Найти в Дзене
D2D Expert

Клинический случай: неожиданные находки при исследовании головного мозга

Логинова Екатерина Семеновна, врач-рентгенолог "Клиники Эксперт" г. Тула В клинику обратилась женщина Ш. 39 лет, с жалобами на слабость в левых конечностях, головокружение, общую слабость. Направлена после консультации невролога, с подозрением на ОНМК (спастический левосторонний гемипарез). Выполнено МРТ головного мозга с внутривенным контрастным усилением. При обследовании выявлены изменения: На границе правой лобной и правой теменной долей, с распространением в область базальных ядер справа, определяется кистозно-солидное объемное образование, неправильной округлой формы, изо-гипоинтенсивного сигнала на Т2ВИ, изо-гипоинтенсивного сигнала на Т1 ВИ, с выраженным перифокальным отеком вещества мозга, масс-эффектом в виде деформации прилежащих отделов правого бокового желудочка, примерными размерами 2,3х2,6х3,1 см. Аналогичные образования меньших размеров определяются: Субарахноидальные пространства и борозды больших полушарий неравномерно сужены на уровне образований за счет перифокаль

Логинова Екатерина Семеновна, врач-рентгенолог "Клиники Эксперт" г. Тула

В клинику обратилась женщина Ш. 39 лет, с жалобами на слабость в левых конечностях, головокружение, общую слабость. Направлена после консультации невролога, с подозрением на ОНМК (спастический левосторонний гемипарез). Выполнено МРТ головного мозга с внутривенным контрастным усилением.

При обследовании выявлены изменения:

На границе правой лобной и правой теменной долей, с распространением в область базальных ядер справа, определяется кистозно-солидное объемное образование, неправильной округлой формы, изо-гипоинтенсивного сигнала на Т2ВИ, изо-гипоинтенсивного сигнала на Т1 ВИ, с выраженным перифокальным отеком вещества мозга, масс-эффектом в виде деформации прилежащих отделов правого бокового желудочка, примерными размерами 2,3х2,6х3,1 см.

Аналогичные образования меньших размеров определяются:

  • в области базальных ядер слева, с масс-эффектом в виде компрессии левого бокового желудочка;
  • на границе правых височной и затылочной долей;
  • в области гиппокампов с обеих сторон (2);
  • в задних отделах левой лобной доли;
  • в передних отделах левой лобной доли;
  • в задних отделах правой лобной доли;
  • в корпусе мозолистого тела.

Субарахноидальные пространства и борозды больших полушарий неравномерно сужены на уровне образований за счет перифокального отека мозгового вещества по периферии образований. Всего визуализируемых образований 9.

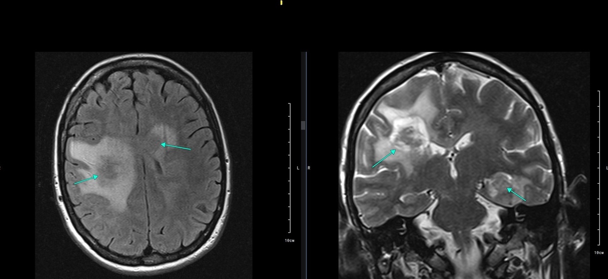
-2

Рис. 1. Т2 FLAIR аксиальная плоскость, Т2 корональная плоскость (слева направо). Стрелками в аксиальной плоскости указаны объемные образования на границе правых лобной и теменной долей, а также образование в области базальных ядер слева; в корональной плоскости – образование на границе правых лобной и теменной долей и образование в области гиппокампа слева. На Т2ВИ в корональной плоскости отчетливо визуализируется неоднородная кистозно-солидная структура, неравномерно сниженный МР сигнал и перифокальный отек по периферии образований.

-3

Рис. 2. Т2 FLAIR аксиальная плоскость, Т2 корональная плоскость (слева направо). Стрелками в аксиальной плоскости указаны объемные образования на границе правых височной и затылочной долей, образование в левой лобной доле и образование в области левого гиппокампа; в корональной плоскости – образование на границе правых височной и затылочной долей.

-4

Рис. 3. Т2 аксиальная плоскость, Т1 сагиттальная плоскость (слева направо). Стрелками в аксиальной плоскости указаны объемные образования на границе правых лобной и теменной долей, образование в области базальных ядер слева и образование в корпусе мозолистого тела; в сагиттальной плоскости – визуализация образования в режиме Т1, расположенного на границе правых лобной и теменной долей.

-5

Рис. 4. Диффузионно-взвешенное изображение (DWI), ADC карта (слева направо). Повышенный сигнал на DWI, сниженный на ADC карте от узлов + увеличение коэффициента диффузии в участках центрального некроза.

-6

Рис. 5. Постконтрастные изображения: Т1 аксиальная плоскость, Т1 корональная плоскость (слева направо). Определяется интенсивное диффузно-неоднородное, преимущественно периферическое (кольцевидное) накопление парамагнетика всеми выявленными объемными образованиями. Стрелками в аксиальной плоскости указано накопление парамагнетика объемным образованием на границе правых лобной и теменной долей, а также образованием в области базальных ядер слева; в корональной плоскости – образованиями на границе правых лобной и теменной долей, образованием в области гиппокампа слева и в корпусе мозолистого тела.

Заключение: МР-картина многочисленных объемных образований обоих полушарий головного мозга.

При тщательном сборе анамнеза установлено, что пациентка около 8 лет страдает ВИЧ и вирусным гепатитом С. На учете в центре СПИДА не состоит, АРВТ не принимает.

На основании данных анамнеза, клинической картины и результатов МРТ головного мозга следует предполагать наличие оппортунистической инфекции – токсоплазмоз головного мозга.

Приобретенный токсоплазмоз (токсоплазмозный энцефалит) – наиболее частая оппортунистическая инфекция ЦНС у пациентов со СПИД. Вызывается паразитом Toxohlasma gondii.

МР-визуализация:

  • Т2 – гипоинтенсивный сигнал + гиперинтенсивный периферический отек; отек часто непропорционально большей протяженности по отношению к размеру поражения;
  • FLAIR – может наблюдаться симптом мишени;
  • Т1 – гипоинтенсивные поражения с нечеткими контурами;
  • ДВИ – увеличение коэффициента диффузии в участках центрального некроза;
  • Постконтрастные Т1 – участок узелкового характера накопления контраста, окруженный контрастируемым ободком.

Наиболее частая локализация – базальные ганглии, граница между корой и белым веществом, таламус, мозжечок. Размеры обычно 2-3 см в диаметре; округлая или овоидная форма.

Дифференциальный диагноз:

Лимфома – одиночное объемное образование у пациента с ВИЧ/СПИД – лимфома> токсоплазмоз.

Другие оппортунистические инфекции - криптококкоз, ПМЛ (накопление контраста обычно не наблюдается).

Больше полезного и интересного на наших площадках:

🔄 Telegram D2D Неврология Expert

🔄 MAX D2D Неврология Expert