Найти в Дзене
Екатерина Ляпина

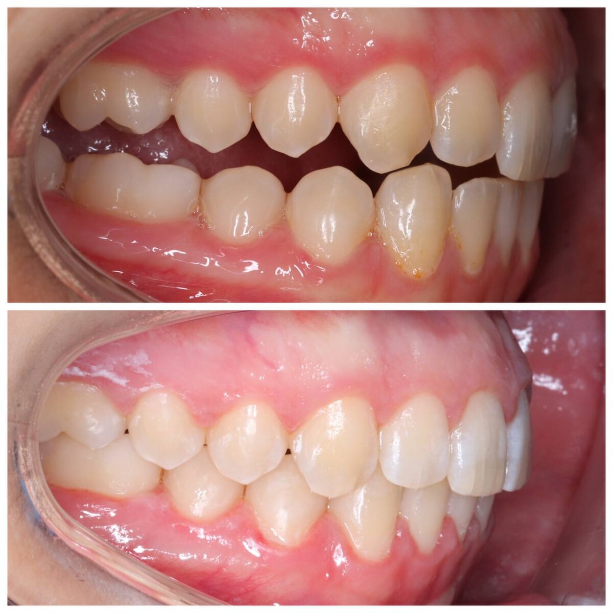
Как я долечивала пациента после гнатолога

? Пациент пришёл ко мне на долечивание с небольшим осложнением — видно на фото «до», где рот закрыт. 8ки прорезадись в высоту сплинта и не давали закрыть рот. Но для меня это даже плюс! Дополнительная опора 👍🏻 Схема лечения: брекеты, затем сплинт и резинки для смыкания зубов. Весь процесс занял полтора года. Что важно понимать про лечение ВНЧС? Заболевание может возникнуть даже у людей с идеально ровными зубами. Факторов, влияющих на сустав, множество — и далеко не все из них в зоне контроля ортодонта. Но в данном случае нам удалось улучшить позицию в суставе и укрепить гипермобильные связки. Более того, важно помнить: дисфункция ВНЧС — это комплексная проблема. Иногда требуется работа не только ортодонта, но и других специалистов. Пациент доволен результатом, функция сустава восстановлена.👌🏻

Как я долечивала пациента после гнатолога?

Пациент пришёл ко мне на долечивание с небольшим осложнением — видно на фото «до», где рот закрыт. 8ки прорезадись в высоту сплинта и не давали закрыть рот. Но для меня это даже плюс! Дополнительная опора 👍🏻

Схема лечения: брекеты, затем сплинт и резинки для смыкания зубов. Весь процесс занял полтора года.

Что важно понимать про лечение ВНЧС?

Заболевание может возникнуть даже у людей с идеально ровными зубами. Факторов, влияющих на сустав, множество — и далеко не все из них в зоне контроля ортодонта.

Но в данном случае нам удалось улучшить позицию в суставе и укрепить гипермобильные связки.

Более того, важно помнить: дисфункция ВНЧС — это комплексная проблема. Иногда требуется работа не только ортодонта, но и других специалистов.

Пациент доволен результатом, функция сустава восстановлена.👌🏻