Добавить в корзинуПозвонить
Найти в Дзене

Десна краснеет и кровит при чистке

Десна краснеет и кровит при чистке - значит, я травмирую щёткой? Чаще наоборот: кровь - это признак воспаления, а не «слишком старательная щётка». На фото - мой пациент. На фоне оголения корня и воспаления ситуация постепенно прогрессировала, поэтому мы решили проблему хирургически - с помощью пластики десны. Но важно понимать: если операция не проводится, домашняя гигиена должна быть практически идеальной. А при оголённом корне это сделать намного сложнее. шероховатый корень → налёт → камень → воспаление → рецессия 1. Оголенный корень - это уже не гладкая эмаль. Корневая поверхность (цемент/дентин) удерживает бактериальную пленку гораздо легче. Поэтому при рецессии камень образуется значительно быстрее. 2. Чем шероховатее поверхность, тем больше бактерии цепляются и растут. Это подтверждают экспериментальные исследования: на более грубых поверхностях адгезия бактерий выше. 3. Налёт минерализуется → появляются поддесневые камни. И важно понимать/ камень - это не просто “грязь”, он
Оглавление
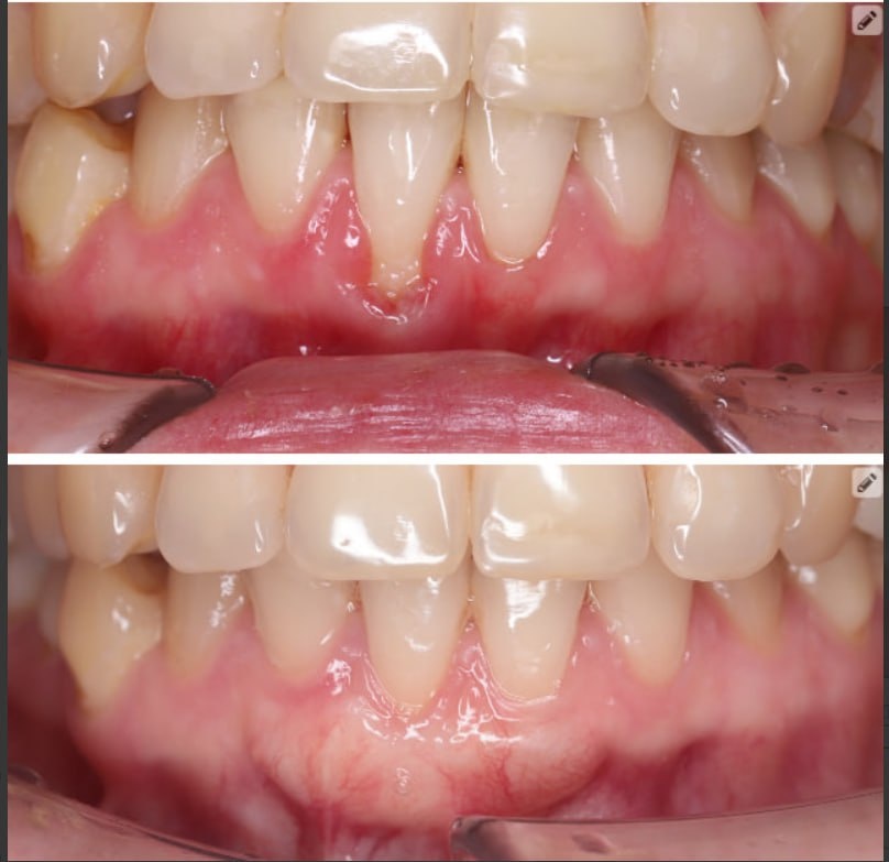
Десна краснеет и кровит при чистке - значит, я травмирую щёткой?

Чаще наоборот: кровь - это признак воспаления, а не «слишком старательная щётка».

На фото - мой пациент. На фоне оголения корня и воспаления ситуация постепенно прогрессировала, поэтому мы решили проблему хирургически - с помощью пластики десны.

Но важно понимать: если операция не проводится, домашняя гигиена должна быть практически идеальной. А при оголённом корне это сделать намного сложнее.

Что происходит при рецессии:

шероховатый корень → налёт → камень → воспаление → рецессия

1. Оголенный корень - это уже не гладкая эмаль. Корневая поверхность (цемент/дентин) удерживает бактериальную пленку гораздо легче. Поэтому при рецессии камень образуется значительно быстрее.

2. Чем шероховатее поверхность, тем больше бактерии цепляются и растут. Это подтверждают экспериментальные исследования: на более грубых поверхностях адгезия бактерий выше.

3. Налёт минерализуется → появляются поддесневые камни. И важно понимать/ камень - это не просто “грязь”, он сам поддерживает воспаление тканей.

4. Воспаление + налёт + камни → десна постепенно отступает. Корень оголяется ещё сильнее - и запускается замкнутый круг.

Почему десна краснеет и кровит при чистке

При налёт-индуцированном воспалении десна становится “рыхлой”, сосуды расширяются, ткани легче травмируются. Поэтому кровоточивость при чистке - типичный признак воспаления и скорее “сигнал тревоги”, а не повод перестать чистить зубы.

Почему больно чистить у воспалённой десны и у шейки зуба

Тут обычно 2 причины одновременно:

1. Воспалённая десна чувствительна к прикосновению. Ткани раздражены и реагируют болью.

2. Оголённая шейка/дентин вызывает “прострелы”. Щётки, холодного, кислого - все может провоцировать боль. Это классическая гиперчувствительность дентина (механизм боли описывают в обзорах по DHS).

И получается ловушка: человеку больно → он чистит хуже → налёт растёт → воспаление усиливается.

Как сохранить баланс - идеальная гигиена без травмы

Рабочая схема выглядит так:

1) Щётка мягкая + давление минимальное. Если щетина заметно сгибается - давление уже избыточное.

2) Без «пилящих» движений по шейке зуба. Задача - удалить налёт у края десны, а не травмировать поверхность корня.

3) Электрощётка часто помогает. Исследования показывают, что powered toothbrushes могут улучшать контроль налёта и связанную с ним воспалённость дёсен (при правильной технике). Не круглые щетки.

4) Межзубная гигиена обязательна (ершики/нити). Именно там часто остаётся биоплёнка, которая поддерживает воспаление.

5) Паста с низкой абразивностью + десенситайзер в составе. Это уменьшает чувствительность и помогает не избегать чистки.

6) Профессиональная гигиена. Удаление поддесневых отложений необходимо. Идеально - по протоколу GBT. Без удаления камня воспаление полностью не уходит.

7) Когда корень сильно оголен и гигиена становится болезненной и сложной - мы обсуждаем хирургическое закрытие или утолщение тканей. Это позволяет защитить корень и сделать уход за зубами намного проще.

Разборы клинических случаев, этапы операций и профессиональные комментарии публикую на канале «Доктор Панкрашова».

Мини-тест «Когда пора к пародонтологу»

1. Кровоточивость повторяется неделю и дольше

2. Больно чистить, поэтому вы начинаете пропускать участки

3. Оголение корня увеличивается

4. У шейки постоянно застревает налёт. Камень быстро возвращается.

-2