Найти в Дзене
Дентал Премиум

Как я подарил пациентке новую жизнь?

Рассказывает Кузнецов Артем Алексеевич – стоматолог-ортопед, гнатолог клиники «Дентал Премиум».
Бывают случаи, когда пациент приходит не за красотой, а за спасением.
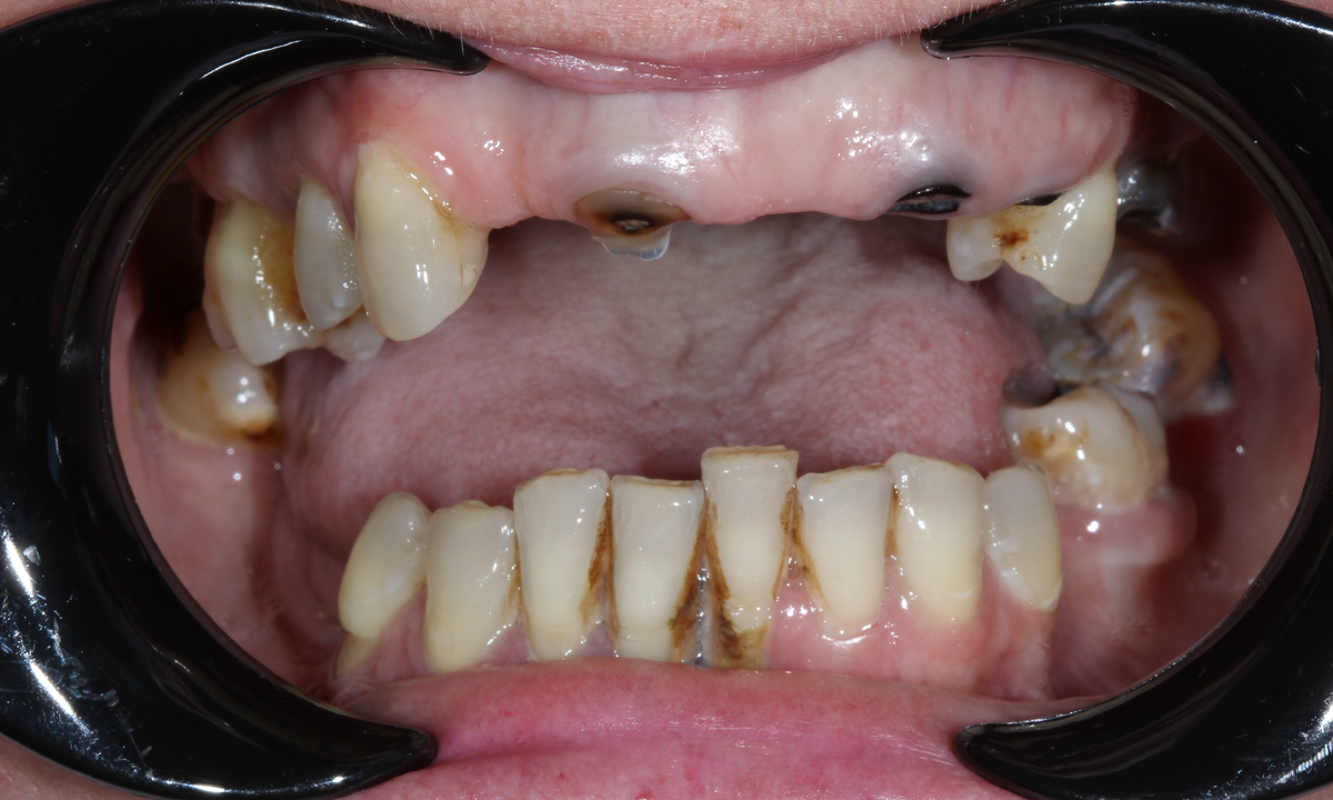
В августе ко мне обратилась женщина с серьезной проблемой: большинство зубов были разрушены, а те, что остались, находились в плачевном состоянии.
Но главная сложность скрывалась глубже. Из-за долгого отсутствия зубов и их разрушения
Оглавление

Рассказывает Кузнецов Артем Алексеевич – стоматолог-ортопед, гнатолог клиники «Дентал Премиум».

Бывают случаи, когда пациент приходит не за красотой, а за спасением.

В августе ко мне обратилась женщина с серьезной проблемой: большинство зубов были разрушены, а те, что остались, находились в плачевном состоянии.

Но главная сложность скрывалась глубже. Из-за долгого отсутствия зубов и их разрушения у пациентки произошло критическое снижение высоты прикуса. Ситуация дошла до того, что нижние зубы при смыкании буквально касались корней верхних.

Поехали разбираться в ситуации.

Это не просто эстетический дефект. Это серьезная нагрузка на суставы и постоянный дискомфорт.

План спасения «Все на четырех»

После диагностики и оценки КТ я понял, что спасти отдельные зубы уже невозможно. Воспалительные процессы зашли слишком далеко. Мы обсудили с пациенткой радикальное, но единственно верное решение полное восстановление по протоколу All-on-4 (установка 4 имплантатов на каждую челюсть).

Объем вмешательства был очень большим, поэтому мы разделили работу на этапы:

  1. Удалили зубы на верхней челюсти и установили имплантаты с фиксацией временного адаптационного протеза.
  2. Через неделю провели аналогичную операцию на нижней челюсти.

Почему нельзя было поставить постоянные зубы сразу?

Следующие три месяца пациентка ходила с временными протезами из пластмассы. Их задача заключалась не только в возможности дать человеку жевать и улыбаться, но и буквально научить мышцы лица и суставы работать на новой, правильной высоте.

Это был период адаптации. Пациентка несколько раз приходила на коррекцию: мы миллиметр за миллиметром выверяли прикус, чтобы челюсти смыкались максимально естественно и удобно.

Фотографии из прошлого стали нашим путеводителем

В процессе работы мы столкнулись с интересным нюансом. На адаптационном протезе зубной ряд казался пациентке слишком узким. Но так как старые зубы были сильно стерты, нам не на что было ориентироваться при моделировании.

Тогда мы попросили ее найти старые фотографии, где она широко улыбается со своими здоровыми зубами. Эти снимки стали для нас ориентиром. Мы расширили зубной ряд, воссоздав природную форму, которая была у нее раньше.

Почему материалы на челюстях разные?

Когда пришло время менять временные конструкции на постоянные, мы выбрали разные материалы для верха и низа. И это осознанное решение:

  • Верхняя челюсть: циркониевая конструкция. При улыбке мы видим в основном верхние зубы, поэтому здесь важна безупречная эстетика и яркость (пациентка выбрала эффектный оттенок B1).
  • Нижняя челюсть: титано-композитный протез. Это титановая балка с нанесенной на нее композитной облицовкой.
Состояние улыбки после восстановления челюсти с помощью циркониевой конструкции на верхней челюсти и титано-композитного протеза на нижней челюсти
Состояние улыбки после восстановления челюсти с помощью циркониевой конструкции на верхней челюсти и титано-композитного протеза на нижней челюсти

Зачем такая комбинация?

В гнатологии нижний протез часто служит предохранителем. Цирконий – это невероятно прочный материал. Если установить две встречные циркониевые конструкции, при случайной травме или резком накусывании твердого предмета (например, вилки) есть риск скола, который потребует полной замены дорогостоящего протеза.

В нашем случае, если возникнет критическая нагрузка, пострадает композитная облицовка на нижней челюсти. Ее можно восстановить в кабинете врача, не меняя всю конструкцию. По сути, это страховка для пациента.

Жизнь после фиксации

Через две недели после установки финальных конструкций мы провели контрольный осмотр:

  1. Прикус в норме
  2. Функция восстановлена
  3. Пациентка полностью довольна отражением в зеркале

Посмотрите на этот результат!

Теперь мы будем встречаться раз в полгода. На таких приемах мы проверяем работу сустава и проводим техническое обслуживание: откручиваем конструкции, проводим их профессиональную чистку и возвращаем на место.

Восстановление улыбки при тотальном разрушении – это не просто стоматология. Это сочетание хирургии, гнатологии и поиск нестандартных решений. Например, работа с фотографиями из прошлого. И все ради моих пациентов!

Хотите узнать, какое решение подойдет именно в вашем случае? Запишитесь на консультацию по телефону 8 (812) 501–10–04

или на сайте "Дентал Премиум"

Кузнецов Артем Алексеевич – стоматолог-ортопед, гнатолог клиники «Дентал Премиум»
Кузнецов Артем Алексеевич – стоматолог-ортопед, гнатолог клиники «Дентал Премиум»

Автор статьи: Кузнецов Артем Алексеевич – стоматолог-ортопед, гнатолог клиники «Дентал Премиум»