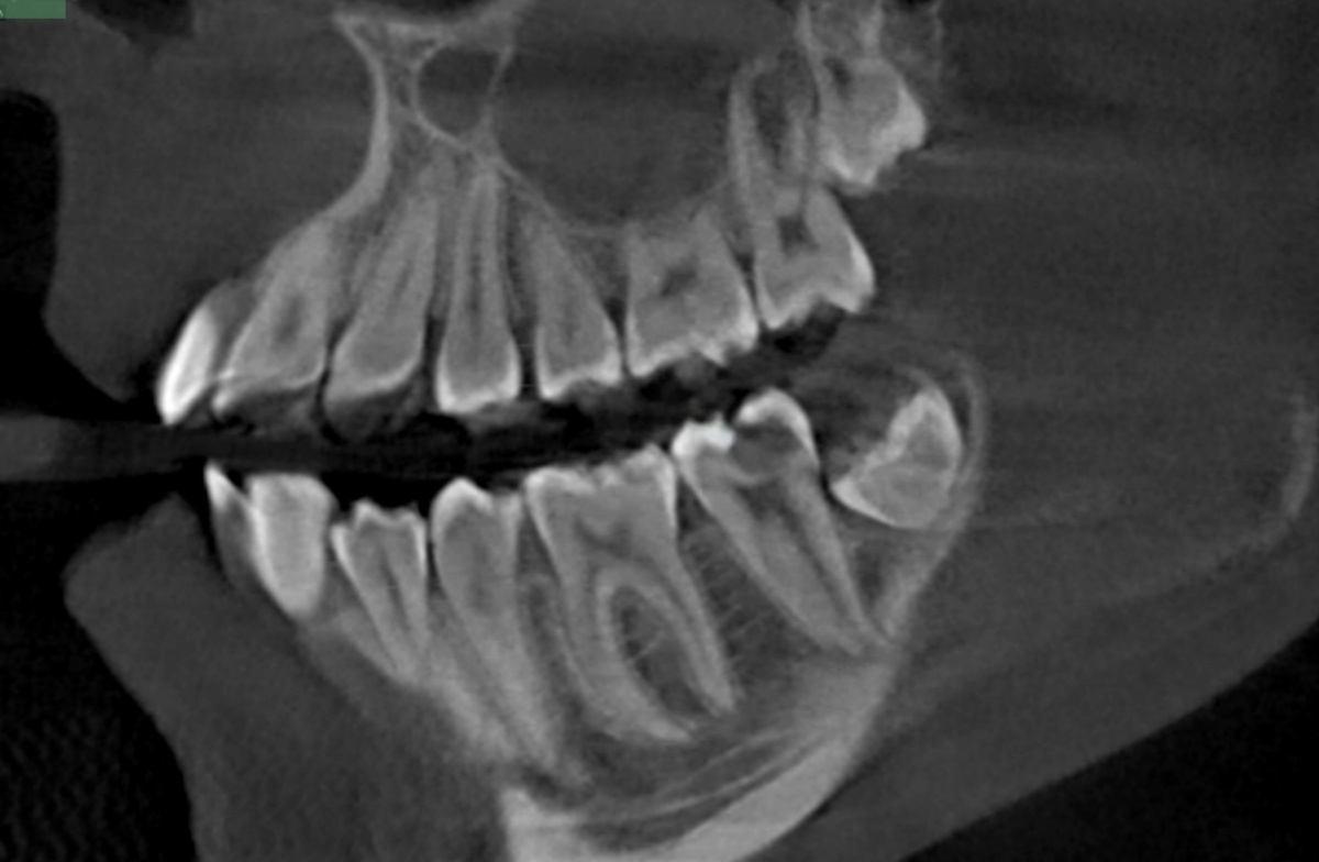
Сделали КТ. Картина оказалась неожиданной и пугающей - три больших кариеса. Сразу три больших кариозных поражения у человека, которому нет и двадцати и которому на каждом приёме говорили, что всё нормально.

Самым срочным оказался 3.7 зуб - нижняя семёрка слева. На него и обратили внимание в первую очередь:

Фото до лечения
Фото до лечения

И приступили к лечению.

Кариес без симптомов - лечение

На момент консультации зуб выглядел почти целым. Никаких жалоб - ни боли, ни реакции на горячее, ни ночных приступов. Единственное, что заметила сама пациентка к моменту лечения - небольшой скол стенки. Вот и всё.

Но снимок говорил другое - кариес был огромным.

-2

Проводим холодовую пробу - реакция кратковременная, быстро проходящая. Это означает, что пульпа жива. Но насколько долго она оставалась бы живой и далее - вопрос открытый. Запись к врачу состоялась через три месяца после первой консультации и за эти три месяцы зуб успел потерять кусок стенки.

Кариес не ждёт удобного момента. Он просто развивается и углубляется - тихо, методично, неотвратимо.

Роман Юрьевич настраивался на эндодонтию. Логика понятна - кариес давнишний, размер очень большой, пациентка молодая.

Особенность важная - у молодых пульпа рыхлая, с хорошим кровоснабжением, менее устойчивая к инфекции, чем склерозированная ткань у пациентов постарше.

Дентин при препарировании отходил пластами - картина декомпенсированного острого кариеса. Шансы сохранить нерв казались невысокими...

Но организм иногда удивляет.

Анестезию пациентке не ставили никогда ранее. Это важный момент - не технически, а психологически. Первый укол - это первый контакт с настоящей стоматологией. Плюс в семье очень отягощённый аллергоанамнез - пациентка принесла документы, подтверждающие отсутствие аллергии на анестетики. Провели проводниковую анестезию с минимальным содержанием адреналина - аккуратно, с запасом.

Дальше началось то, чего Роман Юрьевич, по его словам, не ожидал в таком масштабе.

Десна сильно наросла и перекрывала зуб, к нему было почти не подобраться. Поставить коффердам на этом этапе физически невозможно, так как нет обзора, нет рабочего пространства. Поэтому черновое препарирование (удаление основного массива кариозных тканей) проводилось без изоляции.

Убрали главный объём кариеса. Скорректировали десну коагулятором - это электрохирургический инструмент, позволяющий аккуратно убрать избыточную ткань без скальпеля:

Убрали десну коагулятором
Убрали десну коагулятором

Только после этого зуб открылся достаточно, чтобы поставить коффердам.

Чистовое препарирование (финальное, прецизионное удаление поражённых тканей) проводилось уже в условиях полной изоляции. Коффердам исключает попадание слюны в рабочую зону - это не просто чистота, это принципиальное условие для любой работы, где важен результат.

Работали на низких оборотах. Боры меняли на новые по мере продвижения вглубь, чтобы каждый слой снимался чисто, без давления и лишнего нагрева. Проверяли кариес-маркером несколько раз - окрашивания не было. Вскрытия пульпы - тоже.

Но под увеличением в области дистальных рогов пульпы были видны красные точки:

-4

Без кровоточивости. Это граница - там, где кариес подошёл вплотную, но не пробил последний барьер.

Именно здесь всё и решается для пульпы - будет эндолечение или нет. Если точка кровит - пульпа вскрыта и разговор идёт уже о вмешательстве в каналы. Если нет крови - есть шанс оставить зуб живым.

Но крови не было. Хооший знак.

Прямое покрытие пульпы МТА

Точки соприкосновения с пульпой закрыли МТА - минеральным триоксидным агрегатом:

МТА
МТА

Это биосовместимый материал, который используется для прямого покрытия пульпы, он создаёт герметичный барьер, стимулирует образование дентинного мостика и даёт "нерву" условия для дальнейшей жизни.

МТА - не единственный материал для такой задачи, но один из наиболее изученных и предсказуемых. При правильном применении он обеспечивает хорошие долгосрочные результаты даже в сложных случаях.

После изоляции пульпы идёт этап восстановления зуба. Поставили матрицы, восстановили разрушенные стенки:

Стенки восстановлены
Стенки восстановлены

Провели полноценную реставрацию:

Зуб восстановлен композитной пломбой
Зуб восстановлен композитной пломбой

Контрольный снимок подтвердил - краевое прилегание в норме:

Контрольный снимок после лечения
Контрольный снимок после лечения

Главной задачей было сохранить зуб, а не "нерв"

Роман Юрьевич особо отметил это в своём рассказе и я считаю важным повторить здесь.

Сохранение пульпы в этом случае - приятный бонус, а не первичная цель. Первичная цель была другая - сохранить зуб.

Кариес был настолько глубоким и обширным, что если бы он ушёл ещё чуть ниже по корню, то зуб пошёл бы под удаление. Не лечение каналов ему бы грозило, а удаление самого зуба. Потому что разрушение достигло бы такого уровня, при котором восстановление уже невозможно.

Потеря семёрки в 18 лет - беда и с этим не поспоришь.

Работа велась тщательно - поэтапно, с заменой инструментов, с коррекцией десны, с многократной проверкой кариес-маркером. Не чтобы сделать "красиво" и сохранить "нерв". А чтобы спасти зуб.

"Нерв" сохранить удалось. Это хорошо. Но был спасён зуб - и это важнее.

Зуб взят под контроль. Это обязательный этап после любого прямого покрытия пульпы - нужно убедиться, что нерв действительно жив, что не развивается воспаление, что дентинный мостик формируется нормально.

Контрольный фриз-тест, контрольные снимки через несколько месяцев. Если всё хорошо, то зуб остаётся жить со своим нервом. Если нет - план меняется.

Это честная позиция, мы не обещаем результат навсегда, мы обещаем делать всё правильно и следить за последствиями.

Параллельно составлен план санации, ведь ещё два кариеса ждут своей очереди. Работа продолжается.

Почему молодые зубы ещё более подвержены глубокому кариесу, чем зубы взрослые

Есть распространённое заблуждение - молодые зубы крепкие, у молодых кариес бывает мелкий только, поверхностный. Это неправда.

У молодых пациентов дентинные канальцы широкие, пульпарная камера большая, пульпа - рыхлая и хорошо кровоснабжаемая. Это значит, что кариес при определённых условиях распространяется быстро в глубину, по всему фронту, агрессивно. Декомпенсированный острый кариес, он именно такой - он не даёт симптомов, пока не доходит до пульпы, но за это время успевает разрушить значительную часть зуба.

Защитные механизмы у молодых тоже работают, в этом случае они сработали. Но рассчитывать на них как на стратегию - нельзя.

КТ - вот что важно, вот где видно скрытое.

Вывод

Этот случай не является исключительным, подобное случается часто.

Кариес не болит, он умеет прятаться под внешне целой эмалью. Он умеет дорастать до огромного размера, не дав ни одного серьёзного симптома. А когда симптомы появляются - бывает, что уже поздно.

Зуб этой пациентки удалось сохранить - и с живой пульпой, и в полной функции. Потому что успели вовремя. Потому что сделали снимок, когда было ещё не поздно. Потому что врач не сдался при виде сложной клинической картины и сделал всё правильно.

Восемнадцать лет - это возраст, когда кажется, что проблем со здоровьем просто быть не может. Но зубы думают иначе.

Больше материалов по терапии в подборке:

Наша терапия | Parodoctor | Дзен

Если вам интересны подобные клинические истории - подписывайтесь на канал Parodoctor в Telegram и в MAX, возможность писать комментарии открыта на всех площадках. Там я рассказываю о стоматологии без прикрас: сложные случаи, нестандартные решения и то, что остаётся за кадром обычного приёма. Именно там я отвечаю на вопросы подписчиков, привлекая к ответам врачей команды, если это требуется.

Телеграмм:

Parodoctor

МАХ:

Parodoctor

С уважением, Лежачёва Наталия Александровна, хирург-пародонтолог и главный врач стоматологии Parodent, СПб.