Добавить в корзинуПозвонить
Найти в Дзене
Naked Science

В России предложили малоинвазивный способ оценки тяжести миокардита

Ученые Сеченовского Университета установили, что определение свободных легких цепей иммуноглобулинов (FLC) в крови может служить дополнительным инструментом для оценки тяжести миокардита и риска развития сердечной недостаточности. Миокардит — воспалительное заболевание сердечной мышцы, которое может развиваться после инфекции или на фоне иммунных нарушений. Оно остается одним из самых сложных для неинвазивной диагностики: до сих пор не существует лабораторного теста, позволяющего уверенно подтвердить или исключить диагноз. «Золотым стандартом» остается биопсия миокарда, однако метод инвазивен и применяется ограниченно, а такие распространенные маркеры, как тропонин и С-реактивный белок, при миокардите часто остаются в пределах нормы. Идея исследования была связана с поиском доступных неинвазивных маркеров иммунного воспаления. Свободные легкие цепи иммуноглобулинов являются продуктом активности B-лимфоцитов, которые играют важную роль в патогенезе миокардита, однако ранее этот показате
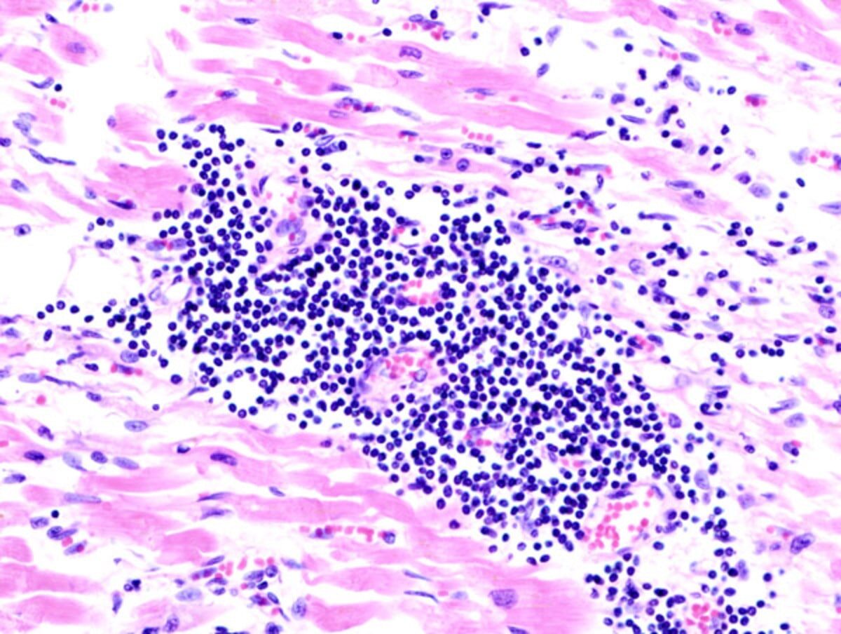
   Микрография миокардита / © BellRap, Wikipedia
Микрография миокардита / © BellRap, Wikipedia

Ученые Сеченовского Университета установили, что определение свободных легких цепей иммуноглобулинов (FLC) в крови может служить дополнительным инструментом для оценки тяжести миокардита и риска развития сердечной недостаточности.

Миокардит — воспалительное заболевание сердечной мышцы, которое может развиваться после инфекции или на фоне иммунных нарушений. Оно остается одним из самых сложных для неинвазивной диагностики: до сих пор не существует лабораторного теста, позволяющего уверенно подтвердить или исключить диагноз. «Золотым стандартом» остается биопсия миокарда, однако метод инвазивен и применяется ограниченно, а такие распространенные маркеры, как тропонин и С-реактивный белок, при миокардите часто остаются в пределах нормы.

Идея исследования была связана с поиском доступных неинвазивных маркеров иммунного воспаления. Свободные легкие цепи иммуноглобулинов являются продуктом активности B-лимфоцитов, которые играют важную роль в патогенезе миокардита, однако ранее этот показатель практически не использовался в диагностике воспалительных заболеваний миокарда. Результаты исследования опубликованы в международном журнале Diagnostics.

«Мы постоянно ищем альтернативные неинвазивные маркеры, потому что ни МРТ, ни анализ на тропонин не позволяют надежно оценить активность процесса. Свободные легкие цепи давно применяются в других областях медицины, и было логично проверить их значение у пациентов с миокардитом», — отметила профессор кафедры кардиологии Сеченовского Университета Ольга Благова.

В исследование вошли 99 пациентов: у 50 из них миокардит был подтвержден, у 49 диагностированы невоспалительные заболевания сердца. Ученые оценивали уровни свободных легких цепей κ- и λ-типа и сопоставляли их с клиническими проявлениями сердечной недостаточности и биомаркерами повреждения миокарда.

Результаты показали, что повышение уровня свободных легких цепей выявлялось более чем у половины пациентов с миокардитом. При этом у этих пациентов данный показатель был связан с выраженностью сердечной недостаточности и ухудшением насосной функции сердца, а также с биохимическими маркерами повреждения сердечной мышцы. Это говорит о том, что свободные легкие цепи отражают не просто наличие воспаления, а тяжесть и неблагоприятное течение заболевания.

Отдельный интерес представили данные пациентов, получавших иммуносупрессивную терапию: у них уровень свободных легких цепей κ-типа был ниже, чем у пациентов без такого лечения, что может свидетельствовать о чувствительности показателя к подавлению иммунного воспаления. Кроме того, определение свободных легких цепей позволило выявить у части пациентов амилоидоз — заболевание, которое на ранних этапах может клинически напоминать миокардит.

Авторы отмечают, что при ограниченной доступности биопсии и неоднозначных результатах стандартных анализов определение свободных легких цепей иммуноглобулинов может стать полезным дополнительным инструментом наблюдения за пациентами с миокардитом и оценки риска прогрессирования сердечной недостаточности.