Добавить в корзинуПозвонить
Найти в Дзене

Что такое псориаз. Причины и симптомы болезни

Замечали ли вы когда-нибудь, как кожа на локтях или коленях вдруг становится сухой, шершавой, начинает шелушиться? Сначала маленькое пятнышко, потом побольше. Чешется, зудит, но вы мажете кремом и думаете: «Обычная сухость от воды, возраст, нехватка витаминов». Знакомо? Именно так многие из нас игнорируют первые звоночки, которые подает наш организм. Отмахиваемся, списываем на усталость или возраст. А ведь иногда за таким, казалось бы, безобидным шелушением может скрываться нечто более серьезное, требующее внимания. Многие пропускают этот сигнал, думая, что это лишь временное явление или следствие усталости. Но иногда стоит прислушаться к своему телу повнимательнее. Особенно это актуально для тех, кому уже за 50, а то и за 70. В этом возрасте обмен веществ замедляется, кожа становится тоньше, суше, и на ней чаще появляются подобные «непонятные» пятна. Вы замечаете это после душа, при смене одежды или просто когда прикасаетесь к себе. Думаете: «Ну вот, опять!» Что же это может быть? Одн
Оглавление

Что такое псориаз: причины и симптомы болезни

Замечали ли вы когда-нибудь, как кожа на локтях или коленях вдруг становится сухой, шершавой, начинает шелушиться? Сначала маленькое пятнышко, потом побольше. Чешется, зудит, но вы мажете кремом и думаете: «Обычная сухость от воды, возраст, нехватка витаминов». Знакомо?

Именно так многие из нас игнорируют первые звоночки, которые подает наш организм. Отмахиваемся, списываем на усталость или возраст. А ведь иногда за таким, казалось бы, безобидным шелушением может скрываться нечто более серьезное, требующее внимания.

Многие пропускают этот сигнал, думая, что это лишь временное явление или следствие усталости. Но иногда стоит прислушаться к своему телу повнимательнее.

Кому это особенно знакомо

Особенно это актуально для тех, кому уже за 50, а то и за 70. В этом возрасте обмен веществ замедляется, кожа становится тоньше, суше, и на ней чаще появляются подобные «непонятные» пятна. Вы замечаете это после душа, при смене одежды или просто когда прикасаетесь к себе. Думаете: «Ну вот, опять!»

Что такое псориаз и почему он появляется

Что же это может быть? Одно из таких состояний, о котором стоит знать, — это псориаз. Это не просто «болячка» на коже, а хроническое заболевание, связанное с тем, как быстро растут и обновляются клетки вашей кожи. Вместо того чтобы созревать за месяц, они спешат и появляются на поверхности всего за несколько дней.

Именно здесь часто ошибаются, считая это просто сухой кожей, которую можно вылечить обычным увлажняющим кремом. Но псориаз требует другого подхода.

Важный нюанс, который многие упускают

И есть один нюанс, о котором знают немногие. Псориаз – это не заразно. Вы не можете подхватить его, пожав руку человеку или пользуясь одним полотенцем. Это очень важно понимать, чтобы не было никаких заблуждений и переживаний по этому поводу.

Причины псориаза до конца не изучены, но врачи сходятся во мнении, что это чаще всего связано с нарушением работы иммунной системы и генетической предрасположенностью. Если у кого-то в вашей семье был псориаз, то и у вас риск его развития выше.

Когда стоит насторожиться: сигналы проблемы

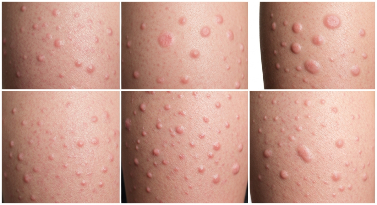
Так когда же обычная сухость превращается в возможный сигнал тревоги? Если пятна начинают появляться не только на локтях и коленях, но и на волосистой части головы, под ногтями, или на других участках тела. Если зуд становится нестерпимым, а сами пятна краснеют, покрываются серебристыми чешуйками и не проходят даже после применения обычных увлажняющих кремов.

Признаки, на которые стоит обратить внимание

Вот несколько ключевых признаков, которые заслуживают внимания и повод задуматься о визите к специалисту:

  • Красные пятна с четкими границами: Часто покрыты сухими, серебристо-белыми чешуйками. При соскабливании чешуек может появиться капелька крови.
  • Сильный зуд и жжение: Могут быть очень интенсивными, мешать спать и снижать качество жизни.
  • Поражение ногтей: Изменение цвета ногтевой пластины (желтые, коричневые), утолщение, расслоение, появление точечных углублений (как будто иголочкой накололи).
  • Шелушение на коже головы: Часто похоже на перхоть, но более плотное, стойкое и вызывает зуд.
  • Ухудшение состояния после стресса, простуды или приема некоторых лекарств: Псориаз очень чувствителен к состоянию иммунитета и нервной системы.

Что обычно рекомендуют врачи

Что же делать? Если вы заметили у себя подобные симптомы, врачи обращают внимание на одну деталь: никогда не занимайтесь самолечением. Это хроническое заболевание, и подход к нему должен быть комплексным и индивидуальным. Обычно сначала рекомендуют использовать специальные кремы и мази, которые помогают уменьшить воспаление, замедлить рост клеток кожи и снять зуд.

Также могут быть назначены физиопроцедуры, а в более серьезных случаях – системные препараты. Главное – подобрать то, что подходит именно вам, под контролем опытного врача.

Когда лучше не откладывать визит к врачу

Не откладывайте визит к дерматологу, если:

  • Пятна стремительно распространяются по всему телу и занимают большую площадь.
  • Зуд невыносим и мешает вашей повседневной жизни, сну, работе.
  • Появляются боли, скованность или отеки в суставах – это может быть признаком псориатического артрита, еще одной серьезной формы болезни.
  • Обычные средства, которые вы пробовали, не приносят никакого облегчения, и состояние только ухудшается.

Позаботьтесь о себе

Помните, что своевременная диагностика и правильно подобранное лечение могут значительно улучшить качество вашей жизни. Псориаз – это не приговор, а состояние, с которым можно и нужно успешно жить. Главное – вовремя обратить внимание на сигналы своего тела и обратиться за помощью к специалисту.

А вы сталкивались с подобными изменениями кожи? Какие методы вам помогали? Поделитесь своим опытом в комментариях, ведь ваш опыт может быть полезен другим! А если хотите получить подробный гайд «10 важных шагов к здоровой коже при псориазе», напишите кодовое слово «КОЖА» в сообщения сообщества!