Найти в Дзене
Ильинская больница

Двойной удар: механизм противоударной травмы головы на примере из практики

Сегодня представим вам клинический случай, в основе которого лежит классический механизм ударно-противоударной травмы головы. Пациент 40 лет, страдающий гипертонической болезнью, обратился в Отделение экстренной помощи через несколько дней после падения. За 2 недели до падения пациенту была проведена коррекция антигипертензивной терапии с увеличением дозы одного из препаратов. В день падения при резком вставании с кровати пациент почувствовал головокружение, упал и потерял сознание. Головокружение и потеря сознания могли быть проявлением так называемой «ортостатической гипотензии», когда организм не успевает отреагировать на повышенную потребность в кровотоке при резкой вертикализации, которая может быть побочным эффектом антигипертензивных препаратов, а также следствием обезвоживания или хронических заболеваний. Пациент обратился в Ильинскую больницу, где была проведена компьютерная томография головного мозга и выявлены следующие изменения: Перелом костей черепа и ушиб головного мозга

Сегодня представим вам клинический случай, в основе которого лежит классический механизм ударно-противоударной травмы головы.

Пациент 40 лет, страдающий гипертонической болезнью, обратился в Отделение экстренной помощи через несколько дней после падения.

За 2 недели до падения пациенту была проведена коррекция антигипертензивной терапии с увеличением дозы одного из препаратов.

В день падения при резком вставании с кровати пациент почувствовал головокружение, упал и потерял сознание. Головокружение и потеря сознания могли быть проявлением так называемой «ортостатической гипотензии», когда организм не успевает отреагировать на повышенную потребность в кровотоке при резкой вертикализации, которая может быть побочным эффектом антигипертензивных препаратов, а также следствием обезвоживания или хронических заболеваний.

Пациент обратился в Ильинскую больницу, где была проведена компьютерная томография головного мозга и выявлены следующие изменения:

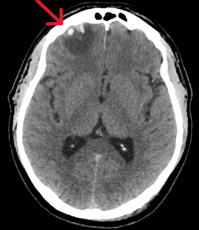
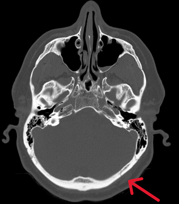
  • перелом затылочной кости слева (то место, куда пришелся удар при падении);
  • ушиб (контузия) мозга с геморрагическими включениями в правой лобной доле (противоположная от удара сторона).
    Такой механизм травмы обусловлен тем, что мозг имеет подвижность внутри черепной коробки и после первого удара «отскакивает» и ударяется о противоположную стенку черепа.
-2

Перелом костей черепа и ушиб головного мозга требуют экстренной консультации нейрохирурга и госпитализации пациента, так как приводят к осложнениям, самые грозные из которых:

  • отек головного мозга;
  • кровоизлияния с формированием гематом;
  • развитие неврологического дефицита в виде парезов и параличей.

Пациент был передан на курацию в нейрохирургическую службу Ильинской больницы, успешно проходит лечение и наблюдение на амбулаторном этапе.

Автор: терапевт Василевский Станислав Андреевич.